Two sides of impression-taking: a dentist and patient perspective
by Mike Barr, DDS, and Patti Jourdin
Dr. Mike Barr
Dr. Mike Barr of Boynton Beach, Fla., and his patient, Patti Jourdin, share their thoughts on easing the pain points of the impression-taking process.
Patti Jourdin: Any patient who undergoes extensive dental work, especially on the most visible teeth, must place a high degree of trust in their dentist. Not only is the dentist’s work visible every time you smile for years to come, but the process itself can be time-consuming, and some steps may be uncomfortable. It’s important that you like the dental care provider you’re spending so much time with and that you have confidence in the dentist’s abilities.
The impression-taking procedure, in particular, can be a vulnerable moment in the dentist’s chair. However, a dentist with great skills in this technique can actually use the opportunity to strengthen his or her relationship with the patient. Having undergone multiple impression-taking procedures in my lifetime, I have personally observed that they don’t have to be a pain.
Patti Jourdin
Building confidence with patients
Dr. Barr: In many dental procedures, a minor mistake can be corrected or adjusted quickly, without the patient knowing that anything has gone amiss. However, this is not the case with impression-taking. Retakes or remakes make it obvious to patients that something has gone wrong, and patients typically are not very pleased about having to undergo the procedure again. This makes the impression-taking process a very important step, with the potential to have a big impact on the patient’s confidence in the dentist’s skills.
I began practicing dentistry in the civilian sector after three years in the Navy, in the early 1990s in an office that used hand-mixed polyether for impression-taking. The material at that time was adequate, but it was not unusual for patients to comment on its bad taste as soon as the tray was removed. When I started my own practice soon after, I was happy to switch to vinyl polysiloxane materials, which enabled me to leave hand-mixing behind in favor of guns and automix cartridges. I employed VPS for many years, and while I never had a serious issue with impression-taking, I did certainly notice that VPS was prone to developing drags, due to the fact that it begins setting as soon as it is mixed. Working with VPS, dentists and assistants often feel pressure to move as quickly as possible, which can in itself lead to errors.
Recently, I decided to give polyether material another try. I was swayed by testimonials from other dentists who told me that the taste of the material has been improved from previous generations. And, unlike in the past, polyether can now be used with an automix dispenser. My colleagues also discussed the material’s “snap-set” characteristic, wherein it does not begin setting until the end of the working time, at which point it sets very rapidly. I realized that this might help address the issues I had seen with drags in my VPS impressions.
Another virtue the testimonials pointed out was that polyether is the only truly hydrophilic material. All of these qualities combined seemed too great to ignore.
I doubt patients will ever enjoy having an impression taken, but now when I remove an impression tray and review it, I am able to say to them, “The good news is that this impression came out so well we don’t have to take another. It’s beautiful!” I also like to tell patients that if the impression is their only complaint about the appointment, then I can live with that. A positive presentation like this, coupled with strong technique, can help make the impression procedure just another aspect of your practice that leaves patients feeling confident.
While I never felt overly stressed by impression-taking, switching to polyether has given me even more confidence than before. The combination of the automatic mixing unit, intraoral syringe, and Impregum™ Polyether Impression Material from 3M ESPE has helped me deliver a level of care in which I take great pride. We have found that patients notice and appreciate our attention to these details.
Careful technique
Dr. Barr: Today, my general procedure for impression-taking begins with very careful preparation using magnification and a headlight. I have found that magnification helps keep the margins smooth and prevents making a mess with the soft tissues. I try to avoid using cord whenever possible, and recently have been using a diode laser to perform troughing when necessary. Wash material is applied with an Impregum™ Intraoral Syringe from 3M ESPE, which allows me precise control over the application. I then dispense Impregum Impression Material into a tray and apply additional wash material on the occlusal surface. The tray is then seated for six minutes, after which we typically have a very crisp, precise impression.
Now, I estimate that I use polyether impression material for the vast majority of my crown and bridge work. My practice handles many large cases, and I have seen how the qualities of polyether make it well suited for 10-, 12- and 14-unit cases. When I review an impression under magnification, I can see an appreciable difference from VPS. The material’s hydrophilicity helps it flow into every nook and cranny of a patient’s mouth, helping me make restorations that fit like a glove.
Appreciation for technique
Patti Jourdin: I have been a patient of Dr. Mike Barr for more than 10 years. While going to the dentist is not a favorite activity for many people, I will say that I have always had a great experience at Dr. Barr’s practice. His staff is extremely organized and offers incredible service, and Dr. Barr himself is very detail-oriented and particular. When it comes to what my smile looks like, I appreciate that quality a great deal.
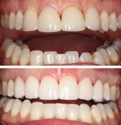
For the past year, Dr. Barr and I have been working through orthodontic treatment and veneers. This was actually my third set of veneers; I had my first ones placed as a teenager to conceal congenitally missing teeth. My last set of veneers was placed prior to my being a patient of Dr. Barr’s, so although I had been very satisfied with his work, I was still somewhat nervous about having veneers done again. Dr. Barr recommended that I undergo orthodontic treatment prior to having new veneers made in order to achieve better alignment and ultimately a better result with the veneers.
The Six Month Smiles orthodontic treatment began with impression-taking in October 2010, and ended when the braces were removed in July 2011. At that point, additional impressions were taken for a permanent mandibular retainer as well as the new veneers. I don’t know that anyone really loves to have impressions taken, but as someone who has had it done many times, I appreciate the products Dr. Barr uses, as well as his careful technique. It is evident that my dentist goes out of his way to make sure he is using the best possible products for each procedure. I have great confidence in his skill level and with the sound recommendations he has given me over the years. In a perfect world, someone would have already invented great-tasting impression material, but for now, I appreciate that Dr. Barr uses a material that captures everything he needs on the first take, so that there is no need for a second take.
Now that my veneer treatment is complete, I am extremely pleased with my smile. Dr. Barr is very passionate about what he does, and that comes through in the quality of his work.
Dr. Michael Barr graduated from the University of Tennessee College of Dentistry in 1988. He spent his first three years as a dentist in the U.S. Navy, and then he settled in Palm Beach County, Fla. His practice is located in Boynton Beach. Dr. Barr actively participates in online dental forums and has his own blog at www.TheDentalWarrior.com. You may contact him at [email protected].
Patti Jourdin currently lives in Lake Worth, Fla., and has been a patient of Dr. Barr for more than 10 years.



