Efficient posterior composites without sacrificing quality
By Dr. Marc Geissberger and Dr. Parag Kachalia
For many years, practitioners have looked for a tooth-colored material that can be placed in a predictable and efficient manner. Methyl-methacrylate-based resins offer practitioners the ability to place tooth colored restorations.
However, proper placement of these resins has traditionally required incremental layering techniques to maximize the resin's chemistry and achieve optimal clinical results. SonicFill by Kerr Corporation (a Sybron Dental Specialties company) bridges this gap. Its unique delivery system combines a new and revolutionary bulk fill resin with a sonic handpiece designed to decrease the material’s viscosity for rapid and easy placement.
In a pilot clinical study conducted at the University of the Pacific Arthur A. Dugoni School of Dentistry, students were asked to place posterior composite restorations using the SonicFill system. This study was designed to look at three specific areas — learning curve, ease and efficiency of restoration placement, and quality of the final restoration.
Learning curve
The ultrasonic handpiece uses a KaVo multiflex connection and is simple to install. The system can be incorporated into any standard dental operatory setup in seconds.
The handpiece and placement techniques are simple to master in a very short time. Each student in the pilot study was given a typodont with a prepared Class I or II cavity preparation, and one ampule compule of composite with which to practice. This enabled the novice dentists to experience the SonicFill delivery technique before using the system clinically.
Additionally, students were given verbal instructions of the placement technique before restoring the typodont tooth. Immediately following this brief tutorial, clinical placement commenced.
Ease and efficiency of restoration placement
Unlike other low shrinkage posterior restorative materials, the SonicFill restorative system requires no unique bonding agents and can be used with any total-etch or self-etch adhesive system. Due to the unique design of the composite resin and flowable qualities created by the sonic vibration delivered by the handpiece, the restorations can be bulk filled (up to 5 mm) quickly with no voids.
After the handpiece is removed from the cavity preparation, the handling consistency of the composite resin quickly returns to its normal viscous state for easy sculpting and anatomy creation. The small diameter orifice of the SonicFill compules (1.5 mm, compared to conventional ampules of 2.5 mm), coupled with the flowable characteristics of the sonically activated resin, allows for easy placement in even the most conservative clinical preparations.
While conventional layering techniques have proven to be effective, they can lead to voids and require extended placement time, which can increase the likelihood of contamination. During the pilot study, 44 SonicFill restorations were placed.
The average time to volumetrically fill each restoration with the composite material was 40 seconds. The fastest recorded placement time was eight seconds. This represents a fraction of the time generally required by practitioners to place posterior composite restorations using a traditional 2 mm layering technique.
In addition to the time saved by bulk filling, further efficiency is gained by the lack of instrumentation needed to adapt the resin to the walls of the preparation.
The sonic energy that is applied allows the resin to flow through the orifice and adapt to the preparation’s anatomical configuration without spending too much time on material manipulation.
Quality of the final restoration
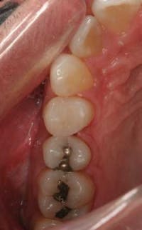
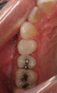
The study used only one shade of composite — A2. Due to the “chameleon effect” of the composite, 100% of the restorations were deemed esthetically acceptable. As a result of the high compressive strength values reported out of Nova University, restorations were placed in all areas of the posterior dentition ranging from first bicuspids through third molars.
After traditional finishing and polishing techniques, all of the restorations placed were evaluated and demonstrated clinically acceptable marginal integrity.
This marginal integrity was especially evident on three-month and six-month recall radiographs. SonicFill composite demonstrates a high radiopacity and can be clearly distinguished from enamel, dentin, and recurrent caries.
Breaking the barrier
Many dental practitioners have spent countless hours through the years refining their skills to overcome the technique sensitivity issues associated with posterior composites.
SonicFill composite, along with its revolutionary handpiece, allows the technique sensitivity barrier to finally be broken in terms of incremental composite layering.
Practitioners now have the ability to efficiently place posterior composites in a manner that drastically decreases the time without sacrificing quality.
As the dental students in the study demonstrated, with a brief training session practitioners can place high quality restorations without any of the sensitivity issues traditionally associated with bulk fill techniques.
Dr. Parag Kachalia is the director of new technologies at the Arthur A. Dugoni School of Dentistry, and is also a member of the Pride Technology Leadership Council. He maintains a private practice in San Ramon, Calif., and lectures internationally in the areas of restorative dentistry and dental technology. Dr. Kachalia can be reached at [email protected].
Dr. Marc Geissberger is professor and chair of the Department of Restorative Dentistry at the University of the Pacific. He has numerous publications, including a textbook entitled Esthetic Dentistry in Clinical Practice for Wiley-Blackwell. He has presented more than 200 CE programs nationally and internationally. Dr. Geissberger maintains a private practice in Greenbrae, Calif. He can be contacted at [email protected].
For more on this topic, go to www.dentaleconomics.com and search using the following key words: efficient posterior composites, resins, Dr. Marc Geissberger, Dr. Parag Kachalia.



