Final impressions: Accuracy, confidence, and material selection
As technology evolves, Dr. Goodchild looks at key components to success when selecting impression materials. He then provides a case study using Aquasil Ultra+ Smart Wetting Impression Material from Dentsply Sirona.
Not capturing an accurate final impression is a full stop in the single-unit crown procedure. Recent trends, including the use of retraction pastes, increasingly faster-set impression materials, and use of lower cost impression materials, have created a confusing milieu that can complicate the final impression procedure. This article will discuss three key components of successful final impressions and present an illustrative case study.
When evaluating impression materials, three components are key to success. First, to capture accurate and precise details, impression materials used intraorally need to work in the presence of moisture (i.e., be hydrophilic) not just when cured, but more importantly when they are uncured. Second, impression materials must be strong at the time of removal from the mouth to prevent tearing. Impression material that is syringed into a sulcus results in thin sections of material. Unless adequate retraction is achieved in these areas, the thin extensions of impression material can be at greater risk of tearing when the impression is removed. Third, appropriate material selection is key to the success of the final impression, and no single impression material will satisfy the infinite number of clinical situations. A fast-set material may be ideal for single-unit cases, but larger prosthetic cases or removable denture impressions may require options for setting times and viscosities.
In my practice, I’ve recently switched to the new Aquasil Ultra+ Smart Wetting Impression Material (Dentsply Sirona; figure 1), as it was designed to help clinicians in these three key areas: accuracy, confidence, and material selection.
Clinical Case Example
A 32-year-old female presented for a full-coverage restoration on tooth No. 3. After local anesthesia was achieved, the tooth was carefully prepared to meet the reduction guidelines for Celtra Duo ZLS (Dentsply Sirona), a zirconia-reinforced lithium silicate material. In this case, a 1 mm circumferential shoulder was created with axial wall and occlusal reductions of 1.0-1.5 mm and 1.5 mm, respectively (figures 2 and 3).
A small amount of Aquasil Ultra+ XLV Fast Set (extra light body) wash material (Dentsply Sirona) was bled outside the mouth, and then immediately syringed around the moist preparation using a Digit cartridge system (Dentsply Sirona; figure 4). Care was taken to syringe the wash material twice around the preparation while keeping the intraoral tip submerged in the material to avoid air entrapment and bubbles.
The closed-bite tray containing Aquasil Ultra+ Heavy tray material (Dentsply Sirona) was then seated within the wash material’s 35-second working time to help prevent mixing errors that can result in pulls or drags within the impression, causing poor detail reproduction (figure 5). After waiting the minimum removal time - in this case, two minutes and 30 seconds from the start of mix - the impression was removed from the patient’s mouth and evaluated (figure 6).
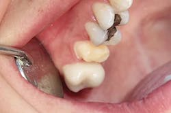
Approximately two weeks later, the patient returned for delivery of the final Celtra Duo restoration on tooth No. 3. The provisional was removed and the tooth preparation cleaned of excess cement. After treating the intaglio of the restoration according to the manufacturer’s instructions and creating an isolated environment for adhesion, a thin uniform amount of Calibra Universal Self-adhesive Resin Cement (Dentsply Sirona) was applied to the inside of the crown, and the restoration was immediately seated onto the tooth (figure 7). In this case, tack curing and removal of excess cement were accomplished after five seconds of light curing on both the buccal and lingual surfaces (figure 8). Once cleanup and final set of the cement was complete, final occlusion and interproximal contacts were checked and the patient was released (figure 9).
Jason H. Goodchild, DMD, is chairman of the Department of Diagnostic Sciences at the Creighton University School of Dentistry in Omaha, Nebraska, and a clinical education manager for Dentsply Sirona Restorative.









