How to make quadrants efficient and profitable
by Gary M. Radz, DDS
Sure, many dentists would love to have the exclusive, high-end, insurance-free, high-profile patient, spa-type cosmetic dental practice. However, the practical reality for most of us in private practice is that we have a mix of general dentistry patients and, occasionally, we get to venture into the elective cosmetic dental world with some of our patients.
Until five years ago, I practiced in one of those high-end cosmetic practices with Dr. Ross Nash in Charlotte, N.C. It was a wonderful and fun way to practice - to spend most of my time working on patients who were interested in the benefits of cosmetic dentistry. Five years ago, my wife and I made lifestyle changes that brought us to Denver, Colorado, where I purchased a general dentistry practice. What a dramatic change that was!
The practice I purchased was a nice, stable, general dentistry practice. The quality of the existing dentistry was good, the equipment was a bit outdated but functional, the office design was not efficient and dated, amalgams, PFMs, and gold were the restorative materials of choice, the office accepted insurance assignment, and often times insurance issues were allowed to heavily influence the patients' pace for proceeding with treatment. This is not a "knock" on the previous dentist, rather this was and is the common state of most general dentistry offices. But for me and where I came from, it was very different.
So my initial challenge and goal for my new office was to start creating an office that was similar to my previous environment with Dr. Nash, but also to create an office more based on my personal style and what I enjoyed doing. My goal was to create an office that was:
• not insurance-based
• focused on cosmetic dentistry
• also had a solid foundation of general dentistry patients.
My unwritten, private mission statement was, "Every tooth that we treat will look better leaving the office than when it came into the office, while at the same time maintaining or improving function." With that in mind, we got rid of the amalgamator and eliminated accepting insurance assignment (thanks to the help of the Brady Group). This created an environment where I could offer my patients better aesthetic options, and I would provide my patients with treatment plans where insurance did not influence my recommendations to the patient.
Since the practice I purchased was not focused on cosmetics, there were not a lot of veneer cases sitting around treatment-planned in the charts. Also, new patients were not calling our office for cosmetics. So to create a different direction for the practice, I needed to raise awareness in my existing patients that the appearance of a restored tooth was just as important to me as the function.
One of the easiest ways to begin transitioning a practice to a more cosmetic-oriented practice is to begin with the posterior teeth. So in our practice now, whether it is a Class I or a full-coverage restoration, we treatment-plan these cases with an eye toward aesthetics. And slowly, over time, as we did restorative dentistry on our existing patients, they were able to see the difference between amalgam and composite, PFM and all-ceramic. And our patients began to understand that one of our priorities is to make restored teeth look like real teeth.
As we began this transition to a more cosmetic-focused practice, we would always treatment-plan posterior teeth in quadrants. The following clinical case is a common and typical scenario in our office.
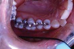
A 30-year-old female presents all four quadrants of her posterior teeth with amalgam restorations in varying degrees of functionality (Figure 1).
Tooth No. 2 has a large amalgam and the distal-lingual cusps test positive for a fracture. Tooth No. 3 has two large amalgams and recurrent decay. Tooth No. 4 has some marginal breakdown and has recurrent decay distally. Tooth No. 5 has some minor marginal breakdown.
The patient is presented a treatment plan to restore this quadrant of teeth. As each of her other posterior quadrants show similar restorative dentistry, a treatment plan is created quadrant-by-quadrant. Each quadrant is prioritized in the development of the treatment plan.
During the case presentation, an 8" by 11" print-out is created using a digital camera (Canon 10D, Norman Camera), image f/X (SciCam) software, and an HP 7350 photo printer so the patient can see the same things I see as we discuss treatment.
The upper right quadrant is the most urgent because of pain on chewing, so we discuss this one first.
Tooth No. 2 requires full coverage because of the fracture. As the buccal cusps seem well-supported, an onlay is recommended to conservatively restore and protect the tooth. The patient is given the option of tooth-colored or gold (yes, in our cosmetic practice we still do offer and provide gold as an option).
For tooth No. 3, more than one-half of the occlusal table is restorative material. So by definition, this tooth requires full coverage. Again, the buccal cusps are well supported so an onlay is recommended. Certainly, a full-coverage crown is a reasonable option. However, in a patient with a broad smile that displays the mesial-buccal cusp of the first molar, leaving the mesial-buccal cusp intact will provide a better aesthetic result.
For tooth No. 4, this is a smaller restoration so full coverage is not necessarily indicated. A direct Class II composite is an option, but because of the contour, contacts, and emergence angles required on this tooth, an indirect restoration created by a lab technician will provide a more accurate physiological restoration, and we can use a stronger material if we do an inlay restoration.
When discussing tooth No. 5 with the patient, she is informed that treatment on this tooth is optional for right now. The existing restoration will likely provide her with a few more years of service, but we will offer the option of replacing it now with a direct restoration. This has a number of advantages to the patient:
1) All treatment of this quadrant will be completed at one time, minimizing the number of visits and the number of times she'll have to be anesthetized.
2) Because of favorable access to the entire preparation, a more ideal direct restoration can be fabricated.
3) Upon completion, the entire upper right side of her smile will look natural again.
Upon completion of the treatment-plan presentation, the patient is shown the quote for the treatment. The quote is subdivided into quadrants. The patient is informed of the benefits of proceeding with the treatment by quadrants. Certainly, if the patient cannot afford to proceed by quadrants, we will still treat her; however, by using visual tools (the photo), good verbal skills, and clearly demonstrating the benefits of doing the entire quadrant at one time, more often than not, our patients will opt to proceed with quadrant dentistry. And they choose to proceed regardless of the insurance reimbursement, because we help them to understand the benefits they receive from doing all the teeth at one time.
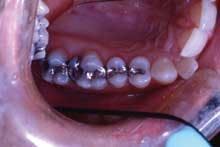
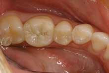
This patient is typical of our patients. She requested to have all the work in this quadrant completed at one time. The final result is a quadrant of posterior restorations that will last a long time and has improved the function and aesthetics of her teeth (Figure 2).
The benefit to the practice is important as well. We are able to work more efficiently on three or four teeth all at once than if we gave in to the "crown of the year" club mentality that we dentists help perpetuate in our patients. Also, we all know that the quality of the restorations is just a little bit better when they are all done at once - we don't "nick" the adjacent tooth while prepping; the laboratory technician has the ability to create correct and accurate proximal contacts and emergence angles; the lab technician also has the ability to help us correct or refine the patient's occlusion at this time.
From a business standpoint, this produces a huge difference in profitability. If I were to prepare these teeth one at a time with the above treatment plan, I would schedule 7.5 hours of chairtime for approximately $3,380 of dentistry. However, if we provide the entire quadrant of dentistry at the same time, I would schedule a total of 2.75 hours of time to do the same treatment. You don't need an MBA to figure that one out. It is obviously more profitable to do all of this dentistry at the same time. In this situation, everyone wins. Compare these:
• Tooth-at-a-time dentistry = $450 per hour
• Quadrant dentistry = $1,229 per hour
The business benefits are simple and clear.
Case two
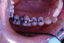
Another clinical example is this 35-year-old woman (Figure 3).
Tooth No. 19 has a large amalgam and fractures present in the lingual groove and the distal marginal ridge. Tooth No. 20 has a conservative amalgam restoration with a small area of recurrent decay present under the distal margin. When presenting the treatment plan to the patient, she is shown this picture. We explain to her the reasons we are recommending a crown with a build-up on tooth No. 19 and that the presence of the existing fracture lines put the distal lingual cusp at risk. We also explain to the patient that tooth No. 20 will require a new composite filling to replace the old amalgam restoration that is beginning to fail. We then explain the benefits of doing both restorations at the same time. Her response was, "I definitely want to do both at the same time. It's too hard for me to get time off from work to come to the dentist."
The patient had all the restorations in this quadrant completed, thereby saving the need for multiple appointments and injections. Moreover, and just as important for this patient, her teeth look like teeth again.
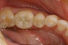
Figure 4 shows the final restorations - a high-strength, all-ceramic crown (Lava, 3M) and a conservative Class II direct composite (Premise, Kerr).
From a business standpoint in our office, the fees for an all-ceramic crown, a build-up, and a three-surface Class II composite total $1,618. If they are done at the same time, we will schedule 2.25 hours of total chairtime. This comes out to $719 per hour. If we were to do these restorations separately, our total chair time would be three hours. Our hourly productivity would then be reduced to $539 per hour. From the patient's standpoint, it would require three visits to our office instead of two, as well as having an additional injection.
Better all around
One hundred percent of the time it is more productive and efficient to provide quadrant dentistry. From a business perspective, you will always make more money per hour by doing quadrant dentistry. For the patient, there are significant benefits as well - reducing the number of appointments and injections are positive benefits in your patient's mind.
Quadrant dentistry is a win-win scenario for both dentist and patient. Treatment is better and faster, the patient's discomfort and inconvenience is significantly reduced, and your office functions more productively.
The only thing that gets in the way of doing more quadrant dentistry is the mindset of the dentist. If the benefits are properly explained and demonstrated to the patient, you will be surprised how many of your patients will agree to quadrant dentistry.




