A fixed bridge alternative
A restorative problem that has seen a dramatic influx of so-called, esthetically advanced solutions is the fixed partial denture. One such system in the fixed bridge category is the Captek bridge system. Once a clinician understands the clinical requirements of this system, and develops a relationship with one of the company’s dedicated certified laboratories, there may be little reason to stay with traditional metal. The system shows excellent promise to make the jump from being a novel material to a normal, standard material. Understanding the nuances of this system, in addition to applying solid crown and bridge principles, helps the dentist to achieve predictable, highly esthetic results.
Captek, which is well-known and accepted as a single-unit material, was originally designed for bridgework. Even though the company’s bridges have been successful in the U.S. for the last 10 years - 18 years with inventors - there are a few factors that increase their usage.
First, technicians have become comfortable with the company’s materials, and are competent in crown fabrications. This is important since these crowns are abutments of the bridgework. Thus, the expertise and capacity to fabricate basic copings help with the fabrication of bridges on a wider scale.
Second, the technique for the company’s bridge fabrication has improved to the point that it is easier and more predictable for the technician. The key to the company’s bridges is the combination of rigidity and resiliency in the same system. Copings provide the vibration-absorbing qualities and the pontic - made from a traditional, low-gold alloy - make the pontic area rigid. No other system combines these desirable attributes in the same structure. The cumbersome part for labs is the productive joining of the pontics to the abutments. Although many labs have achieved desirable results through the years, new techniques and materials make consolidation of the necessary components of the company’s bridge structures more bullet-proof. In fact, these new techniques and connection materials (In-connect®) have opened the door to future possibilities of using these structures in situations inventors had originally intended. These situations include more prosthodontic fixed partial denture cases such as cantilevers, attachments, and implants. This is a far cry from what the majority of the market believes about Captek - that it is just a single-unit anterior esthetic crown.
Third, the company’s procedure is just a turbocharged pfm. No special procedures are necessary. Having the comfort of using a pfm - and getting close, arguably better results esthetically than with an all-ceramic alternative - is a winning combination.
Another clinical benefit of the company’s coping material is the ability to prepare a tooth conservatively. Chamfer, shoulder, knife-edged, or beveled preparations can all be used. With an overall reduction of .5 to 1.0 mm reduction at the margin, coping promotes natural esthetics and eliminates over-contoured restorations. Since the coping is a nonoxidizing gold, the resulting hue is a warm yellow color. Consequently, less opaque can be used. This results in a more lifelike restoration. Coping can even be cut short to the internal line angle of the margin, allowing the technician to build a true porcelain margin for the ultimate in esthetics.
Clinical case review
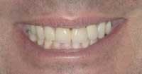
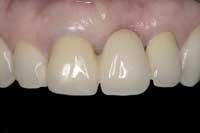
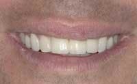
The patient presented with existing bridgework done years before from tooth No. 8 to tooth No. 10 (Fig. 1). The patient’s chief complaint was the obvious artificial look of the restoration, along with the dark spaces and darkening soft tissue (Fig. 2). To improve the esthetic outcome, Captek was selected for the anterior bridge. Note the appearance of the tissue above each of the abutments on tooth No. 8 and tooth No. 10 (Fig. 3). The patient’s smile also improved with the bridge (Fig. 4).
Dr. Michael DiTolla is director of clinical research and education at Glidewell Labs in Newport Beach, Calif., where he also teaches courses on topics such as esthetic and restorative dentistry. He teaches a two-day, live-patient, hands-on laser-training course that emphasizes diode and erbium lasers. He also teaches a two-day, hands-on digital photography course on intraoral and portrait photography, and image manipulation. For more information on these courses, e-mail Dr. DiTolla at [email protected] or call (888) 535-1289.




