White spot reversal
Case study with encouraging results
by Lory Laughter, RDH, BS
Reprinted from the September 2010 issue of RDH® magazine
For more on this topic, go to www.dentaleconomics.com and search using the following key words: orthodontics, white spot reversal, restorative dentistry, tooth whitening.
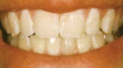
My first case of white spot reversal was exciting as well as a learning experience. The procedure worked very well, the patient is pleased with the results, and I now know to use digital photography for case documentation.
Case study â–ş The patient was 18 years old at the time of treatment. He was attending college out of state, so finishing treatment during his summer break was planned. Home-care compliance during treatment was excellent, and no restorative treatment was performed on the anterior teeth. The patient did not use any whitening products during or after treatment.
There was a history of orthodontic treatment with fair home care during the time he was wearing brackets. Once the brackets were removed, his home care became excellent.
Protocol â–ş The following protocol was followed for this case:- Soft decalcification of No. 8 MF and No. 9 MF diagnosed and restorations recommended.
- MI Paste dispensed and patient instructed to apply two times daily to all facials with fingertip.
- Patient will return for restorations in summer.
6-7-08 ...
- Decalcification no longer soft; restorations not needed per DDS.
- I told the patient white spots may be reversible; he is not interested right now.
- Patient asks if white spots can be fixed.
- No. 7 - No. 10 etch 60 sec. with 37% phosphoric acid, applied MI Paste Plus with finger then two times with prophy cup. Instructed patient to apply MI Paste Plus twice daily with fingertip at home (he is not agreeable to tray use).
- Did not etch No. 6 or No. 11 for comparison purposes.
7-1-08 ...
No. 7 - No. 10 – repeated above.7-15-08 ...
- No. 7 - No. 10 repeated above. Also applied protocol to No. 6 & No. 11.
1-6-09 ...
- Patient routine recall appt. Photos taken, no treatment for white spots given.
- Patient is using MI Paste Plus with fingertip application three to four times weekly.
6-2-10 ...
Patient routine recall appt. Final photos taken, no treatment for white spots.Details â–şThe patient was not able to come to our office during the summer of 2009 due to employment out of state. He did receive a prophy in 1-10, but the camera was not available and no remineralization treatment was provided at that time.
In-office etching was performed three times for the results seen. He continues to apply MI Paste Plus one to two times weekly and does not feel whitening is necessary.
Encouraging results â–ş The success of this case encouraged me to continue offering white spot reversal to patients exhibiting postorthodontic demineralization and to diligently educate patients on avoiding the condition with home care and MI Paste use during active orthodontic treatment.
Lory Laughter, RDH, BS, practices clinically in Napa, Calif. She is owner of Dental IQ, a business responsible for the Annual Napa Dental Experience. Laughter combines her love for travel with speaking nationally on a variety of topics. She is a Key Opinion Leader for GC America.
Past DE Issues



