Making cementation and all-ceramic material selections to influence crown imperceptibility among tetracycline-stained teeth
The numerous challenges associated with treating tetracycline-stained teeth using full-coverage crowns can be exacerbated when the restorations (1) demonstrate a low value, (2) cannot be appropriately color-matched to adjacent teeth, and (3) are affected by cement shades. Although a variety of esthetic adhesive cements are available, dentists may find the selection process difficult based on case requirements, restorative material, preparation design, and necessary bond strengths. Likewise, ceramists can be frustrated by the material options available, as some all-ceramic materials lose value as a result of the multiple firings required for imparting natural-looking stain and characterization effects.
Fortunately, materials are available that can resolve these challenges when treating patients with severely tetracycline-stained teeth. For dentists, a universal dual-cure adhesive resin cement can be used that remains color stable, demonstrates toothlike fluorescence, and is available with corresponding try-in pastes. Ceramists, on the other hand, can fabricate restorations for tetracycline-stained teeth using a high-strength, pressable lithium disilicate material for durable physical characteristics and stable optical properties.
Case presentation
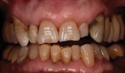
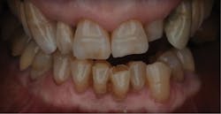
A female patient presented with severe tetracycline-stained and malaligned teeth. Tooth No. 11 was lingually positioned, and significant decay was present on tooth No. 6 that wrapped around from the mesial to the lingual (figure 1). Following a thorough examination, it was decided that tooth No. 6 would be treated with a full-coverage crown restoration fabricated from GC Initial LiSi Press (GC America), a High Density Microzation (HDM) Technology lithium disilicate material.
Preoperative photographs, impressions, and enamel shades were obtained. It was recognized that matching the unique characterizations and colors of the adjacent teeth in the final restoration would be a potential challenge, considering that anterior all-ceramic restorations typically involve a level of translucency.
Figure 1: Preoperative view of the patient’s severely tetracycline-stained teeth
The tooth was prepared and provisionalized (figure 2). The patient returned 72 hours later, at which time the provisional was removed and the stump shade was taken and photographed (figure 3). Waiting 72 hours to allow for rehydration enabled a more accurate shade value to be recorded, as dentin dehydrates during preparation, thereby increasing the stump shade value.1 Additionally, the underlying tooth substrate color is known to influence the final esthetics and color of lithium disilicate restorations.2
Next, a new provisional was placed (figure 4), and the original provisional, along with preoperative records and the stump shade, were sent to the ceramist.
Figure 2: View of the provisional restoration on tooth No. 6
Figure 3: The stump shade was taken 72 hours after preparation for accuracy.
Figure 4: Lateral view of the second provisional restoration
Crown fabrication
Using the records provided, the ceramist first established the ideal color and characterization for the definitive restoration. The stump shade photographs were the basis for combining two buttery-yellow light-cured materials inside the original provisional restoration for analysis. This ultimately dictated a final shade of MT-A1 or MT-B1 for the restoration (figure 5).
Figure 5: On the left are two views of the provisional restoration, while on the right are two views of the final restoration. The provisional was used to aid the final color selection of the ceramic. The final crown mimicked the natural tooth and provisional, with a darker shade at the cervical third to impart warmth.
The restoration was waxed up, and the appropriate lithium disilicate ingot (GC Initial LiSi Press, GC America) was selected. The material was chosen based on its multiple indications, stability, and strength (>500 MPa flexural strength, according to the manufacturer). These characteristics result from HDM Technology, which utilizes equally dispersed lithium disilicate microcrystals to fill the entire glass matrix.
The ingot was pressed and divested. Virtually no reaction layer was created during divesting.
The mesial, distal, lingual, and contact areas remained in their monolithic form, and only a facial cutback was performed. Removing the sprues and contouring, in addition to imparting microanatomical details and surface textures, was facilitated by a smooth grinding surface of the material.
The relatively uncomplicated process of characterizing the crown involved applying internal stains (e.g., Opal Grey for layers, White Powder Stain for calcification spots) with GC Initial Lustre Pastes (GC America) and one bake of Enamel 58, followed by contouring and glazing. Although only one bake was required in this case, a benefit of the high-strength HDM material is its color stability, without distortion or a drop in value even after multiple firings (figure 6).
Figure 6: Example of a conventional anterior lithium disilicate restoration demonstrating a drop in value due to multiple firings
Cementation
In preparation for cementation, the internal surface of the crown was etched with hydrofluoric acid for 20 seconds, rinsed, and aggressively air-dried. After removing the provisional restoration, the preparation was thoroughly cleaned.
Because the final restoration was fabricated to incorporate the underlying stump shade for more lifelike esthetics, a translucent cement (G-Cem LinkForce, GC America) was used that would not interfere with or affect the color or value of the crown, rather than an A2 or opaque cement. The restoration was tried in to confirm fit and esthetics using the corresponding translucent try-in paste, then removed. The paste was rinsed from the restoration with water. The preparation was also rinsed and dried, and meticulous isolation was established.
A total-etch technique was performed on the preparation, which was then rinsed and dried. The intaglio surface of the crown was conditioned using G-Multi Primer (GC America) and dried using an air syringe. A universal adhesive bonding agent, G-Premio Bond (GC America) was applied to the preparation, allowed to sit for 10 seconds, air-dried for five seconds, and then light-cured for 10 seconds.
The translucent shade of cement was extruded directly into the crown (figure 7), after which it was immediately seated onto the preparation while maintaining pressure. The crown and extruded cement along the margins were tack-cured for two seconds to facilitate easier cleanup (i.e., simply peeling off excess), and the crown was light-cured from each surface/margin for 20 seconds.
Figure 7: G-Cem LinkForce universal dual-cure adhesive resin cement was extruded into the crown.
Conclusion
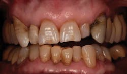
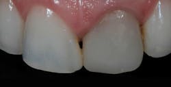
The result in this case (figures 8 and 9) demonstrates the chameleon- and lifelike esthetics that can be achieved when restoring severely tetracycline-stained teeth. The imperceptible quality of this restoration adjacent to natural dentition was predicated on selecting a highly esthetic and durable lithium disilicate material and placing the crown using a color-stable and esthetic universal, dual-cure adhesive resin cement.
Figure 8: The first thing the patient asked after the crown was seated was, “Which tooth is it?” She could not differentiate the crown from her natural teeth.
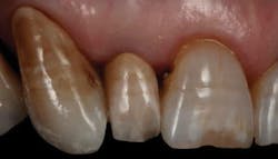
Figure 9: Close-up postoperative view of the completed GC Initial LiSi restoration cemented on tooth No. 6 using G-Cem LinkForce
References
1. Arhun N, Onay EO, Ungor M. Rehydration of a reattached fractured tooth fragment after prolonged dehydration. Gen Dent. 2012;60(3):e173-177.
2. Pires LA, Novais PM, Araújo VD, Pegoraro LF. Effects of the type and thickness of ceramic, substrate, and cement on the optical color of a lithium disilicate ceramic. J Prosthet Dent. 2017;117(1):144-149.
Miles R. Cone, DMD, CDT, is a board-certified prosthodontist practicing in Portland, Maine, and a certified dental technician. In addition to authoring articles in peer-reviewed publications, Dr. Cone is the editor-in-chief of ACP Messenger. He is also a key opinion leader and speaker on behalf of GC America, Amann Girrbach, and Straumann Implants. He may be reached at [email protected].
Lucas Lammott is the owner of M31 Dental Studios in Gloucester, Massachusetts. His technical expertise and knowledge have been featured in numerous publications, including the Journal of Cosmetic Dentistry, Journal of Prosthetic Dentistry, and Journal of Dental Technology. Mr. Lammott is a key opinion leader and speaker on behalf of GC America, Amann Girrbach, and Wagner Rotary. He may be reached via email at [email protected].











