A return to our roots! The preservation of natural teeth
What you'll learn in this article
- How prenatal and early childhood dental education lowers caries risk and supports lifelong tooth preservation
- Why early dental visits and preventive treatments like sealants are essential for children’s oral health
- How patient compliance in the teen and young adult years affects the need for conservative dentistry versus complex restorative treatment
- Strategies for dental teams to manage high-risk or noncompliant patients while reinforcing prevention, periodontal health, and natural tooth retention
Each month, Dr. Gordon Christensen answers a question from readers about everyday dentistry.
Q: I have a question that has been bothering me for several years. I graduated from dental school many years ago when the goal of dentistry was to retain natural teeth throughout life. Dentists did their best to prevent dental caries and periodontal disease. When patients had either of these diseases, conservative procedures were accomplished to preserve as much tooth structure as possible. I have conservative dental restorations in my mouth that have served my entire life. It is now obvious that the goal of dentistry has changed from emphasis on disease prevention and conservative treatment to waiting until the dentition has moderate caries before treating it. The result is often removal of teeth and placement of extensive and expensive treatment. What can be done to get us to reinstitute our original professional goal?
A: I agree with your comments! I see a completely different profession than the one I entered over a half century ago. Although many good changes have been made in prevention and conservative treatment, the emphasis is clearly toward radical, difficult, and expensive treatment with minimal emphasis on prevention and conservative treatment. Unfortunately, an overt emphasis on increasing dentist and dental laboratory revenue has motivated this change.
Although I am known as a surgical prosthodontist, my original activity as a dental educator and researcher was in prevention and conservative operative dentistry. It is very difficult for me to see the apparent changes in dentistry’s goals for patients.
Additional reading: Let's save teeth
What can be done to help us return to our altruistic goals?
I have organized my comments by identifying the various stages of the major dental diseases—caries and periodontal disease—noting patient and dentist failures at each point and making suggestions for each stage. If you want additional information on each of these stages of dental disease, go to PubMed, Google Scholar, or Cochrane Collaboration for hundreds of research articles.
Prenatal and early childhood
It is well-known and supported by research that when prenatal education is provided for pregnant women, the result is a reduction in the child’s dental caries and more acknowledgment and practice of known oral hygiene and preventive concepts by the parents.
Action: Provide dental education for newly married adults in your practice, especially mothers-to-be. You are probably seeing your patients routinely and an updated medical history can ascertain if they are expecting a child. Provide dietary and preventive dental education for both the pregnant woman and the child.
Childhood
Parents set the child’s dental future by providing professional dental care, proper diet, and oral hygiene education. Bringing the child to the dentist at an early age is highly recommended, since almost no oral disease is present, and the child usually has a positive dental experience. You may want to provide a coupon to the child for a desirable healthy treat (figure 1).
Although I was born into a wonderful family, I had little dental education provided by my family. We attended the dentist only when something was wrong; oral hygiene was not stressed. As a result, I needed several crowns when I entered dental school. Subsequently, I have had almost no dental caries or periodontal disease because of doing the many preventive measures well-known to all dentists.
Action: Encourage parents and remind them to get children to the dentist routinely. Deliver painless dentistry, accomplish minimal, conservative procedures, and congratulate patients and parents when disease is not present. If these things are done, it is likely the child will have little or even no caries.
If suspicious teeth need sealants, provide them as soon as the gingival tissue has exposed the occlusal surfaces.
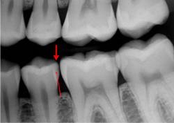
If proximal caries are present, restore them as soon as they are evident on digital radiographs, which represent only 40% or 50% of the actual caries depth. This is usually about one-half to three-quarters through the enamel—not radiographically into dentin as taught in the past (figures 2 and 3).
Action: Products such as Filtek Supreme Ultra, Harmonize, TPH Spectra, and others are popular composite examples to use for these patients.
Teenage
If the already discussed procedures have been followed, and the patient is relatively compliant, only minimal dentistry will be needed, such as routine dental hygiene and education or perhaps small restorations.
If the teenager is noncompliant and disinterested, larger restorations, periodontal treatment, and potential crowns will be needed. We have failed at this point, along with the parents and the patient.
Young adulthood
At this time, the compliant patient who has followed your instructions will have only minimal maintenance, potentially a few small restorations, and routine dental hygiene.
The patient who has not practiced instructions and has not had routine professional care now needs numerous restorations, potentially a few crowns, extractions, and has moderate periodontal disease. We are continuing to fail! However, if these patients can be convinced to follow instructions, minimal dental treatment will be needed in the future. I am an example of someone who got the message in my early adulthood, after having many carious teeth at that point.
Action: Products such as IPS e.max and numerous brands and types of full-strength and esthetic forms of zirconia now comprise over 90% of fixed restorations (personal communication, Glidewell 2024 data, Darrel Withrow). Use these products for your restorations. Use high-fluoride-releasing restorative products such as Equia Forte or Ketac Universal.
Mature adulthood and old age
The compliant patient still has most of his or her natural teeth. Dental caries, and, to a moderate level, periodontal disease are preventable. These compliant patients have been implementing your instructions and using preventive products and procedures. We dentists have educated and influenced these compliant patients with our knowledge, and they still have their natural dentition!
But to my great frustration, patients who have not been compliant now have major dental problems. This area of dentistry is now being promoted and accomplished by many dentists instead of emphasizing prevention of dental disease in the early phases of life. The journals, magazines, lab publications, and dental literature are replete with articles on treatment of those who have failed to use preventive measures well-known and promoted by most dentists. Patient failure to carry out the long-time goal of dentistry—prevention and conservative dentistry—has caused them to have serious dental disease and tooth loss, as well as significant expense.
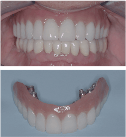
The noncompliant patient and those with serious systemic diseases or other maladies now need comprehensive, expensive oral care.
What should we do with them? The techniques now dominating almost all of dentistry are the final answers: tooth removal, complete fixed or removable dentures, implants, conservative “all-on-X” procedures (Locator fixed), periodontal surgery, bone grafting, endodontic treatment, and other complex treatments (figures 4 and 5).
Action: How to overcome the tooth loss problem
- Educate patients to know that prevention of dental caries and periodontal disease is their personal responsibility and teach them at every appointment how to prevent dental disease.
- Encourage dental educators to emphasize the well-known preventive procedures and products in dental schools.
- Provide preventive education in civic groups, religious affiliations, schools, and other groups.
- Use preventive products in your practice.
- Emphasize preventive education to be used by all your staff.
- Organize dentists and laboratory technicians to work together rather than as separate professionals. Emphasize why this is a preventive step that helps avoid tooth loss.
Summary
Dental caries and periodontal disease are preventable diseases! Start education prenatally with an expectant mother and continue through childhood, the teenage years, young adulthood, mature adulthood, and even in old age. Make sure your dental team members provide constant preventive education and use the most effective preventive procedures and materials as noted in this article. Let’s return to our roots—preservation of natural teeth.
Editor's note: This article appeared in the September 2025 print edition of Dental Economics magazine. Dentists in North America are eligible for a complimentary print subscription. Sign up here.
About the Author

Gordon J. Christensen, DDS, PhD, MSD
Gordon J. Christensen, DDS, PhD, MSD, is founder and CEO of Practical Clinical Courses and cofounder of Clinicians Report. His wife, Rella Christensen, PhD, is the cofounder. PCC is an international dental continuing education organization founded in 1981. Dr. Christensen is a practicing prosthodontist in Provo, Utah.





