Simplifying fixed restorations for edentulous patients with the Zest Locator F-Tx system
Dr. Gordon Christensen talks about the advantages and limitations of fixed dental restorations for edentulous patients. He says that many of the short- and long-term challenges present with fixed prostheses can be overcome with the new Zest Locator F-Tx Fixed Attachment System.
Q:
I have had the opportunity to treat a few patients with the All-on-4 concept, and I have had mixed reviews relative to patient acceptance. Some patients really like the overall result, while others have difficulty speaking and cleaning the prosthesis, or they do not like the overall esthetic result. Are there some guidelines for this extensive and expensive treatment that will help me to routinely have success?
A:
My experience with fixed restorations for edentulous patients spans many years. I will share my observations with you, as well as introduce you and our readers to a new advancement that has the possibility to simplify the concept significantly—the Zest Locator F-Tx Fixed Attachment System.
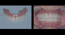
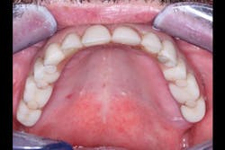
Many years ago, as the root-form implant concept was just beginning, my staff and I treated many patients with the then-popular All-on-6 concept. Six implants were placed anterior to the mental foramen on the mandibular arch and six implants were placed anterior to the sinus on the maxillary arch. The techniques for both implant placement and fabrication of the implant prostheses were in their infancy at that time. However, most of the patients were satisfied with the clinical results. As you know, the current concept usually places four implants per arch with the distal implants placed distal to the sinus and to the mental foramen. Most laboratories make these prostheses with varying types of materials and techniques (figure 1).
What type of edentulous patient wants a fixed prosthesis?
Numerous characteristics typify a patient who desires a fixed restoration instead of a removable one. These include patients who are embarrassed about losing their teeth, those who do not like typical removable prostheses, and those who want assurance that their restoration will stay in place in all situations. I am sure you have had patients say that their spouse has never seen them without their teeth. I hear this self-conscious confession frequently. A fixed restoration would certainly be a solution in these cases. Some patients are just tired of having to take their removable prosthesis in and out several times per day. Denture halitosis is a common complaint, and a fixed prosthesis has the potential to reduce or eliminate that problem.
What are the advantages of fixed restorations for edentulous patients?
The advantages listed below for fixed prostheses for edentulous patients seem self-evident, but they may or may not be achieved for all patients.
- When implants are placed properly, the prosthesis is fabricated with optimum characteristics, including a desirable esthetic result, oral hygiene accessibility, and functional occlusion. Patients feel as if they have their own teeth again!
- Psychological advantages are usually present. Patients usually feel younger, have improved self-esteem, and feel that their missing teeth are not recognizable by anyone.
- With some exceptions, the prostheses can remain in place relatively undisturbed for many months, except for oral hygiene, at which time most dentists elect to remove the prostheses for examination, evaluation of the implants, and thorough cleaning.
What are the limitations of fixed restorations for edentulous patients?
Cost of the prosthesis—Fixed prostheses cost patients a significant sum, often the cost equivalent of a good automobile. Many patients cannot afford such expense. They usually elect to have less expensive removable prostheses placed instead of implants.
Esthetic result—As with any fixed restoration, the apical anatomy adjacent to the gingiva must be contoured in such a manner that oral hygiene can be easily accomplished by the patient. This challenge results in removal of some of the facial and lingual gingival-colored prosthesis base, as well as some facial and lingual contour (figure 2). In some patients, this removal can be done without compromising the patient’s facial contour. However, the anatomy of the maxillary or mandibular ridges often requires significant removal of the facial denture base to allow adequate oral hygiene, resulting in lack of optimum facial contour and fullness.
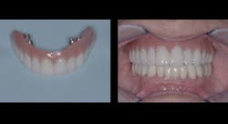
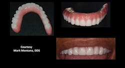
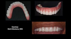
Oral hygiene—If the gingival aspect of the restoration is contoured adequately, access with oral hygiene devices and adequate oral hygiene is possible. However, obtaining this access can be difficult. Additionally, some patients do not have the manual dexterity to clean their restoration while it is in their mouth (figure 3). Removable prostheses can usually be cleaned easily because they are out of the mouth and in the patient’s hand with optimum access and visibility (figure 4).
Removal of the prostheses
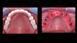
Assuming the restoration is screw-retained, removal and cleaning or repairing it is a time-consuming process, often requiring up to 30 minutes of careful clinical time (figure 5). Significant time is also required to reattach the prosthesis when it is cleaned or repaired. This time expenditure is expensive for the patient, since most dentists prefer to remove these fixed prostheses about once per year. Another challenge when removing fixed prostheses is the inadvertent removal of some of the restoration material around the screw holes, stripping of the implant screws, or breaking the restoration. Wear of the resin teeth usually leaves some composite resin filling in the screw access holes extending beyond the worn denture teeth, which requires frequent occlusal equilibration (figure 6).
I suggest that the advantages and limitations of fixed versus removable prostheses be carefully explained to patients before they accept a treatment plan.
After years of working with screwed-on prostheses for edentulous patients, I can conclude the following:
- The techniques to fabricate and seat the prostheses are not a significant challenge with adequate laboratory and clinical experience, assuming the implants have been placed properly.
- Adjusting occlusion is not dissimilar to adjusting occlusion for the natural dentition.
- Developing adequate tooth esthetics is acceptable.
- Developing adequate fullness of lips and optimum facial esthetics can be challenging, since adequate oral hygiene requires removal of a significant portion of the restoration bulk.
- Periodic removal and replacement of a screw-retained edentulous prosthesis is an objectionable, unpredictable, time-consuming procedure.
A new concept follows that has been developed by Zest to eliminate the challenges related to removal and replacement of fixed prostheses for edentulous patients.
The Locator F-TX Fixed Attachment System
Most dentists have used and know well the Zest Locator R-Tx System for retention of removable partial and complete overdentures. The acceptance of this system is well proven, and Zest leads the market for this type of attachment.
Knowing the challenges previously described in this article and working with clinicians and scientists, Zest has developed a fixed attachment system that eliminates the need for screw holes passing through the prosthesis and attaching the prosthesis to the implants.
Visualize a high retention Locator-like attachment that is not removable by the patient, but can be removed by a dental professional (figure 7).
The Zest Locator F-Tx System has these characteristics:
- It does not require screws through the denture.
- There are no channels to fill.
- There is no torque wrench.
- The abutments can compensate for up to 20 degrees of implant nonparallelism.
- There is no need for cement.
- Assuming a properly made restoration and optimal occlusion, the retention of the Locator F-Tx components holds the restoration firmly in place until removed by the dentist or staff.
- The restoration feels stress free to the patient when proper in-the-mouth abutment “pick-up” has been accomplished, or the retainers have been placed in the denture at the time of its fabrication by a qualified laboratory and verified for passive fitting prior to final seating (figure 8).
- The restoration can be removed by placing small prosthesis boosters under the pontic areas in the same quadrant, inflating the system with hydraulic pressure until it releases from the abutments, and then repeating the procedure on the opposite side (figure 9), or a mechanical lever arm device can be used to remove the prosthesis.
Summary
Many of the clinical short- and long-term challenges present with commonly accomplished fixed prostheses for edentulous patients can be overcome with the new Zest Locator F-Tx Fixed Attachment System.
Gordon J. Christensen, DDS, MSD, PhD, is a practicing prosthodontist in Provo, Utah. He is the founder and CEO of Practical Clinical Courses, an international continuing-education organization initiated in 1981 for dental professionals. Dr. Christensen is cofounder (with his wife, Dr. Rella Christensen) and CEO of Clinicians Report (formerly Clinical Research Associates).
About the Author

Gordon J. Christensen, DDS, PhD, MSD
Gordon J. Christensen, DDS, PhD, MSD, is founder and CEO of Practical Clinical Courses and cofounder of Clinicians Report. His wife, Rella Christensen, PhD, is the cofounder. PCC is an international dental continuing education organization founded in 1981. Dr. Christensen is a practicing prosthodontist in Provo, Utah.









