Exploring unified universal composite technology for streamlined placement of simplified direct veneers in a single visit: A case study

This article outlines the benefits of direct composite restorations, including efficient, esthetic, tooth-preserving, cost-effective treatment. It highlights advances in universal composites like GrandioSO 4U, which simplify shade matching and enable durable, natural-looking, single-visit results.
Dec. 12, 2025
3 min read

Key Highlights

  • Direct composite restorations can meet high esthetic demands efficiently, often in a single appointment without impressions or provisional restorations.
  • Universal composites like GrandioSO 4U feature strong chameleon effects, covering the full VITA spectrum with just a few shades, simplifying shade matching.
  • Advances in composite science have improved material properties, making restorations more durable, esthetic, and easier to place, even in complex anterior cases.
  • The case study demonstrates a step-by-step approach to using composite veneers for correcting discoloration and shape, highlighting clinical techniques and materials used.
  • Modern composites support minimally invasive procedures, preserve natural tooth structure, and provide long-lasting, highly esthetic results suitable for everyday practice.

Today, even the highest esthetic demands can be met with direct composite restorations. Compared to indirect procedures, they protect tooth structure and soft tissue while being completed in a single appointment without impressions or provisionals—and at lower cost.

Introduction

In anterior treatments, esthetics often take priority. Patients are increasingly aware of dental appearance and willing to invest in an attractive smile. Advances in composite science and adhesive dentistry over the last decades have improved material properties, broadened indications, and enhanced treatment safety. Modern composites now support a wide range of uses, from minimally invasive reshaping to extensive reconstructions.

With so many restorative options—universal, flowable, bulk-fill, thermoviscous, and highly esthetic—choosing the right material can be challenging. Recently, the trend has been toward universal composites with strong chameleon effects that allow the entire VITA® spectrum to be covered using just a few shades. For demanding anterior cases, different translucency levels may be beneficial, but simplified systems are highly practical for everyday use.

GrandioSO 4U is a sculptable universal composite offered in five cluster shades (A1–A4). Thanks to its pronounced chameleon effect, these shades cover the full VITA® spectrum, making it suitable for both anterior and posterior restorations. It can be placed in increments of up to 4 mm, has an inorganic filler content of 91% by weight, and demonstrates low polymerization shrinkage (1.44 vol.%). With a radiopacity of 900% Al, GrandioSO 4U provides excellent contrast against tooth structure and other restorative materials.

Case study: Direct composite veneer

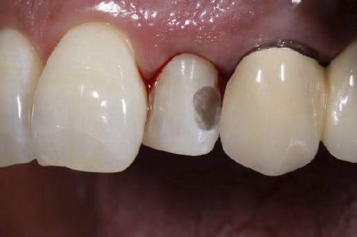
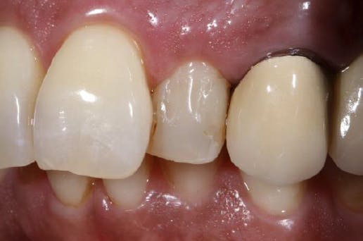
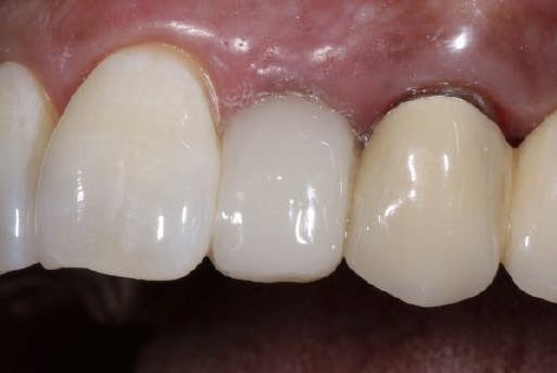
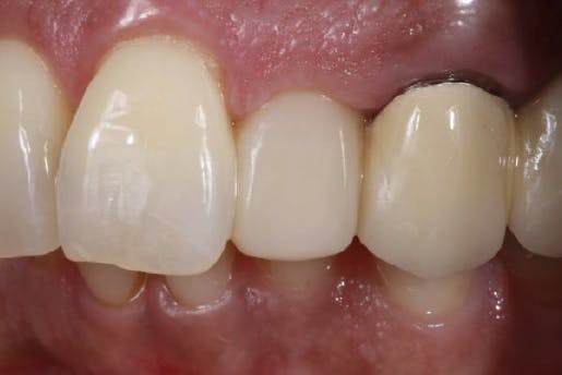
A 60-year-old female patient presented with a maxillary left lateral incisor positioned palatally and noticeably darker than adjacent teeth (figures 1–2). She desired an esthetic correction without an indirect restoration. A direct composite veneer with GrandioSO 4U (VOCO) was chosen.

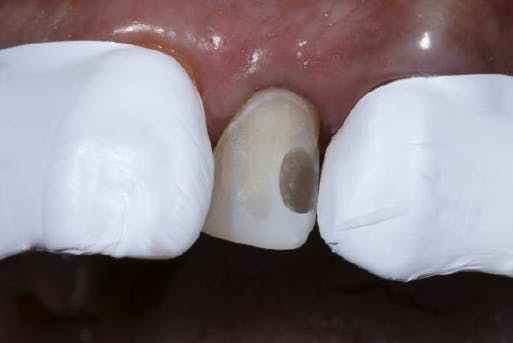
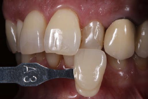
Shade selection

Shade was selected on the moist tooth (figure 3). A small button of composite was cured to confirm the optical match before proceeding.

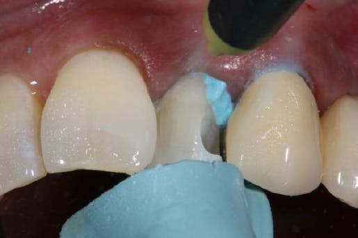
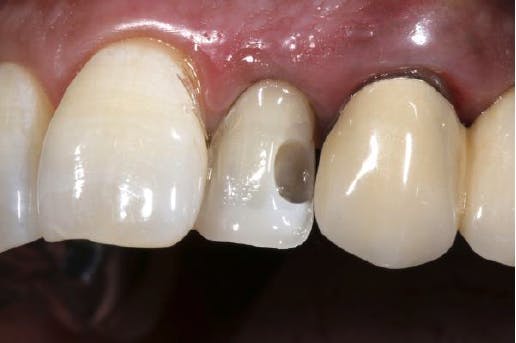
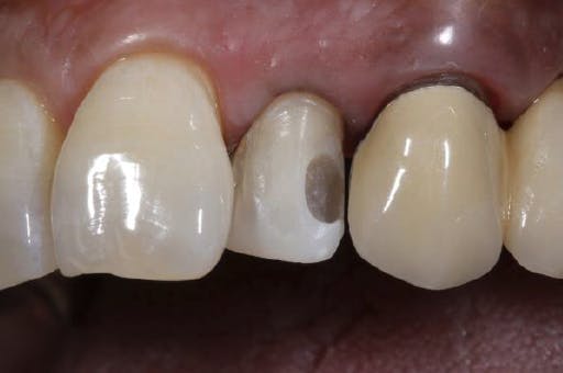
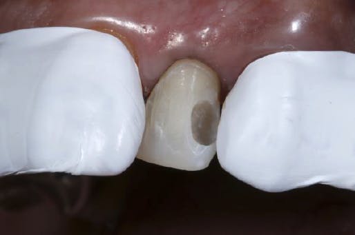
Preparation

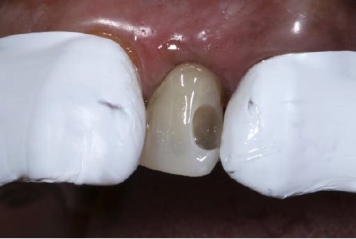
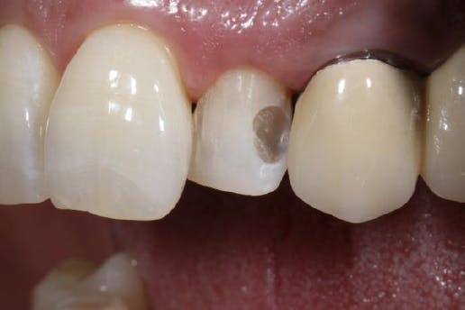
The labial surface was lightly instrumented and a small equigingival chamfer prepared (figure 4). An old distolabial composite filling was removed. Gingival displacement was achieved first with a retraction cord, followed by VOCO Retraction Paste to stop sulcular bleeding and secure a clean working field (figures 5–8). Adjacent teeth were protected with Teflon tape (figure 9).

Adhesive pretreatment

Enamel and dentin were etched with 35% phosphoric acid (figure 10), rinsed, and gently dried (figure 11). Futurabond M+ (VOCO) was applied thoroughly with a microbrush (figure 12), air-dried to a glossy layer (figure 13), and light-cured for 10 seconds (figure 14). The adhesive film was checked to ensure complete coverage (figure 15).

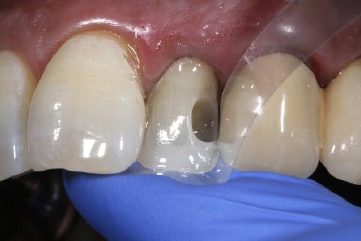
Composite application

Using a transparent matrix and freehand technique, the incisal edge was lengthened and straightened with GrandioSO 4U (figures 16–17). The distal defect was restored (figure 18), and the entire labial surface veneered to mask palatal position and discoloration (figure 19). Proximal contours were refined with the “matrix pull” technique. Each increment was light-cured for 10 seconds.

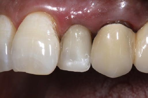
Finishing and polishing

The veneer was contoured with rotary instruments and discs, then polished with composite polishers for a high-luster surface (figure 20). The lateral incisor appeared harmonized within the arch (figure 21). Fluoride varnish was applied as the final step.

Conclusion

Direct tooth-colored composites like GrandioSO 4U allow clinicians to restore anterior teeth in a single appointment while preserving natural structure. With proper indication, adhesive technique, and clinical skill, these restorations can rival laboratory-made ceramics in esthetic zones. Thanks to its simplified shade system, excellent handling, and strong physical properties, GrandioSO 4U offers a practical and reliable option for achieving durable, highly esthetic results in everyday practice.

About the Author

Juergen Manhart, DDS

Juergen Manhart, DDS

Dr. Manhart is a professor of restorative dentistry in Munich, Germany. He offers seminars and practical hands-on workshops in esthetic restorative dentistry, such as direct-composite restorations, all-ceramic restorations, veneers, post-endodontic treatment, management of severely worn dentition, and treatment planning in esthetic dentistry. He can be reached at [email protected].

Sign up for our eNewsletters
Get the latest news and updates