Seeing the light: Innovative intraoral imaging technologies
Cynthia K. Brattesani, DDS
"People don't buy what you do; they buy why you do it. And what you do simply proves what you believe."
- Simon Sinek, leadership expert and author of Start with Why: How Great Leaders Inspire Everyone to Take Action
The quotation on the left describes a central concept of my dental practice. People do not come to my office for what I do; they come for why I do it. Having innovative technologies that help me to explain their conditions and treatment options is integral to that goal. My intraoral cameras, SoproLife and SoproCare from Acteon North America, and my CariVu caries detection device from Dexis build on my patient-centric practice philosophy and create meaningful connections between my patients and me.
For new patient exams, second opinions, hygiene appointments, and emergencies, these intraoral devices have become even more important than my explorer or my mirror. Patients often arrive with many questions regarding their dental health. Most will understand a visual representation much better than a spoken explanation. If they are puzzled, my job is to provide and connect the missing pieces of that puzzle so that it all makes sense. By using these different types of technologies to complement one another, I am giving my patients every opportunity to understand their conditions, to realize why I want to take a specific course of treatment, and to recognize that they have not experienced these types of technologies anywhere else. All of that develops their trust in my commitment to their care and, through patient loyalty and referrals, adds value to my practice.
My consultation/diagnosis process begins with these three amazing technologies. SoproLife is an intraoral camera with high image quality, the capacity to diagnose and treat caries, and the capability for image magnification of 30 to 115 times. Here is the science behind this device: It uses a patented fluorescence technology that absorbs luminous energy and emits it as fluorescent light. The tooth is illuminated by this 450 nm wavelength of light, and the tissues are characterized by autofluorescence, colorizing the tooth in red, green, and blue hues - depending on the type of caries or the type of crack. It has three modes: daylight mode for intraoral imaging, diagnosis mode for detection of caries, and treatment mode for usage during the excavation process. The SoproLife lets me differentiate healthy tissue from infected tissue to help me identify the affected areas to excavate and aid me in removing all diseased tissue, while preserving as much healthy tooth structure as possible.
We use the SoproCare device in our hygiene area during prophylaxis and periodontal treatment. It uses the science of fluorescence with a specific wavelength of light between 440 nm and 680 nm. This device illuminates dental tissue to reveal caries, as well as tartar and plaque. According to the company, it is also the first product on the market to reveal gingival inflammation. Chromatic amplification differentiates the color of the tissue. Because of the easy-to-see color-coding, the hygienist can show the patient the hues of red that indicate gingival inflammation: "Look at your gums and see how red they are; that is due to plaque." Similar to the SoproLife, this device also has three modes: daylight mode for intraoral imaging; perio mode for plaque, tartar, and gingival inflammation imaging; and cario mode for detection of occlusal caries.
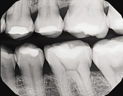
The third device, the CariVu caries detection device, uses a different type of science - near-infrared transillumination technology - to view carious lesions and cracks. Flexible "arms" on the device tip "hug" the tooth, and near-infrared photons are emitted through the arms to travel from the root to the crown of the tooth. Dense enamel reflects the photons, while porous lesions trap and absorb the photons. With the CariVu, healthy tooth appears light, and lesions appear dark. The CariVu is helpful in showing a structural view of the lesion, whether it's interproximal, occlusal, or proximal to restorations or a crack.
CariVu's diagnostic images have a high detection accuracy - an interproximal dentin caries detection rate of 99% with absolutely no ionizing radiation.1 While I take X-rays when they are necessary for a complete and effective diagnosis, CariVu helps when patients are: not due for bitewings, X-ray phobic, or reluctant to take X-rays because of a medical condition, such as radiation therapy. Because the CariVu images appear like radiographs, the patient can see the light areas of the healthy tooth and any dark, questionable, carious areas. They can see, along with me, whether I can wait to take X-rays until the next visit or whether I need to begin preventive or restorative treatment immediately. On these easy-to-read images, I can evaluate whether a carious lesion is starting or if the lesion is still in the "safe zone" (meaning it did not yet reach the dentinoenamel junction). Even if I find a questionable area on an X-ray - especially with possible interproximal decay, which can be difficult to detect, the "second opinion" of a transilluminated image can help me to determine the extent of the caries. For example, during a recent routine examination, the visual exam and radiographs did not reveal caries, but the CariVu found interproximal caries, necessitating restorative treatment.
With a greater understanding, facilitated by these technologies, patients become fully involved and invested in the discussions that determine their dental care. In my practice, I want to be more than a dentist. I want to share awareness, and I strive to inspire health. I love the science behind these technologies. These three devices facilitate communication to help bridge the gap between the dentist and the patient, who now has to determine whether to accept my diagnosis and begin treatment. I explain to patients that, if we find a suspicious area, it doesn't mean that we are going to treat it immediately. Instead, it means that we are going to determine whether we need to monitor it or treat it. They appreciate that. These innovations help me to inspire health with intention. Along with my radiographs and other diagnostic tools, the SoproLife, SoproCare, and CariVu give me and my patients the information that we need to personalize care and to show that what I do truly proves what I believe.
References
1. Kühnisch J. Benefits of the DIAGNOcam Procedure for the Detection and Diagnosis of Caries [study project]. Munich: Ludwig Maximilian University of Munich, 2013.
A graduate of UC San Francisco, Cynthia K. Brattesani, DDS, has served as a women's spokesperson for the American Dental Association. She lectures nationally on technology focused on improving the patient experience. In 2015 she received the University of California, San Francisco 150th Anniversary Alumni Excellence Award. She maintains a private practice in San Francisco. She can be reached at [email protected].






