Does that tooth really need endo?
Q: I am in a group practice working with dentists of various ages and practice experience. I see a significant difference among dentists relative to when and if they accomplish endodontic treatment. Some dentists do endo on almost all teeth with deep caries excavation, and others do direct and indirect pulp caps routinely. Since both procedures are known to have successes and failures and vary markedly in cost for the patient, can you give me some guidance on when to do each?
A: The dental literature has many articles on pulp capping reporting significant variables related to success and failure, with success reported from high to low at various ages. To review that literature would require a lengthy book with minimal agreement among clinicians. I will provide an overview of pulp capping along with my personal observations and conclusions determined over several decades of practicing as a prosthodontist. If any of my statements need comparison with others, please take the time to search PubMed or Google Scholar and draw your own conclusions. You will find significant disagreement on this subject.
You may also be interested in ... Has pulp capping been replaced by endo treatment?
What is an indirect pulp cap?
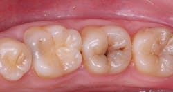
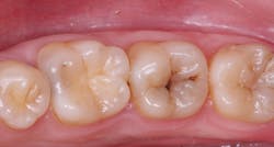
This is a well-known procedure, but it’s often confused with liners or bases. I have observed that almost all restorative dentists provide indirect pulp capping for their patients. The size and location of the dental pulp varies significantly depending on patient age and the extent of previous restorative treatment causing pulp response and reduction in pulp size (figure 1). When excavating caries, the ideal goal is to remove all observable caries without exposing the pulp. Often, the following situations occur in a typical day of practice: removal of the soft caries, dentin is hard to remove with an excavator, stained tooth structure remains, and the operator’s knowledge of dental anatomy and a radiograph indicate that a pulp exposure will occur if excavation is continued. An indirect pulp cap is placed on the deepest portions of the tooth preparation (figure 2).
What is a direct pulp cap?
A direct pulp cap is performed when the pulp is exposed during caries excavation, and it’s bleeding. The various definitions of when and if to do a direct pulp cap are extremely variable. Based on hundreds of direct pulp caps with impressive success, these are my criteria for performing a direct pulp cap (figure 3):
- The exposure is small, 0.5 mm to 1.0 mm in diameter.
- The blood coming from the exposure is normal-looking red blood—not magenta, which might indicate a hyperemic pulp.
- The blood is coming slowly from the exposure, not gushing out.
- You can stop the bleeding by gently placing a cotton pellet on it for a few seconds.
Materials used for pulp capping (the same for indirect or direct)
What materials are used for capping? Almost anything you can imagine has been used and reported in the literature for pulp capping. I have identified over 20 pulp capping categories of materials, most of which have demonstrated some success.
Calcium hydroxide has been the gold standard in the past and is still used by some dentists. The product Dycal (Dentsply Caulk) was used for decades. It is well known to cause development of new dentin internally within the pulp, often called a “dentin bridge” over the exposure, but its dissolution has been a challenge.
Resin-modified glass ionomers, such as Vitrebond Plus (3M) or Fuji Lining Cement (GC America), became very popular and were successful for several years. They are still used somewhat despite controversy among some companies.
In recent years, calcium silicate or tricalcium silicate, such as TheraCal (Bisco) or Biodentine (Septodont), continue to be used by many.
Currently, the popular pulp capping category of materials is MTA (mineral trioxide aggregate), a material like concrete in your driveway, but modified significantly. Two popular products are Endo-Eze MTAFlow (Ultradent) and NeoMTA 2 (Avalon Biomed). Although this material was introduced as gray in color, various components have been removed and it is now available in white as well.
You may also be interested in ... How to make operative dentistry enjoyable, predictable, and productive
As these pulp-capping materials have come and gone, it is obvious there is no sure-cure material for this procedure. You can find articles in the dental literature concluding success of pulp capping from 20% to 82% ranging over numerous periods of observation. My own success has been at least 75% over many years using most of the materials mentioned above. In my informed consent to patients, I tell them my percentage of success, and most want to try pulp capping instead of endo treatment.
The undefinable word “bioactivity” is now in ads for most pulp capping agents and restorative materials, but the reality is that this attribute is highly questionable for most of them. Research is still underway to find an ideal pulp-capping material.
Why should you do pulp capping instead of endodontic treatment?
- Pulp capping conserves tooth structure.
- The pulp remains vital in most cases.
- Subsequent restorations have been shown in many research publications to serve longer than restorations in similar clinical situations involving endodontically treated teeth.
- Patient cost is minimal compared to endodontic treatment.
- As patient immune response lowers with age, some endo treatment begins to fail.
- When a pulp cap succeeds for a few years, the pulp subsequently continues to be vital.
- Most patients prefer pulp capping when offered the choice between pulp capping or endodontic treatment.
Why should you do endodontic treatment instead of pulp capping?
- Endodontic treatment has less chance of failure than pulp capping.
- There is more proven agreement among clinicians on how to accomplish adequate successful endodontic treatment.
- There is less guesswork with endodontic treatment than pulp capping.
- If endo treatment fails, the tooth can be re-treated with moderate success.
- The coronal buildup on a severely broken-down tooth has more retention with a post and core than a pulp cap with minimal tooth structure remaining.
Are you confused now?
These are my experiences and opinions on both sides of the question, is endo necessary? You have my considered judgment on the controversial issues related to both procedures. I have omitted the opinions of others and the contradictory, often-confounded research projects involving many variables.
Each case requires observation of numerous factors, such as financial resources, health and age of patient, amount of tooth remaining, occlusion, and patient opinion and desire. As with many oral procedures, both the patient and doctor must agree with the final decision after presentation of all aspects of informed consent.
Summary
Both pulp capping and endodontic treatment are essential dental procedures. The decision on which procedure to perform is often difficult and dependent on many factors. While this subject is controversial, these are my conclusions gained from decades of clinical practice.
Editor's note: This article appeared in the August 2023 print edition of Dental Economics magazine. Dentists in North America are eligible for a complimentary print subscription. Sign up here.
Author’s note: The following educational materials from Practical Clinical Courses offer further resources on this topic:
Three-hour virtual course:
- Removable Prosthodontics—Predictable and Enjoyable (Item #V2553)
Two-day hands-on courses in Utah:
- Restorative / Esthetic / Preventive Dentistry with Dr. Gordon Christensen
- Making Endodontics Fun, Predictable, and Profitable with Dr. John West
- Simplifying Complex Treatment with Dr. Gordon Christensen
For more information, visit pccdental.com or call Practical Clinical Courses at (800) 223-6569.
About the Author

Gordon J. Christensen, DDS, PhD, MSD
Gordon J. Christensen, DDS, PhD, MSD, is founder and CEO of Practical Clinical Courses and cofounder of Clinicians Report. His wife, Rella Christensen, PhD, is the cofounder. PCC is an international dental continuing education organization founded in 1981. Dr. Christensen is a practicing prosthodontist in Provo, Utah.



