Don't be a first responder: Quadrant dentistry for prevention
Jason Olitsky, DMD, AAACD
We all know that quadrant dentistry, or treating multiple teeth in a quadrant during one visit, is beneficial to both patients and dental offices for a variety of reasons. The patient benefits from fewer dental appointments and less time away from work, while the office benefits from increased production in fewer visits.
Maximizing chair time with fewer patients leads to reduced costs for staffing and office space and enables a higher quality of care. Most dentists would prefer to do more dentistry on one patient than to jump from treatment room to treatment room, managing more patient personalities and more potential risk factors. Although these benefits are widely understood among dental professionals, quadrant dentistry is not as frequently discussed with patients-nor is it presented in a way that encourages patients to schedule treatments.
Presenting a quadrant or a whole mouth of dentistry, as opposed to a single tooth, can cause a practitioner trepidation. The benefits of early treatment and the savings inherent in performing multiple-tooth dentistry are real, but the skills required to present it are different from those used to communicate the need for immediate restoration of a single tooth. A practitioner needs to have confidence that he or she is, indeed, providing the patient with the best care possible when multiple teeth are restored in one sitting.
How do I get patients to schedule for quadrant dentistry?
If multiple restorations are going to the laboratory, let the patient know that the teeth done at the same time will not just fit together better-but they will also be done by the same ceramist, be the same color, and even be made to look like they belong in the same mouth. If they are done at separate times, let the patient know that you will need to make the teeth fit the existing occlusion and contacts, and future treatment will not fit ideally with the new restorations. If we can only repair what is broken or breaking down one at a time, we do not have the opportunity to make the patient's whole mouth better or "smarter" to prevent future problems.
The mouth is a system that must work together; the health of the front teeth and the health of the back teeth are interrelated. If the back teeth are wearing down, getting cavities, cracking, or missing, this may lead to the eventual breakdown of the front teeth. Conversely, if the front teeth are chipping and wearing down, that could be a sign of instability of the back teeth. A dentist cannot simply restore a smile to ideal lengths and shapes without understanding how it will affect the occlusion or functional pathway. If the back teeth are breaking down, cracking, and showing exposed dentin on the occlusal surfaces, there is no occlusal stability in the system, which can lead to accelerated wear and damage to the front teeth.
Seeing a cavity on a radiograph gives us concrete evidence of the need to restore a tooth. This is not emotional treatment planning but identifying a condition that will lead to eventual tooth loss if left untreated. We see a crack in a tooth and wonder if the tooth will eventually break. We see old fillings that look like they are leaking and wonder if there is a cavity, erosion, or attrition. We wonder when these cracks and old fillings will be bad enough to warrant dental intervention. When we turn to concrete evidence and share the potential risks of leaving teeth with signs of pathology untreated, patients will understand the benefits of treatment versus the risks of going without treatment-and we can forget about emotional treatment planning. Through continuing education courses, we can learn to identify evidence that will tell us when to treat teeth, and this will help when explaining the rationale behind early prevention to patients.
Digital single-lens reflex (DSLR) cameras or intraoral cameras can capture images that speak volumes to patients who are simply unaware of aging restorations or deleterious tooth conditions in the mouth. All new patients should have intraoral and extraoral pictures taken and shared with them to help educate them about the current conditions of their mouths.
On every patient, the smile should be looked at as a risk factor and as an important starting point for treatment planning. Understanding the ideal parameters of facial and dentolabial esthetics and how these relate to treatment planning will help communicate the need for multiple-tooth treatment, as opposed to single-tooth treatments. Patient intake forms can also help to open communication with patients who have made the office aware that prevention is important to them.
A new level of efficiency and esthetics for multiple-tooth restorations
Using materials that facilitate quadrant dentistry can streamline the restorative process. Newer categories of bulk-fill products, such as Tetric EvoCeram Bulk Fill and Tetric EvoFlow Bulk Fill (Ivoclar Vivadent Inc.) allow for more efficient dentistry. Fillings and core buildups can be placed efficiently with one dental adhesive and one composite restorative. Posterior and anterior indirect restorations can be both predictably esthetic and strong when fabricated with pressed lithium disilicate, such as IPS e.max (Ivoclar Vivadent). Practitioners can feel confident that the restorations will meet patients' expectations for esthetics and function (figures 1-5). Materials such as Variolink Esthetic and Adhese Universal enable predictable bonding, so preparations can be more conservative when there is enough enamel to support bonding over cohesive retention.
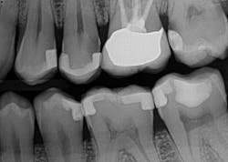
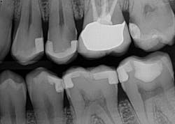
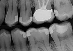
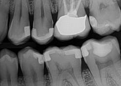
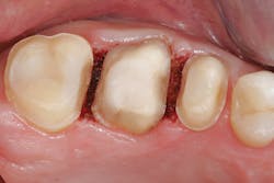
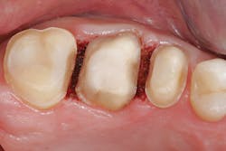
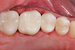
Figure 1: A patient presented for a new-patient examination. During the appointment, radiographic decay was noted on Nos. 12, 13, and 15. Treatment plan options were given to the patient. The patient elected to have Nos. 13 and 15 crowned and to have No. 12 restored with a new composite filling.
Figure 2: Intraoral images were shown to the patient, and it was explained that the existing crown on No. 14 (done several years ago) would not esthetically match the newly restored teeth. Also, the anatomical contours of the new porcelain restorations would be less ideal, due to the anatomy of the existing crown. Doing all three porcelain restorations at the same time would allow the contacts to be made more ideal and the crowns made to look similar. The patient elected to have all of the restorations in the quadrant completed during the same visit.
Figure 3: When the patient returned, e.max crowns were bonded with Variolink Esthetic Dual Cure (Ivoclar Vivadent), and the Picasso Lite laser (AMD Lasers) was used to achieve ideal isolation. The buildups and fillings were done with the same materials, Tetric EvoCeram Bulk Fill and Tetric EvoFlow Bulk Fill, allowing for more efficient quadrant dentistry. The same adhesive, Adhese Universal, was used for the fillings, buildups, and bonding of the restorations.
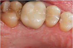
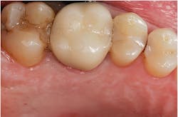
Figure 4: Immediately after bonding, the postoperative results were ideal contact areas and improved esthetics.
Figure 5: The radiographic results of the fillings, buildups, and bonded e.max restorations feature highly radiopaque bonding materials.
Using the right products can make restoring multiple teeth more efficient, conservative, and esthetic. Being properly educated about restorative options and treatment rationales can help us communicate with patients about how treating multiple teeth at once enables us to provide better care. As opposed to being the first responders to the crash, quadrant dentistry allows us to be doctors who improve the conditions in the mouth to prevent future accidents.
Jason Olitsky, DMD, AAACD, a 2001 graduate of the Temple University School of Dentistry, is past president of the Florida Academy of Cosmetic Dentistry. He is the director of aesthetics for Clinical Mastery Series, and he teaches portrait and clinical photography and over-the-shoulder anterior aesthetics courses for the Clinical Mastery Series. He also maintains a private practice in Ponte Vedra Beach, Florida.





