Feeling burned out? Try these career rejuvenation ideas
Q: I have been practicing general dentistry for 21 years, and I have enjoyed it until recently. I don’t understand why my enthusiasm has decreased. In past years, I looked forward to Monday morning and wasn’t looking for some time off. However, now it seems to be a challenge to start a new week of practice. Is this normal? What can I do to reduce this negative feeling and get my optimism and positive attitude back?
A: Members of every profession have times when they need a change in what they’re doing. A significant number of dentists have reported similar feelings to me, and many of those struggling appear to be about 20 years along in their career. After that many years, dentists have established a practice mode, developed financial stability, usually stabilized their schedule, and life can start to be too routine.
The ADA Center for Professional Success has stated that most dentists typically work 35–50 hours a week, and 75% of dentists report moderate to severe stress from working with many different patient personalities.1
You may also be interested in ... Is it time to revitalize your practice?
Most dentists have a heavy workload and must constantly work on a tight schedule. Every clinical day they deal with patient apprehension and pain. Combine these thoughts and statistics together, and you soon see why burnout can occur.
On the contrary, we must remind ourselves that for many years, US News and World Report has rated dentists in the top 10 of all vocations, judged by many factors including work-life balance.2
I’ve been practicing and teaching for several decades and still find almost every day to be enjoyable and productive. Here are some suggestions that may help you.
Variety in your personal life
Are you involved in activities other than dental practice? I strongly suggest choosing to be involved with numerous activities such as:
- Teaching part-time in a dental, dental hygiene, or dental assisting school
- Joining a service club such as Kiwanis, Lions, Rotary, and others
- Becoming active in a religious organization
- Becoming a coach for local youth athletic groups
- Serving on a hospital staff
- Developing a hobby that you enjoy and becoming active in a study group on that topic
There are hundreds of other activities to consider. Take some personal time to contemplate what would be enjoyable for you, and then do it!
Do something enjoyable every day
What do you enjoy doing? What gives you pleasure? What can you do in a short time every day that provides variety and enjoyment? Here are a few activities that are pleasurable to me:
- Having a friend who’s always happy: a dog, cat, horse, child, or lonely older person. I have all of these in my life and look forward eagerly to spending time with them.
- Taking a family member, grandchild, or spouse to lunch or a fast-food restaurant in the evening
- Taking a brief walk in nature is refreshing for me. I live at the base of a 10,000-foot mountain and enjoy being outside.
- Roaring around the neighborhood on a Harley, even in the winter, takes away some stress.
- Spending time with my wife enjoying horses and riding them
- Reading part of a nondental book relaxes my mind.
- Cooking an easy meal and enjoying eating it. I look forward to it; there’s nothing better than a thick, juicy T-bone!
Try simple concepts like these in areas of your life that give you pleasure and relaxation. You’ll find your days have variety, you’ll look forward to that variety, and you’ll also help others enjoy their days.
Variety in your professional life
There are now 12 specialties in dentistry, with general practice having the most variety. If you count all the potential preventive and treatment procedures in dentistry, the list would be over a hundred. Most dentists accomplish only a few of these procedures. I suggest determining what procedures you now perform and others in which you have an interest. Dentists who do only a few repetitive procedures soon become bored and must escape routinely to refresh themselves. Eclectic dentists perform many different procedures. These procedures change constantly as new materials, devices, technologies, and techniques evolve. A dentist who has variety in life routinely finds continuing education as new concepts are introduced to the profession.
You may also be interested in ... Comparing new vs. older dental concepts
Great clinical areas just waiting for you to become involved
Dentistry changes every day. Typical dental practice is confining and doesn’t allow diversity unless you purposely go after it. There are so many areas just waiting for you to join in. Each area requires time, energy, effort, money, and continuing education for you to get involved. I hope at least some of these will add excitement to your life.
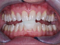
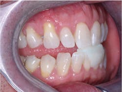
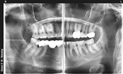
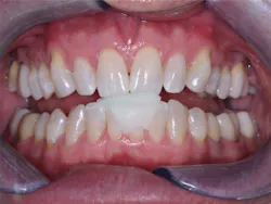
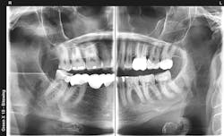
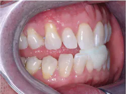
Dental sleep medicine is growing rapidly. Why? A large portion of the adult population in the US has an objectionable snoring problem. Do they want to quit snoring? Of course! Although most physicians place their snoring patients on a CPAP device, many patients are not compliant. Is there another way to stop snoring? Absolutely. You can do so with a well-made snoring appliance (figures 1 and 2).
Do you just start doing this procedure? No. Like any other new procedure, continuing education is a must. The American Academy of Dental Sleep Medicine can help you get started with information and course suggestions.
When you eliminate sleep issues from patients, they are extremely grateful. You feel a sense of satisfaction, and you’ve incorporated some needed diversity in your practice. Dental sleep medicine is an important part of dental practice, and when you’re competent with the procedures, you’ll be pleased you did so.
Occlusion is a forgotten area of dentistry, but it is more important now than ever before. A significant number of adult patients have grinding issues or clenching bruxism. With the advent of zirconia into dentistry, numerous good and bad situations have occurred. Zirconia is a substitute for steel. It’s strong, wear resistant, and serves patients very well, but the downside is clear. When two pieces of zirconia are in malocclusion, the damage to natural tooth abutments or implants is a well-known problem. Improper occlusion of zirconia restorations is one of the major reasons for implant failure, temporomandibular disorders, and broken teeth. Becoming more educated about occlusion and sharing your knowledge with dental peers would be a great service.
Most young patients need athletic mouthguards. The level of adequacy of the mouthguards most young athletes wear could be much better. A few short courses on this subject can be helpful for you, your staff, and your patients, especially if you personally have athletic interests.
Preventive dentistry is probably part of your current practice. However, about 10% of patients need special preventive appointments. Learning more about preventive concepts, emphasizing them in your practice, and becoming known as a preventive dentist brings new patients and diversity to your practice—and you’ll find excitement when you prevent dental disease.
Dental technologies such as cone beam radiology, scanners, 3D printing, new endodontic debridement methods, and laser resin curing are growing daily (figure 3). Every new technology you introduce into your practice requires education, experience, better patient care, and will foster excitement in your practice.
Summary
It’s normal to occasionally feel burned-out, but it’s a death sentence to your dental practice and your personal satisfaction to allow it to continue. The concepts in this article offer significant ways to avoid burnout. Changing your lifestyle and adding new concepts to your practice will slow or eliminate burnout.
Editor's note: This article appeared in the June 2023 print edition of Dental Economics magazine. Dentists in North America are eligible for a complimentary print subscription. Sign up here.
References
- The dentist workforce — key facts. American Dental Association Health Policy Institute. https://www.ada.org/-/media/project/ada-organization/ada/ada-org/files/resources/research/hpi/hpigraphic_0221_1.pdf
- 100 best jobs. US News and World Report. 2023. https://money.usnews.com/careers/best-jobs/rankings/the-100-best-jobs
Author’s note: The following educational materials from Practical Clinical Courses offer further resources on this topic:
One-hour videos:
- Optimizing Use of Cone Beam Radiology (Item #S1147)
- Making Dental Caries Prevention a “Win-Win” Concept (Item #V5120)
Three-hour virtual course:
- Retirement Planning—Start with the End in Mind (Item #X4750)
Two-day hands-on
courses in Utah:
- Fixed Prosthodontics Simplified with Dr. Gordon Christensen
- Oral Surgery Secrets with Dr. Karl Koerner
For more information, visit pccdental.com or contact Practical Clinical Courses at (800) 223-6569.
About the Author

Gordon J. Christensen, DDS, PhD, MSD
Gordon J. Christensen, DDS, PhD, MSD, is founder and CEO of Practical Clinical Courses and cofounder of Clinicians Report. His wife, Rella Christensen, PhD, is the cofounder. PCC is an international dental continuing education organization founded in 1981. Dr. Christensen is a practicing prosthodontist in Provo, Utah.






