Impressions in dentistry
by Joe Blaes, DDS, Editor
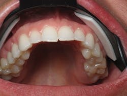
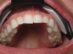
The most frustrating clinical procedure for both the dentist and patient has to be impressions. Yet this is one of the most vital tools for transferring oral information to the dental laboratory. The impression must first be very accurate, which depends on many things, such as a well-prepared tooth with easy-to-see margins and no undercuts. The tooth preparation must give adequate occlusal clearance so that the bite can be matched to the opposing arch. You may be surprised to know that the most common problem your lab has with your preparations is inadequate occlusal preparation of the teeth.
The tooth prep must be thoroughly cleaned of blood and debris. The gingival margin must be clearly visible to the clinician. If it is not, the gingival tissue must be retracted with cords, or with the new retraction pastes that will also control bleeding. Many of us are familiar with the use of the two-cord technique of packing a small cord and then a heavier cord on top. The heavier cord is removed at the time of the impression, while the small cord remains in place. I feel that the retraction pastes are easier and faster to use with less damage to the gingival tissues due to the packing instruments and the amount of pressure used.
One of the most advertised benefits of impression materials is moisture control. I have found that my best impressions occur when I control the moisture myself. I very carefully clean the tooth, seal it to protect it from sensitivity, and then air dry it so that there can be nothing to distort the impression material when it comes in contact with the tooth. I think that most of us use the two different viscosities of impression material.
When placing the wash material into the patient’s mouth, I find the 5th Hand (www.Danvillematerials.com) lip and cheek retractor to be a great help. This disposable plastic retractor easily keeps the lips and cheeks from interfering with the placement of the wash material. When I am using a full-mouth upper tray, I use Dam It from Danville to control the amount of impression material that goes down the throat, which can be very distressing for a patient.
Careful timing is very important to be sure that the impression tray is filled with the tray material at the same time the clinician finishes placing the wash material. This timing is critical to the proper chemical reaction, taking place between the wash and tray materials to produce an accurate impression. I use the 5th Hand to keep the lips and cheek out of my way as I seat the tray into the mouth. Once the tray is seated, I remove the 5th Hand.
Today we are blessed with vinyl polysiloxane impression materials (VPS). I know that dentists are always looking for value, and Philips Oral Healthcare delivers just that with its premium Precision VPS Impression Material. This is an addition-reaction silicon impression material that is ideal for dual viscosity impression techniques, both one-step and two-step, as well as for a variety of dental procedures including, but not limited to, crowns, bridges, inlays, partial and complete dentures, denture repairs, implants, and forming functional peripheries.
Precision produces great details and accurate reproduction of tooth preparations. Its formula does an excellent job of displacing moisture even in the most challenging situations. The material delivers adequate working time and a fairly fast set time. It comes in a flexible set time in cartridges and the large FatPak™ for the impression machines. For more information visit http://www.philipsoralhealthcare.com/impressions.php.
Past DE Issues


