Implant dentistry – A prosthetic discipline with a surgical component
by Gerald A. Niznick, DMD, MSD
For more on this topic, go to www.dentaleconomics.com and search using the following key words: edentulous, implants, zirconia, titanium, prosthetic, Dr. Gerald Niznick.
Editor’s Note: This is the third in a four-part series covering the past, present, and future of dental implants and their impact on the practice of general dentistry. The third installment discusses the treatment of the partially edentulous jaw using one and two-piece implants with a variety of abutments including a new Zirconia/Titanium abutment.
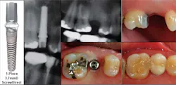
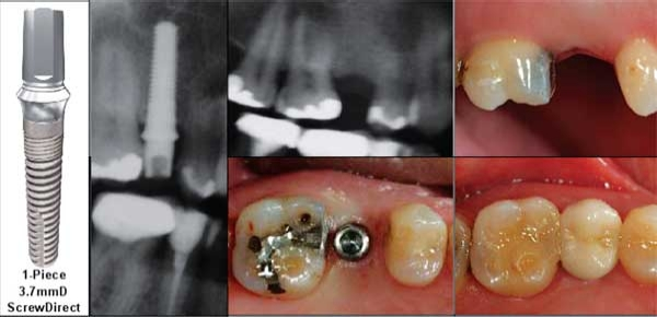
The replacement of a single missing tooth with a root-form dental implant is a relatively simple surgical procedure that can be performed by GPs. Many GPs are initiated to implant dentistry by placing one-piece mini-implants less than 3mm in diameter using a flapless procedure primarily for stabilizing a complete lower denture. These implants are not approved by the FDA for permanent tooth replacement. These mini-implants are not well suited for replacing a single missing tooth. They lack strength and surface area to withstand functional loads and do not offer an adequate diameter to create an esthetic emergence profile. Implant Direct offers the ScrewDirect™ 3.0mmD one-piece implant that flares to 3.7mmD above the bone, providing a straight abutment with a shoulder well suited for cementation of a single tooth restoration. This implant also has a retentive groove just above the 45 degree shoulder, and is provided with a snap-on comfort cap for temporary coverage and a snap-on transfer for an abutment level impression. All of Implant Direct’s one- and two-piece implants duplicate the surgical protocol developed by the author a decade ago to optimize initial stability in soft bone. This is accomplished by inserting a slightly tapered implant into a socket prepared with straight drills. Increased initial stability has proven critical for immediate load of free-standing, single tooth replacements, whether into an extraction socket or a healed edentulous area. The use of a 35Ncm torque wrench is generally accepted to be the quantitative way of determining whether an implant is capable of supporting an abutment with a temporary crown immediately following insertion. Splinting multiple implants that have achieved this level of initial stability has allowed the development of Teeth-in-1Day™ procedures for immediate function of implant supported, detachable prosthesis in edentulous jaws (see Article 2 in this series). The decision to place an implant without laying a flap depends on the clinician’s ability to visualize the ridge width in order to determine adequate bone to support the implant without the need for bone grafting. This is accomplished by probing or by the use of a CT scan. Laying a flap allows better visualization and affords the opportunity to do bone grafting or ridge splitting.
Implant Direct’s two-piece, bone-level implants are provided on a fixture-mount insertion tool that serves as a transfer and can be shortened for use as a snap-on or preparable abutment. The fixture-mounts of the Screw-Plant™ and RePlus™ Implants, when shortened, provide an abutment that duplicates the head of the ScrewDirect™ one-piece implant. The fixture-mounts of the Legacy3™ and ReActive™ Implants, when shortened, provide an abutment that can be modified to a 12 degree angle for esthetics and parallelism Providing these components free with the implants, not only reduces costs but also simplifies inventory, eliminating the need to order additional components.
The Legacy™ implants with the internal bevel/hex connection developed by the author in 1986, are available in diameters ranging from 3.2mmD for narrow ridges to 7.0mmD implants for immediate placement in molar extraction sockets. When inserting implants, the flat of the fixture-mount should be directed ("indexed") to the labial because Implant Direct’s angled and straight abutments with contoured margins are indexed to the flat of the hex or to one of the tri-lobes. This allows stock abutments of varying margin heights and angles to be directed to the lingual for parallelism and esthetics. This process, called indexing, is important to allow use of stock abutments with minimal preparation, should the free fixture-mount abutments not be suitable. The first choice from a cost factor would be the modified fixture-mount abutment. The second choice from a cost factor would be to modify a stock abutment intra-orally. The use of stock abutments should cost less than custom cast or cad-milled abutments and their use will shorten treatment time. Slight refining of the angle and margin of a stock abutment, either in the mouth or on the working cast, can achieve the same degree of esthetic results as custom abutments. Implant Direct is now introducing stock Zirconia abutments in 0, 8 and 15 degrees with 0.5mm and 2mm collars. Unlike most Zirconia abutments, the sintered Zirconia copings are attached with resin cement to titanium bases, providing the strength and precision fit of machined titanium with esthetic tooth color of Zirconia.
Editor’s Note: References available upon request.
Dr. Gerald Niznick graduated from the University of Manitoba Dental School in 1966 and then earned a master’s degree in prosthodontics at Indiana University in 1968. He has been awarded 36 U.S. patents and received honorary doctorate degrees from the University of Manitoba and Tel Aviv University. Reach him at [email protected].
Past DE Issues


