Snapping images: How to get full use out of your digital camera
by Thomas K. Hedge, DDS
So you've bought a digital camera and have captured a few impressive images. What is the next step in implementing this technology? Do you simply substitute the film applications you previously used with digital shots? The possibilities with a digital camera and the digital world are endless.
New-patient presentation
It is very important to perform a thorough and complete examination on new patients. The problem is that it takes time to do it right. The most important part of this examination in our office is the digital photographic survey. This takes about 15 minutes from the beginning to presenting the images to the patient.
This series of images starts with a portrait of the patient. Ideally, a digital studio setup would be employed to achieve ideal lighting; however, the pop-up flash on most cameras will suffice. The goal here is to show patients what their teeth look like within their full face.
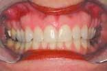
Next are the four smile images. These are lips at rest, lips slightly parted to show some teeth, the "big" smile, and left and right smiles. The first two images are taken to evaluate what happens to the "curtain" of lips when the patient smiles. The second two images allow the patient see what his or her smile looks like from the side - a view patients never see.
This helps the patient decide how many teeth are involved in improving the smile.
The assistant retracts the lips for the next set of images. These two images are the arches in occlusion and slightly open. The image of the teeth in occlusion gives us information on overbite, overjet, cross bites, gingival recession, Golden Proportion, Shimbashi number, and exostosis. A periodontal probe can be placed on the central incisor as a reference for measurement. This view can be used to analyze and diagnose Golden Proportion on a printed view with a ruler and pen or with measurement tools found in many software applications.
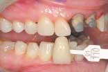
The next image of the arches slightly open allows the patient to see the lower anterior teeth, which are often covered by the maxillary teeth. This also allows us to evaluate the arch form and the curve of Spee and Wilson. A neuromuscular arch incoordination will begin to show as one side of the mandibular arch may drop more than the other side. This shot can be captured with a shade tab in the same plane with the maxillary incisors to demonstrate the shade to patient.
The remaining shots are captured with the patient holding the retractors and the assistant holding the mirror and spraying air over the mirror surface to decrease fogging.
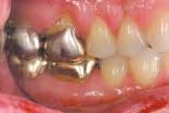
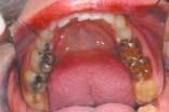
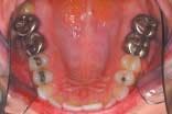
The upper and lower occlusal shots, as well as the four individual quadrants, are captured next. The four individual quadrant shots are the most powerful of the series. These are the shots where a patient can see old restorations, wear facets, recurrent decay, poor contour, etc. It is with the quadrant shot that the patient asks for dentistry. The doctor does not need to sell it!
The final two shots are the left and right buccal shots in occlusion. This view highlights gingival contour, recession, and the occlusal relationship of the upper and lower teeth.
At this point, the doctor and patient will have a pretty good idea of the direction of the treatment plan prior to the actual examination!
Laboratory communication
Laboratory communication is perhaps the most important part of digital camera ownership. Traditionally, we have taken images of patients' teeth to communicate to our laboratory the shade and texture of the teeth for an indirect restoration. This is still a great application for digital cameras. The advantages of using a digital medium include the following:
- The quality of the captured image can be evaluated immediately and shot again if required.|You do not have to wait for the film to be returned from the photo lab.|You do not have to rewind a half-used roll of film to get the case out to the lab.|The film and developing are free. This allows you to take as many images as you want for a case with no financial restraints.
Taking images of every indirect restoration will become routine. There is no reason not to take an image of every restoration. Laboratory technicians often are given only a set of stone models on which to build your restoration. When they have an image to go by, the quality of the restoration will be improved immeasurably. Patients will perceive that you are a high tech fastidious dentist who is going to give them a superior product.
Laboratory communication can be a two-way street. How many times has this happened to you? You have a patient scheduled for seating some anterior restorations at 10 a.m. The FedEx guy arrives by 9 a.m., and you unpack the case. As you place the restorations on the model, you see something that you wish was different. It would have been so easy to alter if the case was still in the lab.
What if your laboratory technician sent you a digital image of the case prior to shipping it to you? The problem then could be corrected prior to shipping.
Patient before-and-afters
Slide film made it very difficult to provide patients with before and after images. You would have to find the before and after image and either send out both slides to a lab to be printed or scan the slides, thus converting them to a digital image. The printed slides were expensive and inconvenient to print and involved a considerable time lag. Digital images can be imported into PowerPoint easily and simply and printed on a nice background with a text supplement in a matter of minutes. These images then can be printed and placed in a frame for display in your office.
Web site applications
The key to a successful Web site is great graphics and images. You will need images of yourself, your staff, your office, before-and-afters of cases, etc. These images must be in a digital format. Your digital camera is a great way to collect all of the images that you will need for your Web site. Remember that these images do not need to be large. If you are shooting images just for your Web site, take your camera resolution down. Images will probably still need to be downsized in a software application.
These are but a few of the many applications of digital technology in the dental practice. Your creativity is the only limit to the possibilities. Look for my new book and CD on Digital Dentistry. It is available from Norman Cameras Web site at www.Normancamera.com or from Corine at www.Dentalhealthcenter.com, (513) 777-7017.
null
null
null
null
null


















