Arrested development
Application guide explores how conservative dentistry can benefit our patients and practices.
by San Simos, DDS
Introduction
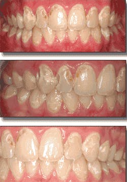
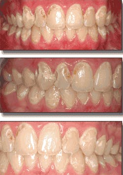
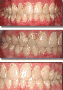
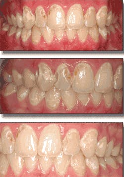
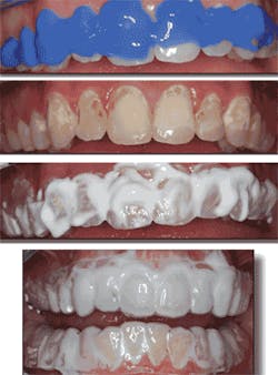
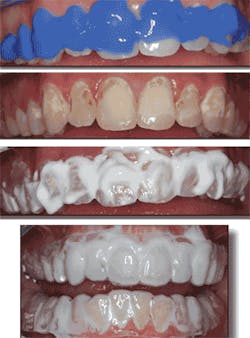
- 18–year–old female presents for evaluation of decay and demineralized front teeth.
- In areas, decay is soft and scoopable with excavator. Enamel is decalcified, weak and flaking in areas of the white and yellow spots.
- Patient's health history is unremarkable. Dental history is unremarkable with no soda habits and generally good oral hygiene.
- Patient has had orthodontic treatment, and noted that the decay began following the removal of her braces.
- No other decay or dentistry is evident.
- The treatment options discussed included veneers or MI Paste Plus regimen followed by conservative composite restorations with optimal treatment for patient being the latter.
The Goals
- Arrest the development of decay.
- Convert demineralized enamel to mineralized enamel with the use of MI Paste Plus (GC America).
- Conserve healthy tooth structure.
- Brighten smile.
- Restore tooth structure through conservative dentistry to create a beautiful, natural–looking smile that will last for years to come.
Restoration
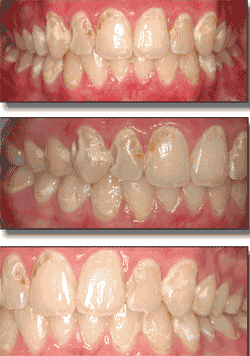
- Compliance by the patient was excellent.
- At the end of four weeks, the decay was hard to a dental explorer and could not be scooped with a spoon excavator.
- Existing decay was removed, enamel edges beveled and the teeth were restored with composite.
- The enamel was no longer flaking and the majority of the decalcified enamel lost its yellow and white appearance which would suggest recalcification.
- Whitening was done with a take–home gel after restorations were placed. Whitening trays previously made were used.
- Clinical and patient preoperative goals were met. The teeth are overall healthier and stronger with a natural, bright smile gained through a conservative approach.
Plan
- Treatment plan consists of two components: at–home protocol and in–office protocol.Plan
- Treatment plan consists of two components: at–home protocol and in–office protocol.
- In–office appointments were established once a week for four weeks. At these appointments, a two–minute phosphoric acid conditioning (Ultradent's Ultra–Etch 35% phosphoric acid) was placed with a syringe and tip within a half mm or 1 mm of the gingiva, depending on the location of the demineralization. The gingiva was not protected due to the thick etch that required only a two–minute placement, but a retractor was used to keep the lips out of the way. Afterwards, an application of MI Paste Plus to the conditioned area was completed. Patient compliance and hardness of the enamel and decay was evaluated as well.
- Whitening trays without reservoirs were made for the patient for use at home.
- At–home instructions for the patient consisted of excellent oral home care, application of the MI Paste Plus two to three times each day, by hand per manufacturer's instructions, and application of MI Paste Plus to teeth prior to bed followed by insertion of whitening trays so that the paste can remain in the effected areas longer.
Sam Simos, DDS, is founder and president of Allstar Smiles and the Allstar Smiles Learning Center. He teaches post–graduate courses via his Learning Center in Bolingbrook, Ill., and throughout the country.



