A dynamic duo: Maximizing workflow and clinical success with Celtra Duo, Calibra Ceram, and Prime&Bond Elect
Recently, Dentsply Sirona introduced Celtra Duo (ZLS), a zirconia-reinforced lithium silicate block that offers superior workflow flexibility and processing simplicity. Here are two case studies evaluating the product.
With the evolution of digital workflows in dentistry, it is important to choose consumable materials that are easy to use, robust, and suitable for varying clinical situations. This can result in streamlined inventory, intimate product knowledge, and potentially better outcomes for patients. Recently, Dentsply Sirona introduced Celtra Duo (ZLS), a zirconia-reinforced lithium silicate block that offers a level of workflow flexibility and processing simplicity that is unlike any other block on the market today.
Fully-crystallized "out of the box," Celtra Duo's ultrafine, submicron microstructure allows blocks to be milled, polished, and seated without having to go through an additional crystallization firing step. As a second processing option, Celtra Duo can be milled, polished, dry-fired, and then seated, or glazed and fired, then seated. Both processing options provide the clinician with two simple pathways in one fully crystallized, tooth-shaded block without sacrificing strength, esthetics, or processing speed.
Indicated for anterior and posterior single-unit crown restorations as well as inlays, onlays, and veneers, Celtra Duo achieves a respectable 210 MPa flexural strength when simply milled and polished without firing. Although use of an oven is optional, firing the material increases its strength to 370 MPa. This increase in strength after firing is due to viscous flow of ceramics and glasses, resulting in crack healing.
After creating a final restoration, the next step is to pair it with a cement system. For Celtra Duo restorations, the recommended definitive cementation system is Calibra Ceram Adhesive Resin Cement together with Prime&Bond Elect Universal Dental Adhesive (Dentsply Sirona; figure 1). Providing superior bond strength and esthetics required for ceramic restorations, and extended gel phase for easier cleanup, the Calibra Ceram and Prime&Bond Elect cementation system was designed to provide an easy-to-use system that streamlines the restoration process.
Figure 1: Calibra Ceram Adhesive Resin Cement together with Prime&Bond Elect Universal Dental Adhesive.
Case study No. 1
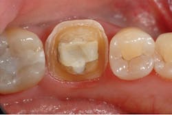
A 50-year-old female patient presented following a distobuccal fracture of tooth No. 19 (figure 2). After examination and discussion, a full-coverage restoration was planned. Local anesthesia was achieved with one cartridge of 4% Articadent Dental and epinephrine 1:100,000 (Dentsply Sirona). The tooth was carefully prepared to meet the reduction guidelines for Celtra Duo. In this case, a 1 mm circumferential shoulder was prepared with axial wall and occlusal reductions of 1.0–1.5 mm and 1.5 mm, respectively (figure 3).
Figure 2: Preoperative view of tooth No. 19 showing a distobuccal fracture necessitating a full-coverage restoration.
Figure 3: Final preparation of tooth No. 19.
The preparation design included a minimum of 1 mm reduction for a shoulder finish line, 1.0–1.5 mm reduction for the axial walls, and at least 1.5 mm reduction across the occlusal surface.
The preparation and surrounding structures were scanned and designed chairside using a CEREC Omnicam (Dentsply Sirona; figure 4). The full-coverage Celtra Duo restoration was milled in approximately 13 minutes with a MC-XL mill (Dentsply Sirona CAD-CAM). After intraoral adjustments for proper interproximal contacts, occlusion, and esthetics, the crown was dry-fired to achieve maximum strength according to manufacturer's instructions in a Programat CS2 oven (Ivoclar Vivadent).
Figure 4: The tooth was scanned and the restoration designed using a CEREC Omnicam.
In preparation for definitive cementation, the intaglio of the restoration was treated with 9.5% Porcelain Etchant (Bisco) and Calibra Silane Coupling Agent (Dentsply Sirona). After creating an isolated environment for adhesion, Prime&Bond Elect was scrubbed onto tooth No. 19 for twenty seconds followed by a gentle stream of moisture- and oil-free air for at least five seconds to thin the material and evaporate solvent. A thin, uniform amount of Calibra Ceram was applied to the inside of the crown and the restoration was immediately seated onto the tooth.
At this point, the cement could be tack cured to initiate cleanup or allowed to set without light to reach a gel stage in approximately 1–2 minutes. In this case, tack curing and removal of excess cement was accomplished after five seconds of light curing on both the buccal and lingual surfaces. Once cleanup was complete, the crown on tooth No. 19 was light cured for 20 seconds each on the buccal, lingual, and occlusal surfaces to achieve final cement set. (Note: For restorations with wall thicknesses 2.5 mm or greater or for non-light transmissible crowns, the restoration must be stabilized and the cement allowed to set for 5 minutes to reach complete cure.)
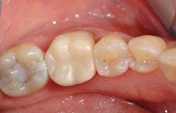
The final restoration is pictured in Figure 5.
Figure 5: The final Celtra Duo crown on tooth No. 19 after definitive cementation with Calibra Ceram and Prime&Bond Elect.
Case study No. 2
A 34-year-old female patient presented for previously planned treatment of full-coverage restorations on teeth Nos. 4, 5, 28, and 29. All four teeth were prepared according to reduction guidelines for Celtra Duo, scanned with a CEREC Omnicam, and milled with an MC-XL mill.
After milling, the restorations were adjusted intraorally for fit, occlusion, and esthetics. To increase workflow efficiency, especially in the premolar region, the crowns were not fired and were simply polished chairside using the CERECdoctors.com Finishing Kit (Meisinger).
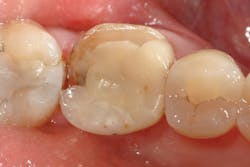
Lastly, the intaglio of the crowns was treated with hydrofluoric acid and silane as described above, and definitive cementation was accomplished using Prime&Bond Elect and Calibra Ceram. Final occlusion and interproximal contacts were checked, and the patient was released after receiving four individual crown restorations all completed in one visit (figures 6 and 7).
Figure 6: Final Celtra Duo restorations on teeth Nos. 4, 5, 28, 29 on 34-year-old female patient.
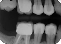
Figure 7: Final radiograph of Celtra Duo crowns on teeth Nos. 4, 5, 28, 29 after definitive cementation with Calibra Ceram and Prime&Bond Elect.
Conclusions
Efficiency in dentistry is critical to the success of our business, but this can only be realized when speed is combined with effective patient care. Digital workflows that leverage technology and robust consumable materials can result in streamlined chairside protocols, inventory controls, and improved outcomes. The unique design of Celta Duo gives clinicians two pathways to creating beautiful and strong restorations. Coupled with the high-strength and stress-free cleanup of Calibra Ceram and Prime&Bond Elect, the clinician now has the tools for excellent chairside results and long-term success.
Additional articles by Dr. Goodchild
Creamy or stiff composite handling? (October 2016)
One adhesive for all clinical situations: Prime&Bond Universal Dental Adhesive (September 2016)
The Class II restoration: Work harder or work smarter (May 2016)








