A material improvement: Wol-Ceram
Dr. Michael DiTolla
Every year dental manufacturers bring at least a few new indirect restorative products to market, and dental laboratories are faced with the decision of whether to use these new materials. Many dentists tell me they are confused about the dizzying array of restorations available. Their frustration comes from not knowing which restorative systems truly represent a step forward in terms of technology and aesthetics, and which ones are simply "me too" products most likely created by the marketing department rather than the research and development department.
With this in mind, I would like to use this month's column to introduce you to a material, Wol-Ceram, which is a step forward in terms of technology and aesthetics, and one that is worthy of your consideration as a single crown material. Wol-Ceram also can be used to fabricate three-unit bridges, but I still favor Captek — the subject of a future column — for my aesthetic bridgework.
Wol-Ceram is now available from many national laboratories, and even if your local laboratory does not have Wol-Ceram, they can have the copings fabricated by one of the large laboratories. Wol-Ceram is the first all-ceramic system that allows you to prepare teeth with a featheredge margin; shoulders and chamfers are not required. Many dentists have complained about the extra preparation required for most all-ceramic restorations, feeling that a standard PFM preparation should be adequate reduction.
When the die is prepared prior to dipping, die spacer is placed on the axial surfaces to within 1 mm of the margin, however, there is no die spacer placed on the occlusal surface of posterior teeth or the incisal surfaces of anterior teeth. As a result, the Wol-Ceram restoration has optimal pressure distribution due to this "stop" on the occlusal or incisal surface. This results in stress-free restorations, even at featheredge margins. Personally, I still prefer deep chamfer margins because I find them easier to accurately prep and impress.
When you watch Wol-Ceram being fabricated, it is reminiscent of the cast-gold lost-wax technique with which we are all familiar. The master die is dipped into the alumina oxide solution, which is electrically attracted to the die. As you may have noticed, CAD-CAM systems are being sold as the future of dentistry, and I must admit the technology is pretty impressive. Nevertheless, when a laser scans a wax-up and mills a coping 30 percent larger than the actual tooth because the coping shrinks 30 percent while it sinters in the oven, there is potentially a lot of room for error. It just makes a lot more sense to dip a die in the solution, remove the coping, place it in the oven, and then have it fit right back on the master die. The amount of error introduced into the system is practically nonexistent.
The Wol-Ceram fabrication cycle is a two-step procedure. After the master die is dipped in the liquid alumina oxide and trimmed, the same size coping is fired in the oven. After firing, the coping is "painted" with an infiltration glass that comes in four Vita shades. The coping is then placed back in the oven so the infiltration process can take place. One distinct advantage of having a separate infiltration process is that it allows the technician to match the shade of the coping to the final shade of the restoration, unlike the "snow white" copings of some other all-ceramic systems.
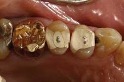
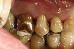
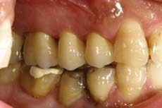
From the very first three units I cemented, I knew there was something special about the Wol-Ceram system. These were the first all-ceramic crowns I had ever inserted that felt like PFMs as they slid down into place. There is nothing quite so reassuring as being able to feel the mechanical retention of a crown as it moves down the prep.
Dentists tend to be somewhat reluctant to try a new material that doesn't have a lot of clinical studies to support it, but In-Ceram is one of the most researched restorative systems available today. Wol-Ceram restorations are built on high-density In-Ceram alumina material from the Vita Company. In-Ceram crowns have been proven in clinical tests for more than 12 years and literally millions of crowns have been prescribed worldwide. On more than one occasion I have heard CRA founder Dr. Gordon Christensen comment, "In-Ceram is the best-kept secret in dentistry."
I still prefer to cement rather than bond, and Wol-Ceram can be cemented with any crown and bridge cement of your choice. The next time you have a need for an all-ceramic crown that preps, fits, cements, and costs the same as a PFM, give Wol-Ceram a try.
Dr. Michael DiTolla is director of clinical research and education at Glidewell Labs in Newport Beach, Calif., where he also teaches over-the-shoulder courses on topics such as aesthetic restorative dentistry. Dr. DiTolla also teaches a two-day, live-patient, hands-on laser-training course that emphasizes diode and erbium lasers. In addition, he teaches a two-day, hands-on digital photography course emphasizing intraoral and portrait photography, and image manipulation. More information on these and other courses can be found at www.ditollaseminars.com or by calling (888) 535-1289.




