Tooth color modification: A discussion on the mechanism and options for vital tooth bleaching
by Jack Ringer, DDS
This is the third and final part of my tooth color modification story, and this will tie it all together for you.
Both the office and OPHB methods will generate the same result if used as recommended. The only difference between the two is that more time is required to reach the optimal result with OPHB. A popular option to expedite the bleaching process with home maintenance, which keeps the cost down for patients, is a combination of the two delivery methods. The patient has one session of office bleaching, and while in the office undergoing the therapy, the staff manufactures and dispenses an OPHB kit that the patient can take home with proper instructions. Combining these techniques reduces the time for achieving optimal bleach results, lowers patients’ out-of-pocket expense, and allows them to maintain their bleaching at home.
Safety
Available data indicates that extracoronal bleaching treatment in the dental office or at home may cause short-term tooth sensitivity and/or gingival irritation. More severe mucosal damage is possible with high hydrogen peroxide concentrations. While available evidence supports the safety of using bleaching materials of 10% carbamide peroxide (3.5% hydrogen peroxide) by dental professionals, there are concerns with the use of at-home bleaching materials with high hydrogen peroxide concentrations.
Similar to other dental and medical interventions, questions have been raised about the safety of tooth whitening treatments during pregnancy; therefore, clinicians should recommend that patients hold off from tooth whitening during pregnancy. The safety of tooth bleaching for children and adolescents is also a consideration. However, bleaching is a conservative approach compared to restorative options when tooth discoloration causes significant concern. If possible, delaying treatment until after permanent teeth have erupted is recommended, as is use of a custom-fabricated bleaching tray to limit the amount of bleaching gel. Children should receive close professional and parental/guardian supervision to maximize benefits and minimize adverse effects and overuse.
Commentary
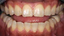
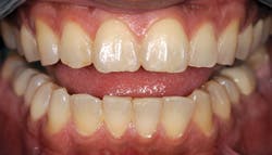
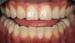
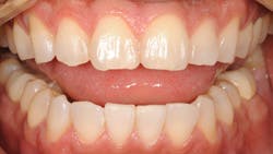
Whatever delivery mechanism is chosen for tooth bleaching, patients must understand the limitations and have reasonable expectations. First, patients must realize that bleaching does not work on inorganic or artificial structures, and therefore they must be prepared to change out existing restorations that appear darker once the organic tooth structure is bleached. It has been universally demonstrated that vital tooth bleaching, no matter the delivery method employed, yields the most dramatic and pleasing results for teeth that suffer from yellow and brown internal staining. Teeth that suffer from blue and gray staining, e.g., tetracycline, do respond to bleaching, but the results are usually far from ideal. Logic dictates that teeth that are more heavily stained will require a more committed bleaching regimen in order to achieve optimal bleaching results.
Second, patients must be aware that persistent use of the elements that caused the original stain will cause a relapse effect over time, and bleaching maintenance may be required to maintain the original bleached appearance. Typically, this type of relapse does not appear significantly for at least a year after bleaching is completed, and maintenance requires the use of OPHB or an OTC product for only a short period of time. If patients allow their teeth to restain without engaging in some type of maintenance, they may have to start the bleaching process over at some point in the future.
It must be noted that whatever the initial appearance of the teeth, bleaching one’s teeth following proper dental instructions and supervision will almost always yield a positive result. However, people cannot “order” their color when bleaching, and they cannot predict what the outcome may be. In other words, “you get what you get.”
Jack Ringer, DDS, practices in Anaheim Hills, Calif. He is an accredited member of the American Academy of Cosmetic Dentistry, a board member of the American Board of Cosmetic Dentistry of the AACD, and a faculty mentor at the Spear Institute. You may reach him at [email protected].
Past DE Issues


