The time and cost benefits of using a comprehensive finishing system
By Alan R. Weinstein, DDS
One of the continuing challenges that restorative dentists face is the finishing of anterior and posterior composite resin restorations. Usually, a series of finishing diamonds and carbide burs must be followed by another arduous series of finishing and polishing cups, points, or discs. A simplified system is ideal to limit the number of steps to achieve a quality result.
In dentistry, we sell time. It is therefore important to consider all the factors that can affect a dentist's ability to be efficient, productive, and profitable. An excellent way to maximize time and expense is to use a comprehensive system for the preparation and finishing of restorations. A system with restorative materials, instruments, or devices integrated together, from one manufacturer, to efficiently and easily produce a beautiful final result is ideal. A system like this makes procedures so much easier for the dentist by eliminating the need to constantly change materials and products, or try to figure out how to use different things from several manufacturers together. How nice to be able to work faster, easier, and better, while saving of time, money, and effort.
It's a given that dentists and their staff can be more productive when they're taking fewer steps. While it doesn't take a lot of time to change burs, cups, wheels, etc., during a procedure, time-motion studies show that obviously the fewer number of instruments used, the better. Oftentimes we find the constant changing to be annoying, adding a bit more stress to an already stressful day. Because so much of my practice involves the use of composite resin, I learned early on that using some type of a comprehensive system made up of the least number of instruments that work together could make all the difference, even if they came from different manufacturers. One manufacturer in particular, however, had a better idea.
A complete system that works
The newest addition to the 3M ESPE Sof-Lex Finishing and Polishing System is the Sof-Lex Spiral Finishing and Polishing Wheel. These unique, abrasive impregnated flexible wheels have "fingers" that adapt to irregular, convex, or concave tooth surfaces, making intra- and extraoral finishing and polishing easier. They are used with standard steel mandrels. This unique, two-step system uses aluminum oxide impregnated thermoplastic elastomer spirals, which are suitable for direct or indirect use. The Sof-Lex spiral wheels have abrasive particles embedded throughout, so all surfaces of the spiral wheel can be used: side, top, bottom, and edge. As a result, the spiral wheels are effective from any angle, making them easier to work intraorally, especially on posterior teeth, with fewer instrument changes. I especially like to use the wheels on large, multiple anterior bonded restorations, or Lava Ultimate CEREC posterior onlays. The beige wheel finishes, then the white wheel polishes the restorative material to a high luster with only light pressure necessary. After the preliminary use of diamond and finishing carbide burs, I can usually go directly to the spirals with little need to progress through an additional series of finishing cups, points, or discs.
This smart, well-designed system is versatile and comprehensive in terms of the materials it can be used with, which include composite resins, resin-modified glass ionomers, bis-acrylic temporary materials, and precious or semiprecious metals. The Sof-Lex spiral wheels are especially effective on the newer nanohybrid materials and indirect nanoengineered ceramic/composites. These wheels complement our existing finishing techniques by providing an even easier, simpler, and faster system.
Everyone wins
The functional and esthetic corrections that we as dentists do every day can change people's lives in a positive way. We have to keep our family of patients happy, provide a high level of care, and yet, with the difficult economy, oftentimes offer patients a conservative alternative to a more costly treatment. Multiple-choice restorative options can be presented to the patient with the ideal treatment to be done in the future. Direct bonding may be provided, rather than crowns for instance. If we must provide a conservative alternative to a patient, the esthetics and longevity of the restoration, as well as the overall well-being of the patient, are still our biggest concerns. Any savings in time and energy for us, which a simplified finishing/polishing system can provide, is beneficial. By using simplified treatment procedures, we can enhance our patients' lives in a way that is both cost-effective to our patients as well as to ourselves.
The following two cases demonstrate the use of the Sof-Lex Spiral Finishing and Polishing Wheels.
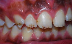
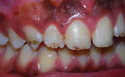
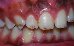
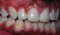
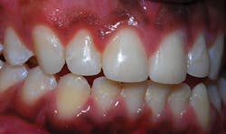
Case No. 1 Figs. 1-3
Hypoplastic enamel on teeth Nos. 6 through 11. Conservative preparations restored with 3M ESPE Filtek Supreme Ultra on a 15-year-old boy with a history of rickets. Finishing and polishing simplified by using just two medium diamonds followed by two carbide finishing burs. Sof-Lex Spiral Finishing and Polishing Wheels were then used to produce an exceptional esthetic and functional result.
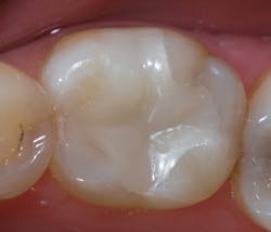
Case No. 2 Figs. 4-7
Tooth No. 30 failing amalgam restoration with caries present. Simple preparation with no undercuts followed by placement of an indirect pulp cap with calcium hydroxide and dual-cured glass ionomer cement. A conservative CEREC CAD/CAM restoration was placed and polished with only the Sof-Lex Spiral Finishing and Polishing Wheels. The result was an exceptional esthetic and functional restoration with far fewer finishing steps than before.
Alan R. Weinstein, DDS, a graduate of the University of North Carolina at Chapel Hill School of Dentistry, has a faculty affiliation with the Cincinnati Children's Hospital Medical Center. He serves as a consultant to dental material manufacturers, writes for dental journals, and lectures internationally on enamel bonding, conservative restorative techniques, and integrative dental medicine. He is a member of the American Dental Association, Academy of Operative Dentistry, Academy of General Dentistry, International Association for Dental Research, and is a fellow in the International College of Dentists. He maintains a private practice in Cincinnati, Ohio, with an emphasis on conservative esthetic and preventive restorative dentistry.







