Dental photography on social media: The good, the bad, and points to consider
Dentistry is, by its very nature, a highly visual occupation. With the continued proliferation of various photo and video-based social media platforms, the importance for clinicians and technicians to be able to rapidly showcase and broadcast their work to an almost limitless worldwide audience has been amplified.1,2
Dental photography on social media is at its core a convenient and economical means for self-promotion and for development of an open-access online portfolio. The key to any good portfolio, of course, relies on a meticulous curation, a carefully controlled narrative, and positive brand messaging.3
Dental professionals, whether they are involved in academia, private practice, or corporate collaboration and marketing, are all part of a larger for-profit industry. The dental industry rewards highly successful individuals who endeavor to produce uncommon esthetic results and patient case studies that deviate from the average, everyday clinical outcomes.
Unlike the traditional peer-reviewed process of disseminating information, social media outlets don't have self-regulating gatekeepers or subject matter experts to ensure a standard of quality is being upheld by the community. The dentists and technicians who use social media therefore must recognize the ethical implications of distributing unregulated information and bear the duty to offer transparency and veracity of this content to the audience.4,5
Context collapse
Open-access social media communities have become a ubiquitous informal proxy to traditional dental classroom education. An infinite number of diverse online audiences are now possible, and the manner with which this diversity impacts our virtual social interactions has been termed “context collapse.”6
More articles like this one
Why dental professionals need to get on Instagram
Pearls for Your Practice: Canon EOS RP from PhotoMed
Rather than appeal to a distinct group of like-minded individuals who coalesce around a specific topic or dental specialty, social media influencers tend to attract nebulously defined clusters of followers ranging from dental students, laboratory technicians, researchers, company representatives, and even potential patients.7
Many of the most influential dental professionals on social media are also key opinion leaders (KOLs) who have contractual obligations and receive financial compensation for producing certain product-focused content. In these problematic situations, the creation and publication of content that serves to advertise a good or service, albeit with an educational tone, is ultimately broadcast to a wide range of individuals at once (i.e., a collapsed audience) that may not have the acumen to recognize the underlying nature or context of the message.
If the intentions of the content message are not adequately disclosed, these situations can lead to heightened social anxiety and feelings of inadequacy for certain members of the viewing audience.6
Social anxiety
Social media sites provide numerous positive benefits for dentists, such as the ability to develop professional networks,8 enhance education through real-time exchange of information with colleagues,9 and the ability to market/brand their practice or services.10 Despite these benefits, however, there is a growing concern regarding the potential emotional burden that arises from social comparisons which are inherent and pervasive to photo/video-sharing social media platforms.11
Compared with face-to-face settings, social comparisons in the virtual realm are more accessible and are facilitated by the rapid rate at which case documentation in the form of photographic content can be uploaded and viewed.12 Influential dentists and technicians participating in online communities and forums tend to select the most positive attributes of their identity and content to display,13 and the unfettered access to this content undoubtedly triggers the biological human predisposition to evaluate and compare the skill and techniques of other members to one’s own abilities.14 The tendency for upward social comparisons (e.g., comparing with others who are perceived as superior in a particular skill set) may lead the viewer to construct a negative self-assessment and lead to the development of social anxiety.15
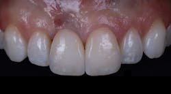
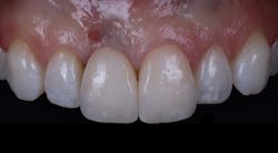
When viewed out of context, a half-dozen or so images, including postoperative glamour shots and intraoral photographs (figure 1), deliberately showcased technology (figure 2), carefully staged clinical steps (figure 3), photoshopped laboratory set-ups (figure 4), and a selection of photographs used to compose a montage of various materials and company products (figure 5), may obscure the real-world clinical conditions and protracted treatment time that is often necessary to complete more complex and demanding cases (figure 6).
Staged dental photographs and content creation often require uninterrupted blocks of time to be set aside, and the freedom from pressure to perform at maximum capacity. Additionally, truly outstanding patient results are, in many cases, dictated by the proficiency of the clinician combined with the capabilities of a world-class dental technician. Providers with time constraints, less experience, and limited access to resources may unintentionally create an inequitable direct comparison, develop a set of unrealistic expectations, and ultimately erode their self-esteem and confidence.16
Conclusions
While posting outstanding clinical photographs and documentation may provide a source of education and inspiration, it may also generate an unhealthy amount of mutual comparison and social anxiety for other dental professionals who may view their own work as less than “perfect” and below the standard level of care.16
When disseminating information online, the onus falls upon the content creator to serve as the guardian of their own narrative, and the burden of self-regulation carries with it various ethical and moral responsibilities.17 The virtual community of dental professionals—both as consumers and creators of specific content—needs to take into consideration the diversity in the education level and depth of experience regarding the online membership of social media users for each platform.
The implication that outstanding clinical results are routine and the ease with which demanding cases are predictably reproduced every time should be challenged.18
Editor’s notes: The authors would like to thank Mr. James Choi (Maven Dental Studio, Chicago, IL) for his expertise and passion for ceramics and laboratory technology on display in this article.
This article appeared in the February 2023 print edition of Dental Economics magazine. Dentists in North America are eligible for a complimentary print subscription. Sign up here.
References1. Shen GC-C, Chiou J-S, Hsiao C-H, Wang C-H, Li H-N. Effective marketing communication via social networking site: The moderating role of the social tie. J Bus Res. 2016;69(6):2265-2270.
2. Pittman M, Reich B. Social media and loneliness: Why an Instagram picture may be worth more than a thousand Twitter words. Comput Human Behav. 2016;62:155-167.
3. Hong S, Jahng MR, Lee N, Wise KR. Do you filter who you are? Excessive self-presentation, social cues, and user evaluations of Instagram selfies. Comp Human Behav. 2020;104:106159.
4. Carpenter JP, Morrison SA, Craft M, Lee M. How and why are educators using Instagram? Teach Teach Educ. 2020;96:
5. Yang SC, Wu BW, Karlis V, Saghezchi S. Current status of Instagram utilization by oral and maxillofacial surgery residency programs: A comparison with related dental and surgical specialties. J Oral Maxillofac Surg. 2020;78(12):e1-2128.e7.
6. Marwick AE, Boyd D. I tweet honestly, I tweet passionately: Twitter users, context collapse, and the imagined audience. New Media & Society. 2010;13(1):114-133.
7. Jayaratne YSN, Zwahlen RA. The evolution of dental journals from 2003 to 2012: A bibliometric analysis. PLoS ONE. 2015;10(3):e0119503.
8. Dizon DS, Graham D, Thompson MA, et al. Practical guidance: The use of social media in oncology practice. J Oncol Pract. 2012;8(5):e114-e124.
9. Chauhan B, George R, Coffin J. Social media and you: what every physician needs to know. J Med Pract Manage. 2012;28(3):206-209.
10. Grajales FJ 3rd, Sheps S, Ho K, Novak-Lauscher H, Eysenbach G. Social media: a review and tutorial of applications in medicine and health care. J Med Internet Res. 2014;16(2):e13.
11. Jiang S, Ngien A. The effects of Instagram use, social comparison, and self-esteem on social anxiety: A survey study in Singapore. Social Media + Society. 2020;6(2):1-10.
12. Appel H, Gerlach AL, Crusius J. The interplay between Facebook use, social comparison, envy, and depression. Curr Opin Psychol. 2016;9:44-49.
13. Vogel EA, Rose JP, Roberts LR, Eckles K. Social comparison, social media, and self-esteem. Psychol Pop Media Cult. 2014;3(4):206-222.
14. Festinger L. A theory of social comparison processes. Hum Relat. 1954;7(2):117-140.
15. Gilbert P. The relationship of shame, social anxiety and depression: The role of the evaluation of social rank. Clin Psychol Psychother. 2000;7(3):174-189.
16. Ooi HL, Kelleher MGD. Instagram dentistry. Prim Dent J. 2021;10(1):13-19.
17. Klintmalm E. Social media and selling smiles. J Am Col Dent. 2022;89(1):7-11.
18. Kelleher MGD, Djemal S, Lewis N. Ethical marketing in ‘aesthetic’ (‘esthetic’) or ‘cosmetic dentistry.’ Part 3. Dent Update. 2012;39(7):472-486.
About the Author

Miles R. Cone, DMD, MS, CDT, FACP
Miles R. Cone, DMD, MS, CDT, FACP, a graduate of Tufts University School of Dental Medicine, completed a three-year prosthodontic residency program while serving in the US Army. He later earned his designation as a certified dental technician. Dr. Cone is the owner of Nuance Dental Specialists, a private practice dental clinic limited to prosthetic dentistry in Portland, Maine, and a key opinion leader and educator for GC America. An international lecturer, he has been published extensively in peer-reviewed journals.






