Today’s dental practice: Evolving with the latest digital imaging technologies
Bob Dokhanchi, DDS
I believe that dentists who delay purchasing and incorporating technology in their practices do so mainly for two reasons: the cost and the learning curve.
The true cost of technology can be a confusing subject. Conversations that go into how much money a piece of technology is going to save you or make for you are not helpful. First and foremost, the right technology utilized in an ethical manner serves to make you a better dentist. That, in conjunction with high-quality dentistry and great front-desk customer service, should translate into financial gains.
With every new technology there will be some apprehension regarding the learning curve. However, with the educational resources that are available when you purchase the system (on-site and off-site training, webinars, videos, and customer support), that learning curve can be overcome easily. There are books and continuing education courses that can help as well. Both my in-house periodontist, John Micaletti, DDS, MS, and the endodontist whom I refer to, Aneel Belani, DDS, were very supportive in helping me advance my understanding and comfort level with the new technology I purchased for my practice.
Figure 1: Dr. Dokhanchi’s new waiting room
Today, transitioning to a paperless office—or starting without paper in the first place—is a given. Updating the technology you use to diagnose and treat your patients should be just as obvious.
When I purchased my practice in 2001 from a longtime dentist in Aurora, Illinois, computers were not part of the sale, because the practice was not computerized. So, my number one priority was to add hardware and practice management software. At the time, I had been working for several years in the same office, which had grown significantly. The office had 17 employees for two doctors. Everything was still being entered by hand into ledgers.
What I envisioned for my practice was greater efficiency. I believed that computers would enable better access to information, which would help me create better treatment plans, facilitate billing and collections, and eventually generate practice reminders for my patients. Once ownership of the practice transitioned to me, my team and I were able to implement these changes gradually without having to lay off anyone. As employees moved on, we simply didn’t replace them. Computers enabled us to phase out those vacant positions and streamline our office processes.
Figure 2: The CS 8100 3D imaging system
In 2016, I relocated my practice to a brand-new office space (figure 1). One of the things I wanted to eliminate from the workflow in my new location was traditional impressions and impression material. I really liked the idea of a digital model, which could eliminate the need to physically pour a plaster model. Digital was increasingly viewed as more accurate than traditional impression methods.
I began to research intraoral scanners with the following criteria in mind: the software could not be proprietary, and the system had to be open. I was discouraged by the cost of the scanners that I initially looked at, but I kept researching. Once I had narrowed my final choices to two, I scheduled a crown after closing hours and invited both companies to bring their intraoral scanners in for trial testing. I prepped the tooth and acquired images with both scanners. As I expected, both digital impressions were excellent and nearly identical. In addition, both scanners were very easy to use. Ultimately, I chose the CS 3600 intraoral scanner (Carestream Dental), because the initial cost of ownership was low, and it was on par with the top scanners in the market.
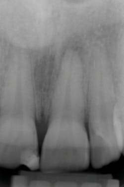
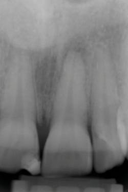
Figure 3: Apical lesion on tooth No. 9 looks suspicious on 2-D radiograph, but could not be diagnosed definitively
For some dentists, though, price is a barrier to adding an intraoral scanner to their workflow. But consider this perspective: The reduced overhead from the elimination of impression trays and impression material—in addition to lower lab costs per unit—is more than the monthly payments for the scanner, which effectively creates a positive cash flow.
Dentists also can opt to purchase a milling machine and fabricate all restorations in-house. However, I use a digital lab; I want a technician who has more experience than either my staff or I have with the design and fabrication of restorations. In my opinion, the cost difference of the mill, materials, and in-house resources may actually favor the use of a lab.
While the convenience of one-appointment crowns is attractive, realistically, the patient must set aside two to three hours for waiting around in the office for proper fabrication of the crown. Purchasing a scanner that utilizes open-source files—STL or PLY—and software, I believe, is the key to keeping all options open for years to come.
A longtime patient of mine is a perfect example of why this technology is the way of the future. This patient is in her fifties and has had numerous crowns done at our office. Every time, though, the prospect of taking an impression made her very nervous. She could not bite correctly with impression material and a triple tray in her mouth, which would require us to take multiple impressions. We even tried separate bite registration and wax to record her occlusion, but it was never perfect. This most recent time, however, was different. We captured her bite without anything in her mouth—which was easy for her—and then scanned the bite in less than five seconds. She was both happy and impressed.
Another case is the story of a patient who had fractured a tooth and was leaving town in five days for a month-long trip overseas. Because the initial transfer of the case to the lab is almost instantaneous, we were able to deliver a crown to the patient in three days and check it again before he left on his trip.
Figures 4–8: Apical lesion on tooth No. 9 is confirmed on all 3-D views
It’s important to remember that this technology doesn’t change the procedure; it just changes the materials you use to complete the procedure. You still need to have proper moisture control, visible margins, and a quality prep. Tissue management is as important as before. Packing cord and other retraction methods are essential. Just because you incorporate a new technology doesn’t mean you forget the principles of the procedure.
When my traditional panoramic imaging system broke down, I started researching again. Based on my positive experience with the intraoral scanner, I was open to considering a Carestream Dental system. I was looking for high-image quality and a small footprint, so I chose the CS 8100, which even gave me the option of upgrading to 3-D without a financial penalty at a later date.
There were several reasons that motivated me to upgrade to 3-D imaging when I did. First, CBCT imaging is becoming a necessity for endodontics, due to the revised position that the American As–sociation of Endodontists and the American Academy of Oral and Maxillofacial Radiology took in 2015.1 In my practice, I increasingly use CBCT imaging to aid in diagnosis and treatment. Instead of referring patients out for imaging, I can now acquire the images I need in-house without delay. Another reason for adding 3-D imaging was that I had just added a periodontist to my practice, and he places implants. CBCT imaging is a must for implant placement.2
When I transitioned from the CS 8100 to the CS 8100 3D (figure 2), I opted to host a one-day on-site training session, which proved quite useful in helping my staff and me to become comfortable and proficient with the system.
I examined a patient who had experienced trauma to his two front teeth approximately five years prior and was now experiencing occasional pain. From an x-ray, the problem could not be diagnosed as definitive (figure 3). However, as soon as I took the 3-D image, I could see an abscess, which required a root canal (figures 4–8).
Using the latest techniques and technology should be a priority for every dentist. Doing so improves our diagnostic capabilities and enhances our ability to help patients. It’s a priority for the medical community, and it’s an opportune time for the dental profession to catch up in our diagnostic techniques as well.
References
1. Cone Beam Computed Tomography. American Association of Endodontists website. https://www.aae.org/specialty/clinical-resources/cone-beam-computed-tomography/.
2. Benavides E, Rios HF, Ganz SD, et al. Use of cone beam computed tomography in implant dentistry: the International Congress of Oral Implantologists consensus report. Implant Dent. 2012;21(2):78-86. doi: 10.1097/ID.0b013e31824885b5.
Why should a dentist add an intraoral scanner to the workflow?
Dr. Dokhanchi has eight reasons:
- It’s easier on patients who have a severe gag reflex.
- It eliminates the problem of taking a correct bite at the time of the impression for those patients who have a hard time occluding on demand.
- It frees up storage space, because digital models are stored on a hard drive.
- It reduces the turnaround time for restorations, which can be delivered in three to four days if needed.
- It limits lab error when it comes to pouring models and delivery.
- Impression retakes are as easy as “cutting out” the imperfect area of the scan and rescanning just that one area.
- It facilitates communications with the lab.
- It enhances patient education and boosts case acceptance.









