Scanning for predictability and profitability
The world we live in becomes more digitized every day. Dentistry is no different. For those of us who went to dental school in an analog age, implementing these innovations can seem daunting and it is often easier to stick with what has worked well for us in the past. This state of mind may seem safe, but it can lead to less predictable outcomes for your patients and higher overhead for your office.
By replacing analog impression techniques with digital ones, you will achieve more consistent results with less chair time and keep your profit and loss (P&L) healthy. Heartland Dental made the jump to digital impressions in 2018 when they deployed 1,000 iTero scanners to their supported offices; those offices have been enjoying better patient care and savings ever since. The time to switch to intraoral scanning is now.
You may also be interested in ... Top 5 mistakes with intraoral scanning
Greater accuracy
Some dentists might be hesitant to make the switch to digital because they are concerned their crowns may not fit as well. Rest assured that there have been numerous studies evaluating the accuracy of single unit crowns fabricated from intraoral scans. The literature shows that the marginal adaptation of a completely digital workflow yields a comparable or better result than other workflows.1,2
Lower remakes
Dentists may encounter situations where the restorations received from the lab do not meet clinical standards and must be remade. This not only consumes valuable chair time but also leads to frustration for both the dentist and the patient. While most dentists have a crown remake rate of less than 2%, it is worth noting that around 17% of dentists report a remake rate exceeding 4%.3
The author primarily uses DDS Lab (Tampa, Florida). In Q1 of 2023, DDS completed 80,000 digital cases for Heartland Dental. The remake rate for these digital cases was 2.15% whereas the remake rate for analog cases was 4.28%. This is nearly a 50% decrease in remakes!
Less chair time
After the dentist has completed the crown preparation, the dental assistant takes charge of scanning the tooth for the permanent crown and fabricating a temporary crown. Once the assistant has completed the scan, a thorough check is conducted by the dentist to ensure accuracy and quality. The entire impression procedure requires less than a minute of the dentist’s time and approximately a minute of the assistant’s time. The effectiveness achieved through this approach is highly valued by patients, who appreciate efficient and time-saving procedures.
More remunerative
By incorporating intraoral scanning, such as the iTero system, practices can realize substantial savings per crown. The majority of dental laboratories will offer discounts for digital impressions. The lab the author uses offers a discount of $14.15 per crown. In 2022, the author’s practice completed 1,667 units of single unit crowns. This equates to $23,588.05 in savings by intraoral scanning.
Faster turnaround time
Digital workflows have significantly reduced the processing time, almost halving the duration required by traditional methods. The dental lab the author uses offers a five-day turnaround time for digital impressions of single unit crowns. An analog impression from the same lab takes 10 days to get back to the office, this does not include the additional time it takes for the impression to ship to the lab.
Case report: More predictable clinical results
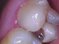
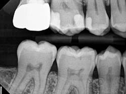
In the case below, tooth No. 2 was diagnosed with symptomatic irreversible pulpitis and symptomatic apical periodontitis with a mesial marginal ridge fracture due to extensive caries (figure 1). Root canal therapy and a full coverage crown were recommended and the patient accepted.
The carious tissue was removed, followed by the endodontic procedure and subsequent placement of the build-up. Despite the deep extent of mesial decay, a clear and accurate scan was achieved (figure 2).
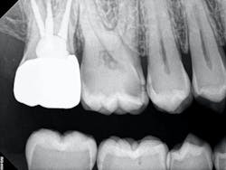
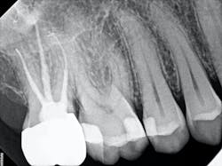
The iTero scanner was able to clearly define the delineation between the soft and hard tissue as can be seen in this image of the digital die trim (figure 3). Radiographs were captured on delivery revealing a clinically acceptable outcome for the patient (figure 4). Direct restorations were completed on teeth Nos. 3 and 4 during this visit.
You may also be interested in ... Direct-indirect composite veneers: Balancing esthetics and minimal intervention
By embracing digital technology, remarkable advancements in efficiency and clinical outcomes have been achieved. This case exemplifies the consistent and reliable results achievable through digital workflows, offering significant advantages over traditional methods.
In summary, embracing digital dentistry can provide high-quality care, enhance efficiency and productivity. This digital revolution paves the way for improved patient outcomes and overall practice success.
Editor's note: This article appeared in the January 2024 print edition of Dental Economics magazine. Dentists in North America are eligible for a complimentary print subscription. Sign up here.
References
- Afrashtehfar KI, Alnakeb NA, Assery MKM. Accuracy of intraoral scanners versus traditional impressions: A rapid umbrella review. J Evid Based Dent Pract. 2022;22(3):101719. doi: 10.1016/j.jebdp.2022.101719
- Hasanzade M, Aminikhah M, Afrashtehfar KI, Alikhasi M. Marginal and internal adaptation of single crowns and fixed dental prostheses by using digital and conventional workflows: a systematic review and meta-analysis. J Prosthet Dent. 2021;126(3):360-368. doi: 10.1016/j.prosdent.2020.07.007
- McCracken MS, Litaker MS, Gordan VV, et al. Remake rates for single-unit crowns in clinical practice: Findings from The National Dental Practice-Based Research Network. J Prosthodont. 2019;28(2):122-130. doi: 10.1111/jopr.12995
Todd Davis, DMD, FICOI, FAGD, clinical director of technology integration for Heartland Dental, graduated from the University of Nevada Las Vegas School of Dental Medicine and completed a general practice residency with the Department of Veteran’s Affairs. He is a Fellow with the International Congress of Oral Implantologists and the Academy of General Dentistry. He has been a Heartland Dental supported dentist for over 9 years and currently practices in Owasso, Oklahoma. He can be reached at [email protected].
About the Author

Todd Davis, DMD, FICOI, FAGD
Todd Davis, DMD, FICOI, FAGD, a Heartland Dental supported dentist, graduated from the University of Nevada Las Vegas School of Dental Medicine and completed a general practice residency with the Department of Veteran’s Affairs in Baltimore, Maryland. He is a Fellow with the International Congress of Oral Implantologists and the Academy of General Dentistry. He has been a Heartland Dental supported dentist for over 9 years and currently practices in Owasso, Oklahoma. He can be reached at [email protected].









