The Economics of Dental Esthetics
By Robert A. Lowe, DDS, FAGD, FICD, FADI, FACD, FIADE, FASDA
The past
When it became possible to affix tooth-colored restorative materials to enamel in the early 1980s, the face of dentistry changed forever. The "Age of Esthetic Dentistry" was born. No longer did the dentist deal only with dental disease (caries and periodontal). Now, we could offer solutions for esthetic dental problems that were never before possible. Around the same time, tooth whitening, or bleaching, was also discovered to be a conservative way to help esthetically enhance the color of a patient's teeth.
There were early struggles within the profession to accept these esthetic or cosmetic treatments as "real dentistry," but eventually they became a part of most general dental practices. In the 1990s, "esthetic gurus" formed institutes or learning centers to help train dentists in the latest esthetic procedures and convert their general practices to "elective esthetic (cosmetic) dental centers." Soon, most dental practices were promoted as esthetic or cosmetic, losing focus on the general dental services they provided.
Many of these offices flourished for several years until around 2007, when the worldwide economic downturn began to affect many businesses including dentistry. As the discretionary incomes of many disappeared, so did the demand for elective dental services. Many dentists who followed the advice of the gurus, limiting their practices to esthetic services, found their bottom lines suffering and, as a result, reverted back to building their general services, which even during the downturn did not suffer as badly if at all.
The present
Fast forward to 2014. While according to "experts" some economic recovery has occurred in the business of dentistry, it has not been across the board. Many offices have had to scale back fees on elective services to make them more affordable in today's economy. Bread-and-butter general dentistry is still what keeps the profession moving forward. Does this mean that the Age of Esthetic Dentistry is now behind us? Many do not believe so, although the game has surely changed. One possible strategy for the esthetically-oriented general dental practices moving forward is to offer a tiered level of esthetic services at different price levels to allow those patients interested in esthetic dentistry the opportunity to afford these elective services.
The following represent four levels of esthetic services that can provide a beautiful cosmetic result that patients will appreciate:
- Tooth whitening
- Porcelain laminate veneers
- Laboratory-processed composite laminate veneers ("Pearlfect Smile")
- Prefabricated indirect composite veneers
It is important to remember that acceptance of esthetic procedures is very subjective, both to the patient and the dentist. Some in our profession will accept only the highest level of dental artistry, but it is important to remember whom it is we are trying to satisfy. If the patient cannot discern the esthetic difference between "a Chevy" and "a Maserati," does everyone really need a Maserati?
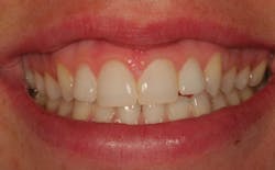
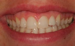
Tooth whitening, whether at-home or chairside as pictured (Zoom! WhiteSpeed: Philips) offers immediate esthetic gratification for a patient whose only complaint is tooth color at a very economical price point.
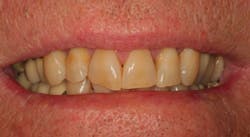
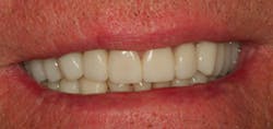
Porcelain laminate veneers have represented the most popular elective esthetic option for patients who desire not only a change in color, but also in the position of their teeth (when orthodontics is not an option for the patient). Porcelain veneers can also transform old, worn teeth back to a very youthful appearance, both for esthetic and functional purposes. This option usually also represents the most costly option for the patient due to the chair time involved and laboratory costs, which for some high-end ceramists can exceed several hundred dollars per tooth. Lithium disilicate (e.max: Ivoclar Vivadent) offers a stronger, sometimes less costly alternative to traditional feldspathic materials. Porcelain veneers require two patient visits to place and are cemented using total-etch and resin cement (in this case, All Bond Universal and Duo Link resin cement: Bisco).
Indirect laboratory-processed composite veneers, or "Pearlfect Smile," is one of dentistry's best-kept secrets. Indirect composite (Premise Indirect: Kerr Corporation), since it is processed in a nitrogen environment under pressure, is 100% converted monomer to polymer chains, as opposed to direct composite, which converts up to only 70% with light curing alone. The result is a stronger, more highly polished restoration than its direct counterpart. Because of a laboratory fee that is sometimes more economical than porcelain, and a delivery time that is often twice as fast as porcelain due to a more intimate fit, the fee for this esthetic alternative can be significantly less than its porcelain counterpart. "Pearlfect Smile" veneers also require two patient visits to complete the procedure, and in this case were cemented using total-etch bonding technique and resin cement (Optibond Solo Plus and NX 3: Kerr Corporation).
Prefabricated composite veneers offer the newest in esthetic options for the patient. The veneers come fabricated in three different sizes (Edelweiss: Ultradent) and are luted into place with nano-microhybrid composite. Since the sizes of the veneers are not exact, the nano-microhybrid composite may make up a portion of the finished surface of the restoration. And, because both the luting medium and veneer are made out of the same material, when light-cured, both surfaces are finished and polished leaving a seamless transition. In this case, teeth Nos. 7 through 10 were treated with Edelweiss Veneers. As far as the economics, these restorations are placed in one patient visit, and the cost of materials is about one-half of the most economical laboratory-processed veneer.
Conclusion
Four different elective esthetic options have been shown that offer patients the ability to "upgrade" their smiles. By setting proper patient expectations, these services and different price points can offer the patient dental esthetic alternatives that economically and esthetically fit their needs.
The author would like to acknowledge the laboratory expertise of Krystyna Jasinski of Jasinski Dental Ceramics in Austin, Texas, for the E.max porcelain veneer case. For the "Pearlfect Smile" indirect laboratory composite veneer case, the author would like to recognize the expertise of Moshe Mizrachi of Mizrachi Dental Laboratory in Reynoldsburg, Ohio.
Robert A. Lowe, DDS, graduated magna cum laude from Loyola University School of Dentistry in 1982. He maintains a private practice in Charlotte, N.C., and publishes and lectures internationally on esthetic and restorative dentistry. He is a diplomate of the American Board of Aesthetic Dentistry. Dr. Lowe can be reached at (704) 450-3321 or at [email protected].
Past DE Issues







