The advent of the primary prefabricated zirconia crown
Carla Cohn, DMD
If you are a general dentist who cares for children, you are the rule rather than the exception. In 2016, the number of dentists in the United States was 196,441.1 Of these, 155,102 were general practitioners and 7,337 were pediatric dentists.1 Given that the majority of children are treated in family practices, it is imperative that general dentists remain current with advancing pediatric dental technology. From preventive modalities to restorative materials, pediatric dentistry has seen significant innovations in recent years. In my opinion, one of the most revolutionary changes is the advent of the primary prefabricated zirconia crown.
Increasingly, parents and children are demanding better esthetic restorations. These demands are described in a study by Peretz and Ram,2 while another study by Zimmerman et al. documents changing parental attitudes toward pediatric restorative materials.3 As these studies and clinical experience have shown, the demand for improved esthetic restorative dentistry for children is here. General dentists have the ability to supply that demand with the latest esthetic materials such as primary prefabricated zirconia crowns. These crowns are made of excellent material, and when combined with proper technique, they give dentists the ability to restore anterior and posterior carious dentition both functionally and esthetically.
Primary prefabricated zirconia crowns are available for all primary teeth: molars, cuspids, and incisors. The following manufacturers supply primary prefabricated zirconia crowns: Cheng Crowns, EZPedo/Sprig, Kinder Krowns, and NuSmile. They are either milled (Cheng Crowns, EZPedo/Sprig, and Kinder Krowns) or injection molded (NuSmile).
Zirconia as full coverage offers many advantages over other materials. Zirconia offers flexural strength that is far greater than that of natural tooth4 while wearing at a similar rate.5 Prefabricated zirconia crowns are autoclavable, allowing for trial and error when choosing and fitting the correct size.
Fracture load studies from Townsend et al. show variances in fracturability between manufacturers.6 The differences were found to be significant, but all required 5–10 times the amount of force to cause fracture of the mean maximum biting force of a 10- to 12-year-old child in the molar area.
Above all, these crowns offer full-coverage advantages, and are by far the most esthetic alternative in full-coverage primary dentition restoration available to date. They make for a reliable and beautiful restorative option for full coverage for our pediatric patients.
Case study
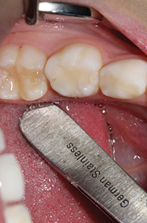
The following case study is presented to illustrate the ease of tooth preparation and crown cementation: A 5-year-old patient presented with caries of her primary dentition. The mandibular left primary molar required full coverage due to a failed composite restoration and extensive decay (figure 1). Both the child and her mother had a desire for a tooth-colored restoration. A primary prefabricated zirconia crown (NuSmile ZR) was chosen as the restorative material of choice.
Figure 1: Mandibular left primary molar
The steps for preparation and cementation were as follows. First, local anesthesia was delivered. Second, isolation was achieved with an isolation system (Isodry). Third, preparation steps were undertaken: Occlusal preparation was completed using a high-speed handpiece with copious amounts of water and a coarse, long-tapered diamond bur (NuSmile) to achieve an occlusal reduction of 1.5–2 mm. Circumferential reduction of approximately 15–20% was carried out using the same bur. In order to visualize the completeness and evenness of the preparation, a full circumferential reduction supragingivally was completed at this stage. A subgingival preparation was again completed using a high-speed handpiece with copious water and a finer, more tapered diamond bur (NuSmile). As required, a full subgingival reduction to approximately 1.5 mm depth was achieved, ensuring no ledges and a smooth featheredge margin (figure 2). It was essential that the crown fit passively and be able to be seated completely unencumbered. In order to ensure fit and occlusion and to prevent contamination of the zirconia crown to be cemented, a Try-In crown (NuSmile) was used (figure 3). Refinements to the preparation to facilitate fit and occlusion were done at this point.
Figure 2: Full subgingival reduction to approximately 1.5 mm depth
Figure 3: Try-In crown (NuSmile)
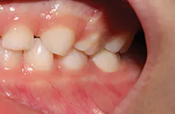
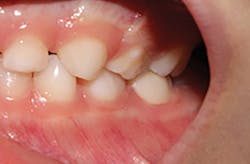
Cementation was then achieved as follows: Once satisfied with fit and occlusion, the prepared tooth was washed and dried but not desiccated. The NuSmile zirconia crown to be cemented was filled with cement (BioCem; NuSmile). Working time was approximately 60 seconds. The crown was set into the correct position. BioCem was photo cured with a tack cure of 10 seconds to the facial and 10 seconds to the palatal aspect. The cement was then cleaned interproximally using floss. Once all cement was removed, a final photo cure of 10 seconds to the facial and palatal was applied. One-month postoperative occlusal view and occlusion are pictured in Figures 4a and 4b.
Figures 4a and 4b: Final restoration
The ability to understand and provide primary prefabricated zirconia crowns to your patients is an immense benefit to the children in your practice as well as their parents. It is a simple and satisfying procedure that will help to grow and maintain your successful family dental practice.
References
1. Supply of dentists. American Dental Association website. http://www.ada.org/en/science-research/health-policy-institute/data-center/supply-of-dentists. Published January 2017. Accessed August 1, 2017.
2. Peretz B, Ram D. Restorative material for children’s teeth: preferences of parents and children. J Dent Child. 2002;69(3):243-248.
3. Zimmerman JA, Feigal RJ, Till MJ, Hodges JS. Parental attitudes on restorative materials as factors influencing current use in pediatric dentistry. Pediatr Dent. 2009;31(1):63-70.
4. Reis RF, Borges PC. Alternative methodology for flexural strength testing in natural teeth. Braz Dent J. 2005;16(1):45-49.
5. Johnson-Harris D, Chiquet B, Flaitz C, Badger G, Frey G. Wear of primary tooth enamel by ceramic materials. Pediatr Dent. 2016;38(7)519-522.
6. Townsend et al. In vitro fracture resistance of three commercially available zirconia crowns for primary molars. Pediatr Dent. 2014;36(5):125-129.
Carla Cohn, DMD, is a general dentist devoted solely to the practice of dentistry for children. She maintains a private practice at Kids Dental in Winnipeg, Canada. She is proud to be a member of Catapult Elite and Pierre Fauchard. Dr. Cohn enjoys lecturing on all aspects of children’s dentistry for the general practitioner both nationally and internationally. She may be reached at [email protected].





