For an easier crown and bridge life
For more on this topic, go to www.dentaleconomics.com and search using the following key words: crown and bridge, diode laser, cordless, all-ceramic, cast gold, Dr. Michael DiTolla.
This month I wanted to share two products with you that have been making my crown and bridge life a lot easier.
The NV MicroLaser (Fig. 1) from Discus Dental has eliminated the objections I had with my old diode laser. Now it is simple to reach for the NV anytime I need to clean up a little tissue.
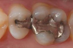
Also, BruxZir Solid Zirconia crowns (Figs. 2 and 3) have been growing exponentially in the lab, making it clear that dentists have a need for a tooth-colored gold alternative.
I am happy to report that yet another one of my favorite products has gone cordless. To me, cordless is about more than convenience; many times it determines whether a dentist uses the technology or lets it collect dust, especially when it comes to using it in multiple operatories.
The NV MicroLaser™ is miraculously small when compared to my old diode laser (which is about the size of a shoebox). The NV MicroLaser weighs only two ounces, and measures just 0.6 inches in the section where you hold it.
Even better, the NV MicroLaser has done away with the need for a fiber-management system with the introduction of disposable cutting fibers that snap onto the laser body. With presets for all common laser procedures and a look and feel that would make Steve Jobs jealous, the NV MicroLaser would seem to be the prototype for all diodes to come.
I would be lying if I said I was not a little surprised by the meteoric rise of BruxZir crowns. As a dentist who has been burned by the failure of all-ceramic crowns, I knew there was a need for a high-strength, tooth-colored crowns for patients who would not accept cast gold. I just never knew if that was a Southern California phenomenon or not.
We talk about BruxZir being "more brawn than beauty" because of its strength, and because it may not look quite as good as a typical all-ceramic crown. But in patients’ eyes, it looks much more esthetic than cast gold. As expected, dentists are primarily using it on first and second molars. We might have to modify our slogan one day, though, as the first couple of anterior BruxZir cases I have placed look good. I look forward to sharing those results with you in a future column.
Dr. Michael DiTolla is the Director of Clinical Research and Education at Glidewell Laboratories in Newport Beach, Calif. He lectures nationwide on both restorative and cosmetic dentistry. Dr. DiTolla has several free clinical programs available online or on DVD at www.glidewelldental.com.
Past DE Issues



