Tooth color modification: A discussion on the mechanism and options for vital tooth bleaching
by Jack Ringer, DDS
Introduction
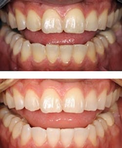
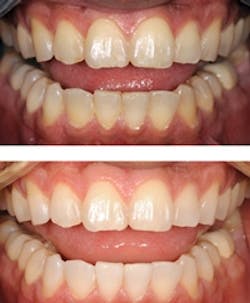
Last month, I discussed how our health and beauty conscious society strives to recapture and maintain its youthful appearance. One of the most effective ways to accomplish this is by bleaching teeth. Dental professionals and their teams need to understand the mechanism, indications, and limitations of tooth bleaching, along with the origin of someone’s tooth staining before prescribing bleaching as a treatment option. It is also important that dental professionals educate and communicate this information with their patients to ensure that realistic expectations are met.
In last month’s article, I discussed the advantages and disadvantages of in-office bleaching. This month I will discuss patient-driven home bleaching.
A second method of bleaching known as office prescribed home bleaching (OPHB) is available and is the most common and popular option today. The advent of home bleaching actually came about by accident, when an Arkansas orthodontist prescribed glyoxide (a carbamide peroxide oral antiseptic) to treat his patients who developed inflammation while using postorthodontic positioners. Over time, he noticed their teeth were getting lighter, and ongoing research and development began. In 1989, the first article on nightguard vital home bleaching was published.
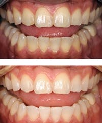
The OPHB method uses custom fitting trays made from a clear, soft vinyl material approximately 0.02 to 0.035 inches thick for both the maxillary and mandibular arches. Over the last 20 years or so, various tray designs have been used, such as those with scalloped or nonscalloped margins, and those with or without reservoirs. Today, most OPHB solutions are made of carbamide peroxide, which are hydrogen peroxide -based with a poly-acrylic additive (Carbopol), giving it a gel-like consistency and a longer shelf life. Concentrations of OPHB carbamide peroxide range from 10% to 22%, yielding between 3% and 7% hydrogen peroxide respectively.
This is important for patient compliance, as the gel solution will not only remain in place on the teeth longer, but the frequency of replenishing the trays is reduced. Carbamide peroxide solution for home bleaching is approximately one-third to one-tenth the hydrogen peroxide concentration compared to office bleaching solutions, and therefore the amount of released hydrogen peroxide drops from approximately 15% to 35% down to 3% to 7%. As a result, patients (following proper instructions from the dental professional) can safely bleach at home, but in order to achieve optimal results, much more time is required for home bleaching versus office bleaching.
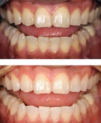
One significant advantage that OPHB offers over office bleaching is, by having trays and solution at home, the patient has the ability to do maintenance when relapse occurs without having to spend time and money to undergo another office session of bleaching. Manufacturers, such as Ultradent and Philips Zoom, have incorporated additives such as flavoring to help with compliance, and sodium fluoride or potassium nitrate to help reduce the potential for tooth sensitivity.
Usually the gel solutions are packaged in disposable syringes for easy and efficient dispensing into the trays. Typically, today’s home bleaching solutions are most effective in the first 90 to 120 minutes from the time they are dispensed in the trays, and therefore, if patients elect to bleach for several hours consecutively, they need to replenish their trays.
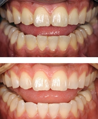
The upside to home bleaching:
- It is less expensive.
- After acquiring the system, further office appointments to bleach are unnecessary.
- Due to lower carbamide peroxide concentration, the potential for sensitivity is less.
- Having a home system allows for maintenance when relapse occurs.
The downside to home bleaching:
- It can take a lot of time to bleach and require a great deal of discipline by the patient.
- OTC and Kiosk type systems have been shown to cause a greater incidence of tissue irritation and burns as they do not provide any professional monitoring.
Next month I will discuss the combination of at-home and in-office bleaching.
Jack Ringer, DDS, practices in Anaheim Hills, Calif. He is an accredited member of the American Academy of Cosmetic Dentistry, a board member of the American Board of Cosmetic Dentistry of the AACD, and a faculty mentor at the Spear Institute. You may reach him at [email protected].
In Dr. Ringer’s Feb. article, he stated that the Zoom solution was a 35% carbamide peroxide when in fact it is 25% hydrogen peroxide gel. Also, he stated that office solutions release 10%, and it should have stated from 15% to 35%. We regret the errors.
Past DE Issues

