Impressions and provisionals: A simplified method for crown and bridge
Ian Shuman, DDS, AFAAID, MAGD
To meet the day-to-day requirements of dental practices, a variety of techniques for making impressions and provisionals have been developed. An even greater number of materials have been developed to perform these techiques. The functions of these materials are highly specific and dependent on strength, durability, ability to capture detail, and other properties.
Provisionalization
Provisional crowns can be made chairside or by a laboratory. Laboratory-fabricated temporary crowns and bridges still require chairside relining, margin refinement, and occlusal adjustment. To maximize accuracy and properly manage operatory time, an impression of the quadrant should be obtained immediately following local anesthesia and prior to preparation. This preformed impression of the site simplifies provisional fabrication. This is a far more accurate and efficient method than acrylic “block-temps”—or preformed acrylic shells and stainless steel crowns. Acrylic has a longer setting time, high shrinkage rate, poor taste, and foul odor. Alternatively, cold-cure composite temporary materials create highly detailed, esthetically gorgeous provisionals extremely quickly and easily.
Regarding impression material as a form to create provisionals, it should offer enough rigidity to allow the formation of an accurate provisional, yet be flexible enough to allow the set material to be removed easily from this preliminary impression. Ideally, this is accomplished using a rapid-setting, medium-bodied vinyl polysiloxane (VPS) impression material. Upon completion of the case and following a final impression, a composite-based provisional material is used. It should also offer a rapid-set, elastic phase that allows for easy removal from the prepared site (and the medium-body impression) and adding of additional material as required. It should impart a high, natural gloss in a variety of shades without the need for polishing and only require removal of the air-inhibition layer, as in all composites. It should be durable and provide for fracture resistance and a high compressive strength to allow proper occlusal function.
Final impression requirements
Following the preparation of the tooth or teeth, a final impression is made. This can be accomplished digitally via a scanner or, like the majority of practitioners, using VPS impression material. Whether the VPS will be directly poured up and modeled or solely scanned, this final impression must be absolutely accurate. A precise impression is the primary source of information for detailed reproduction of the intraoral structures and a means of communication between the dentist and dental technician. Any imprecisions in an impression will transfer to the models and often go unnoticed until the final prosthesis is being seated.
Precise dental restorations require a material with properties that support optimal impression-taking from the outset to the pouring stage. To maximize this precision, a highly hydrophilic VPS should be used. This feature allows for excellent wetting of the prepared tooth and surrounding intraoral structures.
To make the actual impression-taking process highly efficient, the materials should have variable extraoral working times and short intraoral setting times. Also, an accurate impression must demonstrate high toughness to ensure safe removal from the patient’s mouth. However, during intraoral removal, all impression materials will stretch to varying degrees over the widest portion of the teeth, changing their dimensions and potentially losing precision. This becomes a moot issue provided the material demonstrates excellent elastic recovery after removal. This guarantees accuracy of the oral structures.1 In the laboratory, a set VPS with a high level of hydrophilicity—and thus precision—is maintained until pouring and/or scanning.
Final impression techniques
There are numerous final impression techniques that can be used depending on the clinical situation. However, for the majority of crown-and-bridge final impressions, either a one- or two-step impression technique is used. Ideally, a family of impression materials with different viscosities and setting times would provide the greatest number of choices, all depending on clinical needs.
Clinical case No. 1: Anterior crowns
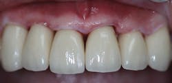
A 32-year-old male presented with having recent dental treatment abroad. Six maxillary anterior teeth had been individually crowned (figure 1).The patient’s chief complaint was severe pain in this area. He was unable to consume hot or cold food and drinks and could not use the teeth for incising. A radiographic exam revealed grossly overcontoured crowns, poorly fitting margins, and partially remaining cement (figure 2). The occlusion was evaluated and ruled out as the cause of pain. It was suspected after identifying the periapical radiolucency at the apex of the upper left lateral incisor that the pulps of some or all of the crowned teeth were affected.
Figure 1: Patient presentation with six maxillary anterior teeth individually crowned
Following several days of antibiotics, the treatment site was anesthetized. A preliminary impression of the arches was made using a monophase VPS impression material (V-Posil Mono Fast, Voco). This material was selected because it demonstrates a highly hydrophilic A-silicone for precision and high dimensional accuracy. In addition to a long working time, it has a short intraoral setting time due to intraoral temperature. With an elevated recovery after deformation, the prosthetic provisional restoration can be exact. Allowing for maximum time management, the monophase sets in two minutes under intraoral conditions.
Figure 2: Radiograph revealing overcontoured crowns, poorly fitting margins, and partially remaining cement
Once local anesthesia was achieved, the crowns were removed. Pulp exposures were noted in all teeth, necessitating root canal therapy (figure 3). Once the six teeth had received root canal therapy, the access openings were restored with a flowable, dual-curing, nano-hybrid core build-up material (Grandio Core Dual Cure, Voco). The teeth were prepared to correct margins while respecting surrounding periodontal structures. In order to allow the inflamed soft tissue to heal, a provisional “one-unit” bridge was fabricated and allowed to remain for six weeks (figure 4). A cold-cure composite provisional material was used (Structur 3, Voco), providing an elastic phase and allowing easy removal from the prepared teeth. The high gloss offered an ideal margin for the healing of inflammatory soft tissue, and elevated compressive strength and fracture resistance meant the patient could function in the provisional for longer periods of time.
Figure 3: Pulp exposures noted in all teeth
Once it was determined that the gingiva and soft tissue were healthy, a system of VPS impression materials was used to capture a final impression of the prepared teeth. A cordless impression technique was employed to accurately capture fine detail. In this technique, known as a hydraulic hydrophobic impression,2,3 a base VPS impression material was used (V-Posil Putty Fast, Voco) in order to capture the preliminary phase of the two-step impression (figure 5). Once completely set, the impression was removed, rinsed, and dried, and a light-body VPS impression material (V-Posil Light Fast, Voco) was injected into the entire intaglio of the base VPS (figure 6).
Figure 4: Provisional “one-unit” bridge
Figure 5: Phase one of impression
Figure 6: Injection of light-body VPS impression material
These precision VPS materials function as regular-set in terms of maximum working time and as fast-set in regard to intraoral setting time of greater than two minutes. This allows for maximum flexibility and simplicity within the V-Posil VPS impression family. The provisional was then recemented and the patient dismissed.
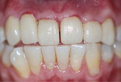
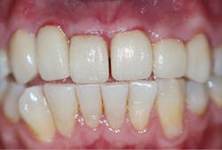
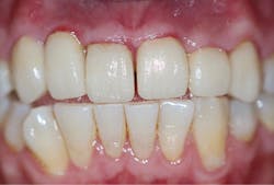
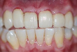
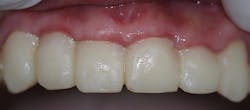
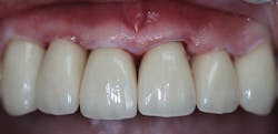
Upon his return three weeks later, the provisional was removed and the definitive laboratory-fabricated crowns were tried-in (figure 7). With excellent margins, this impression material speaks to the accuracy of capturing preparation detail, eliminating this potential concern and allowing the practitioner peace of mind.
Figure 7: Final crown try-in
Clinical case No. 2: Posterior crown
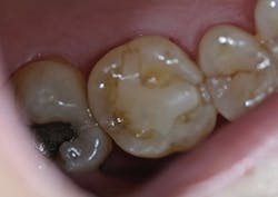
A 56-year-old male presented with pain on chewing. It was determined that several fractures had developed in the upper-left first molar, which was confirmed by bite-stick test (figure 8). A radiographic exam was within normal limits.
Figure 8: Patient presentation
Upon achieving local anesthesia, an impression was made for provisional crown fabrication using a triple tray and monophase VPS impression material (V-Posil Mono Fast , Voco; figure 9). The tooth was then prepared for a crown using a flowable, dual-curing, nano-hybrid core build-up material (Grandio Core Dual Cure, Voco; figure 10).
Figure 9: Impression for provisional crown fabrication
Figure 10: Tooth preparation
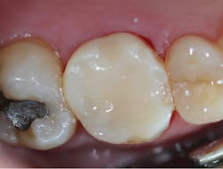
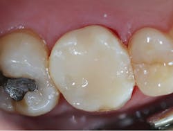
A final impression was made using a base VPS impression material (V-Posil Putty Fast, Voco; figure 11) followed by a light-body VPS impression material wash (V-Posil Light Fast, Voco; figure 12). A provisional crown was made using a cold-cure composite provisional material (Structur 3, Voco; figures 13 and 14) andcemented. The patient was dismissed. Upon return three weeks later, the provisional was removed and the definitive laboratory-fabricated zirconia crown was delivered.
Figure 11: Final impression
Figure 12: Light-body VPS impression material wash
Figure 13: Making of provisional crown
Figure 14: Provisional crown
Conclusion
The purpose of an impression material is to accurately reproduce the patient’s intraoral structures. Vinyl polysiloxanes (i.e., addition-cured silicones), a staple of most dental practices, are often used to capture these structures. By selecting the correct VPS materials, an immense amount of time and expense can be saved based on time, accuracy, and the final product.
References
1. V-Posil precision impression material, A-silicone based. Voco website. http://www.voco.com/in/product/V-Posil-Heavy-Soft-Fast_V-Posil-Putty-Fast/VC-84-002565-GB.pdf. Accessed February 11, 2018.
2. Hoos JC, Kaplowitz GJ. Hydraulic and hydrophobic impressions. Dentistry Today. 1998;17(10):77-79.
3. Caputi S, Varvara G. Dimensional accuracy of resultant casts made by a monophase, one-step and two-step, and a novel two-step putty/light-body impression technique: an in vitro study. J Prosthet Dent. 2008;99(4):274-281.
Ian Shuman, DDS, AFAAID, MAGD, maintains a full-time general, reconstructive, and esthetic dental practice in Pasadena, Maryland. Since 1995, Dr. Shuman has lectured and published on advanced, minimally invasive techniques. He has taught these procedures to thousands of dentists and developed many of the methods. Dr. Shuman has published articles on topics that include adhesive resin dentistry, minimally invasive restorative dentistry, cosmetic dentistry, and implant dentistry. He is a fellow of the Pierre Fauchard Academy.















