A quick look at the two-cord impression technique
by Michael Di Tolla, DDS, FAGD
For more on this topic, go to www.dentaleconomics.com and search using the following key words: two-cord impression technique, Reverse Preparation Technique, Dr. Michael DiTolla.
This month I would like to demonstrate, in a very limited fashion, the benefits of the two-cord impression technique. For a more in-depth look at this process and how it fits into my Reverse Preparation Technique, it might be helpful to view the technique at www.glidewell-lab.com. Called the “Rapid Anesthesia, Reverse Preparation & Two-Cord Impression Technique” program, it is also available on DVD from the laboratory at no cost.
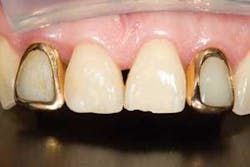
The patient featured has multiple esthetic concerns that need correction (Fig. 1). We decide to place Prismatik Clinical Zirconia™ crowns on teeth Nos. 7 and 10, and No-Prep Vivaneers™ on teeth Nos. 8 and 9 (actually back to the second bicuspids on both sides). This helps make Nos. 7 and 10 blend in while improving the looks of Nos. 8 and 9.
After breaking contacts, I place the first cord (Fig. 2). This cord is a size 00 hollow-braided cord from Ultradent. We floss the cord interproximally and begin packing it. I cut the cord so the ends are flush. This cord will retract the tissue approximately 0.5 mm, allowing me to place the crown margin at the gingival margin.
When this cord is removed, there will be a 0.5 mm subgingival margin without taking a bur subgingivally.
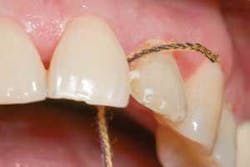
The finished prep is now ready for the second, or top, cord to be placed (Fig. 3). This is a size 2E hollow cord from Ultradent. The easiest area to start packing this cord is interproximally. This cord retracts the gingiva circumferentially to temporarily expand the sulcus, allowing room for the syringe material.
With the 2E cord in place, the margins should be clearly visible. There is no need to have the ends of the cord flush as with the bottom cord. I leave one free and out of the sulcus for easy removal. Next, I place anatomic Comprecaps from Coltène/Whaledent onto the two preparations, and have the patient bite down for eight to 10 minutes.
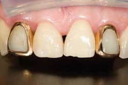
When this top cord is pulled, the sulcus is blood-free and accessible (Fig. 4).
The resulting impression (Fig. 5) looks good with great margins and material beyond the margins.
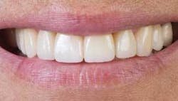
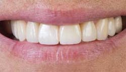
The patient now has a new smile (Fig. 6) with Clinical Zirconia crowns and no-prep veneers.
Dr. Michael DiTolla is the Director of Clinical Research and Education at Glidewell Laboratories in Newport Beach, Calif. He lectures nationwide on both restorative and cosmetic dentistry. Dr. DiTolla has several free clinical programs available online or on DVD at www.glidewell-lab.com. For more information on this article or his seminars, visit www.drditolla.com.






