Captek: The aesthetic dentist's PFM
Dr. Michael DiTolla
As restorative dentists, we are constantly faced with the task of determining which restoration will best suit our patient in any particular case. At times, the overriding concern is aesthetics, while in other cases, strength is our main concern. Based on our ability to achieve a dry field, the need for a restoration that can be conventionally cemented might drive our decision. Perhaps the subgingival location of a crown margin, or the unhealthy appearance of the gingiva would dictate choosing a material that demonstrates less bacterial accumulation than any other material, including enamel.
When choosing a ceramometal crown for a particular patient, many dentists simply think in terms of ceramic materials and almost no consideration is given to which metal substructure is most appropriate. Most clinicians have observed that all-ceramic restorations provide better aesthetics than most ceramometal crowns placed on anterior teeth. The aesthetic shortcomings of most ceramometal crowns, however, are almost always a result of the metal coping itself. On the other hand, many dentists have shown a reluctance to embrace all-ceramic restorations, either due to concerns about strength and longevity, or concerns about having to bond the restoration rather than cement the restoration. As a result, anterior ceramometal restorations will continue to be prescribed in large numbers for a long time to come.
The good news for ceramometal fans is that Captek overcomes all of the objections mentioned above. Captek is an 88 percent gold composite alloy coping that serves as the substructure in a porcelain-to-Captek crown. Specifically, the gold composite alloy coping consists of approximately 88 percent gold, 4 percent platinum, 4 percent palladium, 3 percent silver, 1 percent iridium, and 1 percent ruthenium. The copings are fabricated utilizing replicated master dies composed of a proprietary refractory material. A thin sheet of wax — Captek P — impregnated with platinum/palladium /gold-alloy particles is used to coat the refractory die. The die is then placed in a porcelain oven and during this cycle, the alloy particles undergo a fusing process that creates a sintered, porous, solid-metal coping while the wax is eliminated. Upon removal from the oven, the solid platinum/palladium/gold coping is attached to the refractory die, after which another thin layer of wax — Captek G — containing 97 percent pure gold particles is placed over it. During the next firing cycle, the wax is again eliminated while the gold particles melt and infiltrate the pores in the underlying coping. During the melt/infiltration process, the gold penetrates the entire width of the coping, which produces an internal and external gold surface.
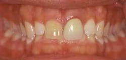
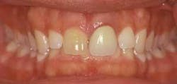
Clinically, this internal and external gold surface is of tremendous benefit. Internally, the gold surface contacts the preparation and, owing to its high nobility, eliminates any potential for allergic or adverse reactions. Dr. Gordon Christensen recently remarked at one of his CRA Update courses that nearly 50 percent of all women will have some sort of allergic or adverse reaction to nonprecious metals, and that it can take upwards of seven to 10 years to develop (see Figure 1). The implications of his statement are clear. Why use non-precious metals if a high-noble substitute with equal strength and superior aesthetics is available?
Captek's advanced gold alloy reduces the accumulation of harmful bacteria at the gum line by 71 percent compared to natural tooth structure. Based on the survey analysis data collected by J. Max Goodson at the Forsythe Dental Institute, Captek crowns exhibit less bacterial accumulation than either conventional full-coverage porcelain-to-high-noble crowns or high-noble full-cast crowns (see Figure 2). And while this lower bacterial accumulation benefit might sound trivial, think about the hygiene exams you've done over the last five years. How many times have you walked into the room and asked your hygienist how Mr. Smith's gums are doing, only to hear, "They look great except for around the teeth that have crowns." It's hard enough to fool Mother Nature with a subgingival margin, so why not use the material with a proven lower plaque and bacterial accumulation rate?
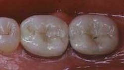
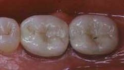
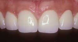
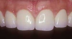
Another clinical benefit of the Captek coping material is the ability to prepare the tooth in a conservative fashion. Chamfer, shoulder, knife-edged, or beveled preparations can all be used with Captek, and with an overall reduction of .5 mm to 1.0 mm at the margin, the coping promotes natural aesthetics and helps eliminate over-contoured restorations. (See Figures 3 and 4.) Since the Captek coping is 88 percent gold, the resultant hue is a warm yellow color. Consequently, less opaque can be used, resulting in a more lifelike restoration. The coping can even be cut short to the internal line angle of the margin — allowing the technician to build a true porcelain margin — for the ultimate in aesthetics.
Dr. Michael DiTolla is director of clinical research and education at Glidewell Labs in Newport Beach, Calif., where he also teaches over-the-shoulder courses on topics such as aesthetic restorative dentistry. Dr. DiTolla also teaches a two-day, live-patient, hands-on laser-training course that emphasizes diode and erbium lasers. In addition, he teaches a two-day, hands-on digital photography course emphasizing intraoral and portrait photography, and image manipulation. More information on these and other courses can be found at www.ditollaseminars.com or by calling (888) 535-1289.




