How Composi-Tight 3D Fusion Sectional Matrix System "offers the consistency I need"
The oral environment is a difficult one with many nuances. When we complete work on our patients for their oral health, we affect that environment. One common way is through caries removal and placement of composite restorations.
Composite resin restorations are inherently inert, except for a handful of products on the market. However, some of the common problems we’ve all seen are open contacts, under- or overcontoured restorations, open margins, and overhangs. When we run into these issues, we have turned our inert restorations into ones that affect the form and function of the oral environment.
Consistency is the most important way we can prevent iatrogenic injuries. Along the way, I’ve found that the most crucial tool to preserve and/or create the form and function of a composite resin restoration is the matrix system. I have used several different systems but have settled on the one that offers the consistency I need in my daily clinical practice.
More from the author ...
Finding a workhorse endodontic file system
Better orthodontic impressions with the putty + wash method
Garrison Dental Solutions has created the Composi-Tight 3D Fusion Sectional Matrix System, which consists of several sizes and shapes of rings, wedges, and matrices. This system provides the most reliable results with the most well-contoured restorations. There are several subtle design changes within the system that not only allow for the results I’m looking for, but also the ability to complete a quadrant of restorations more efficiently.
One of my favorite parts of the Composi-Tight system is the ability to stack multiple rings together without interference. I typically find that the limit is about three to four sectional bands, depending on how I arrange them. This is about one or two rings more than other systems I’ve tried.
Another great feature is the three different ring sizes. A short blue ring, a tall orange ring, and a wide green ring complement most clinical situations I find myself in (figures 1-4). Having tall and short rings is not a new concept; many other systems have the same setup. But the wide green ring is the hidden gem even though I use it the least.
The last key feature that I appreciate about the Composi-Tight system is the wedges themselves (figure 5). They are manufactured with what Garrison calls a Soft-Face material that surrounds an inner plastic core. This allows the wedges to be fitted without slipping out of the contact area. This produces a tighter-fitting matrix-to-tooth junction, which reduces overhangs in composite restorations.
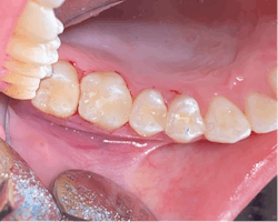
Consistency is what I look for to make my clinical life easier. Using the Composi-Tight system offers that consistency in my composite restorations (figure 6). I have found that the common iatrogenic issues of composite restorations are significantly reduced, and I’m able to be quicker and more efficient using the features found within the system.
If you’re looking for a great sectional matrix system for your restorations, try this system. I believe it checks a lot of boxes for restorative practitioners.
For those of you who are looking into an active composite restorative material that interacts with the oral environment, here are some materials for you. Some of the materials are bioactive—Beautifil by Shofu, ACTIVA by Pulpdent, and Predicta by Parkell—and release/recharge with multiple ions similar to how glass ionomers release/recharge fluoride fighting demineralization and recurrent decay. Some of these products can interact with the tooth itself—i.e., ions pass through the bonding layer and exert a biological effect on the tooth. A newcomer to the market is Infinix by Nobio, which utilizes QASi technology (nonsoluble quaternary-ammonium silica particles) to exert its antimicrobial effect.
Editor's note: This article appeared in the May 2023 print edition of Dental Economics magazine. Dentists in North America are eligible for a complimentary print subscription. Sign up here.
About the Author

Neville T. Hatfield, DMD
Neville T. Hatfield, DMD, graduated magna cum laude from the Boston University School of Dentistry. He completed a general practice residency at the Manhattan Veteran Affairs Hospital, where he provided interspecialty comprehensive prosthetic and surgical treatment to medically complex patients. When he is not treating patients in northern New Jersey, he enjoys lecturing about dental materials and products.
Updated April 7, 2023






