Which technique is best: total-etch, self-etch, or selective-etch?
As I attend continuing education courses, I'm frequently confused by the various suggestions by instructors that one or the other of the etching/bonding techniques is the best. I have been using a self-etch product, and I do not seem to be having any problems. However, I hear that the total-etch concept is the best. What am I missing?
I am often asked this question in continuing education courses. In my opinion, there is significant confusion in the profession, and many dogmatic opinions are expressed on the topic. Similar to numerous other clinical techniques, there is not one best technique for bonding resin-based composite to teeth. I have my own opinions, based on both research and clinical observations over many years.
To answer your question, I will provide information on all three of the techniques commonly being used in the profession, and I will suggest a successful procedure for each of the three.
The evolution of etching teeth
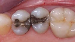
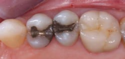
Amalgam and silicate cement were used for many decades without any bond to tooth structure and without significant clinical challenges. Amalgam use continued to diminish, as people wanted white teeth. Bonding arrived and stimulated a major change in techniques (Figs. 1 and 2). In the early 1950s, Dr. Michael Buonocore introduced the concept of acid etching enamel to increase retention of resin to tooth structure. The advent of resin bonding and the subsequent continuing evolution of "bonding" to tooth structure have now been observed for over 60 years. It began with bonding only to enamel. Clinicians rapidly accepted enamel bonding as being profound and predictable, and this acceptance has remained relatively unchanged. However, bonding to dentin has had a much less favorable history. Manufacturers have promoted products that supposedly bond to dentin, and these have had varied results. The general feeling among clinicians is that enamel bonding is successful and dentin bonding is unpredictable. However, in 2013 the currently available products are changing dentists' opinions about dentin bond. Dentin bonding agents are beginning to impress dentists with their properties. (Clinicians Report, August 2012, Vol. 5, Issue 8)
Postoperative tooth sensitivity
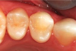
Etching enamel has been shown to seldom produce postoperative tooth sensitivity. Dentin etching has been shown to frequently produce postoperative tooth sensitivity if not used properly (CRA Newsletter Nov/Dec 2003). Many dentists have the opinion that the most important reason to use dentin bonds is to reduce or eliminate postoperative tooth sensitivity, and I agree with that opinion. As a result, many practitioners etch enamel only (Fig. 3). Treatment of postoperative tooth sensitivity is time-consuming, expensive, and very negative for patients. It can cause a simple Class II composite with an original fee of about $250 to require root canal treatment, and a crown or onlay with a combined additional patient fee of up to $2,000. Obviously, this is not a good practice builder.
Can all three techniques for etching teeth, total-etch (etch and rinse), self-etch, and selective etch be done while avoiding postoperative tooth sensitivity? In my opinion, yes, and I will now provide information on that statement.
Total-etch (etch and rinse)
As previously stated, this technique has the reputation and reality of creating the most postoperative tooth sensitivity if not used
correctly. Why would total-etch create tooth sensitivity? All of the dentinal canals are opened by a total acid etch, and unless they areclosed by adequate application of bonding material, the potentially pulp-irritating chemistry of the resin restorative materials irritate the pulp. The following is a total-etch technique that will satisfactorily reduce or eliminate postoperative tooth sensitivity while still creating a good dentin bond. Any of the products that are promoted as total-etch can be adapted to this technique regardless of the number of components.
- Make the tooth preparation.
- Etch the entire tooth preparation, enamel and dentin (Fig. 4).
- Rinse the tooth structure thoroughly.
- Place a desensitizing agent. One of the most successful steps is use of glutaraldehyde-containing liquids (Gluma from Heraeus, MicroPrime from Danville, G5 from Clinicians Choice, GluSense from Centrix). These nearly identical materials contain glutaraldehyde 5% and HEMA 35%. They coagulate the dentin, thereby obturating the dentinal canals and reducing the dentin permeability to the subsequently placed resin. For optimum effectiveness, our research in the TRAC division of Clinicians Report (previously named CRA) shows that two 1-minute applications are most effective.
- Suction off the glutaraldehyde solution. Don't wash it off! Don't get it on the soft tissue.
- Place a thin layer of one of the well-proven resin-modified glass ionomers and cure it in any deep "potholes" where carious lesions have been removed (Vitrebond from 3M ESPE, GC Lining Cement from GC). New concepts currently under investigation, such as TheraCal from Bisco, look very promising for this use.
- Depending on the number of ingredients of the commercial total-etch product, place the primer and subsequently the bond or, depending on the product, the primer and bond in the same ingredient.
- Cure the bond.
- Place the restorative resin.
Selective-etch technique
This technique is very similar to the total-etch technique above.
- Make the tooth preparation.
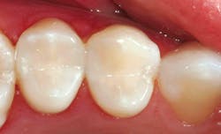
- Selectively etch the enamel only with a well-controlled homogeneous gel etching material. Good examples are Ultra-Etch from Ultradent, 3M ESPE Etchant Gel, and Select HV Etch from Bisco. The gel etch should come out of the cannula in a homogeneous, easily controlled manner (Fig. 4).
- Rinse the tooth structure rapidly and thoroughly to avoid allowing significant contact of the acid residue with the dentin.
- Place the glutaraldehyde-containing solution as above.
- Suction off the glutaraldehyde solution.
- Place the resin-modified glass ionomer if deep areas are present and cure it.
- Accomplish steps 7, 8, and 9 as in the total-etch technique.
Self-etch technique
This is the easiest technique, and it has been well proven for the currently popular products.
- Make the tooth preparation.
- Place the glutaraldehyde solution.
- Place the resin-modified glass ionomer if deep areas are present.
- Place the self-etch product and cure (steps 7, 8, and 9 as in the total-etch technique). This can be done with one or two ingredients depending on the product, as in the other two techniques.
Which is the best: total-, selective-, or self-etch?
This depends on your personal preference. If you were to peruse the dental literature on this controversial subject, you would find the following general conclusions:
- There are passionate supporters of each procedure.
- There is research to support current products representing each procedure as being adequate.
- The dental academic world tends to support total-etch (etch and rinse).
- Clinicians in practice tend to support selective or self-etch, probably because of the reported less postoperative tooth sensitivity and predictability when working in a fast-paced ongoing practice, while treating several patients at the same time.
What have I really said? All three procedures are successful if done well (Fig 5). Self-etch and selective-etch are the most predictable relative to production of postoperative tooth sensitivity. Total-etch can cause more postoperative sensitivity if not done well. If you are currently successful with the technique you're using, don't change. If not, look over my comments and make a change.
Editor's note: Originally published in 2013. Reviewed for formatting in 2022.
About the Author

Gordon J. Christensen, DDS, PhD, MSD
Gordon J. Christensen, DDS, PhD, MSD, is founder and CEO of Practical Clinical Courses and cofounder of Clinicians Report. His wife, Rella Christensen, PhD, is the cofounder. PCC is an international dental continuing education organization founded in 1981. Dr. Christensen is a practicing prosthodontist in Provo, Utah.






