Don’t we all do cosmetic dentistry?
by Dennis J. Wells
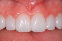
Cosmetic dentistry. We all do it on some level. Whether you are a doctor who performs an occasional anterior restoration or does frequent multiple teeth smile makeovers, you are a cosmetic dentist in the strictest definition.
The challenge for all dentists is to stay abreast of the latest techniques and discoveries. This is most difficult for the general practitioner, who is expected to be an expert in so many areas of dentistry - from periodontics to endodontics to cosmetic dentistry.This article will highlight a new trend in cosmetic dentistry, one that all dentists should know about while striving to deliver the highest level of cosmetic dentistry to patients.
You have probably noticed the “buzz” in dental journals and on the lecture circuit regarding “no-prep” or “prepless veneers.” For many dentists, it just sounds too good to be true. These dentists describe this type of dentistry as poor and misleading to the public. Furthermore, they have viewed various marketing materials, and perhaps even have seen an actual patient who has been treated with a well-publicized system with poor results. From this, they want no part of such an approach.
Despite these negative connotations, a trend in cosmetic dentistry for minimal-prep and no-prep restorations is emerging. More and more, dentists are coming full circle from the early days of porcelain veneers when little to no enamel was removed. Instead, they are returning to conservative, minimal prep restorations.
Why are we seeing this trend? I hope to answer that question in this article, and provide some context for the prepless veneer as a tool for modern-day smile design.
The advantages to prepless veneers are readily apparent:
- They have minimal trauma and minimal discomfort
- They have almost 100 percent of bonding to enamel, which is a strong product
- They feature a bright enamel color underneath as opposed to prepared dentin
- They reach a significant number of consumers who refuse to have their teeth reduced
- They are practically reversible
The disadvantages also are readily apparent:
- Due to additive effect, they can’t be used on every case
- They require a ceramist and dentist to have an excellent working knowledge of contours
- Due to occlusal limitations, they are difficult to do on lower teeth
- They are more fragile and more difficult to handle until cured
- They have a limited amount of masking ability
Clearly, not all cases can be treated with just additive techniques alone. It is probably safe to assume the majority of cosmetic smile design cases require some combination of additive and subtractive elements to produce the ideal final result. Two looming questions are: Do you know when you should subtract and when you should add? Do you have accurate analysis and accurate techniques so that you are not removing enamel unnecessarily?
My desire to answer these questions led me and my ceramist, Mark Willes, to prepless dentistry more than three years ago. In fact, the lightbulb really came on when I was taking a course by Dr. Pascal Magne. He explained that most of the time in our diagnostic wax-ups, we will be returning some labial contour because of normal abrasion from brushing, erosion, etc. It occurred to me that, if most of the time we are adding additional contour, perhaps it would be unnecessary to take it away often. This is what we have learned during the past three years. Interestingly, the more we look for these cases, the more we seem to find them.
Technically, my first experience with prepless veneers was in 1986 when I did my first porcelain veneer. At the time, I was removing little to no enamel for fear the veneers would fail. Failure turned out to be the least of my worries. The porcelain-enamel bond proved to be outstanding. It is safe to say that conservative, thin veneers have a more than 20-year track record of outstanding performance and proven reliability. Therefore, we only have to concern ourselves with the optics in moving toward less aggressive preparations. Of course, this assumes that bite forces are managed properly. This is true for any restorative approach.
So, if thin veneers that are bonded only to enamel have been around for some 20 years, what has happened recently to make this a hot topic? Are there new developments?
Mike Vance, former creative director for Disney, once said, “Creativity consists of one of two things: either developing a brand new idea that has never been thought of before, or taking existing ideas and reshuffling them to a new and different means.” Our approach to current prepless veneers has clearly followed the latter path. We have combined existing techniques, materials, and knowledge to produce a creative and different outcome. I think several ideas have contributed to the new popularity of prepless veneers.
The following areas are just a partial list.
Higher level of artistic training
Thanks to great educational organizations such as the American Academy of Cosmetic Dentistry, we have developed a more refined understanding of smile design principles and how to apply them. For example, without proper contouring, the additive approach produces “Chiclet like” teeth that appear fake. On the other hand, proper understanding of reflective vs. deflective zones, tooth-to-tooth relationships, embrasure form, etc., can create undetectable additive restorations that do not look bulky or inappropriate. If you are a dentist who likes to turn over creative and artistic business to the lab, prepless veneers may be frustrating to you since they require strong artistic skills from both the dentist and ceramist.
Discovering that we do not have to place margins
One of the most exciting discoveries in my journey of doing prepless veneers was the realization that it is not necessary to place a margin (not even a light line). Contrary to popular belief, ceramists do not need a margin line to show them where to place a veneer. With an accurate impression, they clearly can see the tissue and end the veneer just short of the free gingival margin. With current porcelains and fabrication techniques, we consistently get feathered margins that require little more than cleaning with a scaler after curing. With proper knowledge and instrumentation, one can finish margins post-cementation to an undetectable level visibly and with an explorer. I think the no-prep margin rivals - and many times exceeds - conventional prepped restorations visibly and functionally.
I find this is not just a minor issue that comes down to a dentist’s preference. Rather it is a major point with many patients. Often the deciding factor will be whether there is any drilling on the teeth or not. In other words, is it reversible? This can be reason enough to avoid placing marginal lines.
Consumer awareness created by LUMINEERS
Many consumers are excited about the possibility of prepless veneers. I think this can be attributed to DenMat Corporation’s marketing campaign to promote its product, LUMINEERS. I am grateful to the company for raising public awareness of prepless veneers, and for continually promoting conservative dentistry for more than 20 years.
However, there is a new movement of artistry that requires the dentist and ceramist to have a keen understanding of facial contours and anatomy. Both must work seamlessly together to create the final esthetic result.
One of the critical mistakes made by some dentists is using poor judgment in case selection. Prepless veneers certainly are not the answer for every situation; they are just another weapon for a dentist to have in the arsenal. Some ideal situations for prepless veneers include:
- Bicuspid extraction orthodontic cases
- Cases with short, worn teeth (assuming occlusion and bite forces are managed)
- Misalignment cases in which one or two teeth are lingually positioned
- Cases in which teeth need more presence (big lips or small teeth)
Negative publicity toward traditional dentistry
Backlash from the cosmetic explosion has taken place during the past two decades. Television programs have painted cosmetic dentistry as bad and harmful. Many consumers are frightened by this negative publicity, and are motivated to avoid unnecessary drilling. For this reason, conservative dentists have enjoyed a reputation for respecting natural teeth. More and more, we see savvy consumers who want to know that these dentists have experience and training in conservative restorations - even if these consumers are not good candidates for the process.
Prepless dentistry is fun!
To say that I enjoy prepless dentistry is an understatement. I love it! It is rewarding to create a beautiful smile while not further damaging the teeth. Patients are elated that such a transformation can occur without drilling, shots, or pain. My office continues to expand the borders of this technique. We now routinely do many “hybrid” cases in which some of the restorations are conventional while others are prepless.
Dennis J. Wells, DDS, founder of the Nashville Center for Aesthetic Dentistry, is a graduate of Harding University and the University of Tennessee Dental School. He received his Accreditation with the American Academy of Cosmetic Dentistry in 1994. Since then he has served as an examiner for the AACD Accreditation process. He practices in Nashville, Tenn. For more information, contact him at [email protected].



