Ask Dr. Christensen
by Gordon J. Christensen, DDS, MSD, PhD
In this monthly feature, Dr. Gordon Christensen addresses the most frequently asked questions from Dental Economics® readers. If you would like to submit a question to Dr. Christensen, please send an e-mail to [email protected].
For more on this topic, go to www.dentaleconomics.com and search using the following key words: zirconia-based restorations, all-zirconia restorations, porcelain-fused-to-metal, tooth-colored restorations, prostheses, Dr. Gordon Christensen.
Q Many of my patients prefer to avoid the use of metal in their mouths. I have suffered through the significant failures of many versions of all-ceramic restorations, and I'm not eager to try other all-ceramic restorations without sufficient positive research showing that they are working. There are many ads in dental journals about the newest form of all-zirconia tooth-colored indirect restorations. I think that concept was started by Glidewell Laboratories and is called BruxZir. All-zirconia restorations are advertised as excellent single- and multi-unit tooth colored restorations. What can you tell me about this newest unknown?A Your question is excellent. I am finding that many patients want to have nonmetal crowns. The movement is not new. They have always wanted tooth-colored restorations, but now the typical patient is becoming more aware of local intraoral metal allergies and alleged systemic problems related to metal in the mouth. You asked specifically about all-zirconia restorations, and I will limit my comments to that concept.I too have suffered through several generations of all-ceramic restorations. They have ranged from single-crown restorations to multi-unit restorations. Although some generations of all-ceramic restorations or polymer restorations have served relatively well, if I summarized my own long history with these restorations, it would be one of hopeful and optimistic placement, but frequent and expensive failure. The porcelain-fused-to-metal restoration (PFM), now with over 50 years of successful service, cannot be thrown away yet, but we are at least questioning whether it should continue to be the dominant restoration. The profession knows what to expect from PFM, but tooth-colored restorations have been less predictable. Are there some exceptions?
IPS Empress and many clones have proven themselves over millions of restorations as single-tooth replacement restorations. They can be expected to serve with minimal failure if planned and fabricated well and cemented with bonded strong resin cement. Currently, IPS e.max is going through an in-the-mouth observation period with thousands of single-tooth restorations being placed with observable success. As with Empress, the restorations must be planned and fabricated well and seated with strong cement. Although the manufacturer of this type of crown is stating that any cement can be used, I still favor bonded resin cement.
You noted that I have stated that both Empress and clones and e.max are for single-tooth restorations. Both of these types of restorations can be made by laboratory technicians or milled from manufacturer-made blocks. Both are serving well but with some reported failures.
What about multi-unit fixed prostheses made with tooth-colored restorations? There are only three types currently available:
â—Ź Porcelain-fused-to-metal. These restorations are well-proven, strong, and have long been used successfully for multi-unit restorations. However, the PFM possibility does not fit your question about strong all-ceramic restorations.
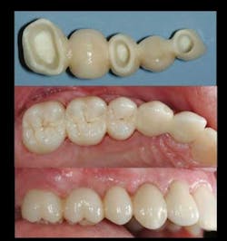
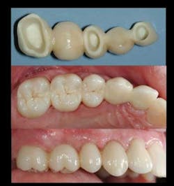
â—Ź Zirconia-based restorations (Fig. 1). These restorations are beautiful and strong if planned and fabricated well, and they can be seated with any desired type of popular current cement. Although they had some clinical challenges early after their introduction with superficial chipping, surface roughening, and occasional fracture of the superficial layered ceramic from the underlying zirconia substructure, most of the techniques for their fabrication have been improved to help overcome these early challenges. The product Noritake CZR Press has been proven in Clinicians Report TRAC research to be one of the most acceptable superficial ceramic formulations for these restorations (Ref. 1).
Fig. 1: Much of our current knowledge about all-zirconia restorations must be extrapolated from research on zirconia-based restorations with fired or pressed ceramic on the external surfaces. The fixed partial denture in this photo is a zirconia-based restoration made by technician Nelson Rego and prepped and seated by me five years ago. The zirconia framework is serving well in spite of being five units in length.
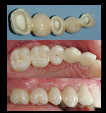
â—Ź All-zirconia (Fig. 2). You were correct when you noted that Glidewell Laboratories initiated this type of restoration. After labs gained experience with zirconia-based restorations, they found a frustrating problem. Many of the tooth preparations being sent to them by dentists were too shallow to allow both a zirconia substructure (posterior 0.5mm and anterior 0.3mm) and a layer of fired or pressed ceramic on the external surface. Therefore the technicians, in spite of having been taught to place fired or pressed ceramic on the outside of the zirconia, decided to try just the zirconia without any external layer of ceramic.
Fig. 2: This all-zirconia restoration made by Glidewell Laboratories is impressive esthetically. Long-term continued clinical research on the all-zirconia concept is necessary to validate these restorations.
With this background, I will now answer your question to the best of my ability with the knowledge that we have in 2011. I fully admit that the profession, certainly including me, does not know much about all-zirconia restorations at this time.
â—Ź Strength of zirconia. There is no question that zirconia is the strongest of all the materials that have ever been promoted for use as an all-ceramic restoration. I know that research strength numbers are not usually used by practitioners. Therefore, let's put zirconia strength into easily understood terms. Zirconia is more than 10 times stronger than human enamel. Although we don't know exactly what that means relative to long-term service, the strength of zirconia is certainly impressive.
â—Ź Ability for zirconia to be used as fixed prostheses. The only information that is available on this subject comes from studies on zirconia-based restorations with fired or layered ceramic on the external surfaces. As shown by TRAC research in Clinicians Report, the acceptability of the zirconia frameworks of zirconia-based three-unit fixed prostheses has not been as good as the success of PFMs, but the zirconia substructure acceptability is still positive when compared to other all-ceramic alternatives. Dr. Rella Christensen has reported on this data (Ref. 1).
â—Ź Occlusal wear of zirconia and opposing teeth. This is a relatively unknown area. There have been a few studies done, and there are a few research projects in progress, but conclusions are few, and all of them are short term. One of the challenges is that not all 'zirconia' is zirconia. The zirconia frameworks that have been available from 3M ESPE, DENTSPLY, Ivoclar Vivadent, KaVo, and other large companies are refined and homogeneous. However, there are some zirconia brands that are not. We certainly hope that the companies that are fabricating all-zirconia crowns and fixed prostheses are aware of the desire to have homogeneous, small particle size, well-sintered (fused) zirconia. The best I can tell you at this time is that we don't really know the answer to this part of the zirconia question. It is our desire that the zirconia will not wear opposing teeth significantly, and that it will not be worn by opposing teeth.
â—Ź Esthetic potential of all-zirconia crowns and fixed prostheses. The company that started this type of restoration (Glidewell Laboratories) has been able to produce restorations with good esthetic characteristics. The photo in Fig. 1 shows an all-zirconia fixed partial denture made by Glidewell Laboratories. I asked them to show what they can do esthetically with their all-zirconia concept, and the result is shown in Fig. 1. I must admit it looks very good. Will any stains placed on the zirconia surface wear off? Only time will tell. Will the long-term esthetic result be as good as with PFM or zirconia-based restorations? Again, clinical observation will answer these questions.
â—Ź Long-term service potential of all-zirconia restorations. Based on the immediate popularity of all-zirconia restorations, it appears to me that patients would rather have strong, relatively esthetic restorations in preference to undetectable but questionably strong restorations. I must admit, I agree! When a patient in the U.S. has paid about $1,000 for a crown or $3,000 for a three-unit fixed prosthesis, that patient should expect the restoration to serve for a respectable period of years.
â—Ź Cost of all-zirconia restorations. Currently, over 10 companies provide all-zirconia restorations at costs to dentists that are lower on average than PFM restorations from the same laboratories. That difference makes sense, since milling of these restorations is relatively simple, the cost of zirconia is not high, and there is no external veneering layer on the all-zirconia restoration.
â—Ź The future of all-zirconia restorations. At this time, we don't know their future; however, high dentist and patient interest in these restorations and the early reports from the profession should lead us to conclude that the potential for their continued growth and success is promising. I suggest that, as with any new concept, dentists should be wary of all-zirconia restorations for a reasonable period of time and cautious in their use. After many years of watching crown successes and failures, I suggest five years of clinical observation provides the needed level of confidence.
Does that mean waiting five years before trying them? No. Certainly there are many patients today for whom all-zirconia restorations appear to be an ideal choice. Patients with overt soft-tissue sensitivity to metals are primary candidates, patients who will not accept any metal in their mouths are another potential group, and patients who want reasonable strength and will be satisfied with a moderate esthetic result are another group.
My summary is to go for it in moderation! These restorations look like something we will be looking at for a long time. However, as I said, don't throw away PFM just yet.
Practical Clinical Courses has just completed a video on a related topic that will allow you to make more predictable, more accurate impressions at one-half of the amount most of you are currently paying for impressions.
The title is V1947 – "Light curing resin for fast custom trays and repairs." This one-hour, live, close-up presentation shows dental assistants, dentists, and laboratory technicians how – in step-by-step procedures – to rapidly make accurate, stable, and strong custom impression trays. This video will improve your practice and save you money!
References
1. Christensen RP, Ploeger BJ. JADA, Nov. 2010, Volume 141, pages 1317-1329.
Dr. Christensen is a practicing prosthodontist in Provo, Utah. He is the founder and director of Practical Clinical Courses, an international continuing-education organization initiated in 1981 for dental professionals. Dr. Christensen is a cofounder (with his wife, Rella) and senior consultant of CLINICIANS REPORT (formerly Clinical Research Associates), which since 1976 has conducted research in all areas of dentistry.
Past DE Issues


