When older, proven clinical concepts might be better
Q: I have been practicing for three decades, and I have a question that you can probably answer. I have purchased many of the newer concepts, products, and technologies that are promoted on the current market. Some of them are very good, while others are not as clinically acceptable as proven concepts from the past. Usually, manufacturers and distributors provide the positive characteristics of new products, but they do not indicate any potential negative characteristics. Judging from your clinical and research experience, would you please identify some of the important areas where historical products, materials, and concepts can be better?
A: I am pleased to do so, even at the risk of frustrating some readers. Most practitioners want to be known as progressive, up-to-date dentists providing the best possible oral care, but it is impossible to be up to date all the time. The following subjects will make you draw on your long clinical experience to compare it with your current techniques and make clinical decisions.
Amalgam versus composite resin
You have seen situations where amalgam has served for decades and composite restorations placed in the same patient are failing in a fraction of the time. There is no question that amalgam tooth restorations serve for longer than composite restorations. However, many patients do not want metal in their mouths for various reasons. Some are completely against having the display of metal color. Others are upset about the alleged health challenges of amalgam despite continuing support of this material by the American Dental Association and World Health Organization.
How to reduce recurrent caries and crowns coming off
Reducing composite resin failures
Should amalgam still be used, even though it has been banned in numerous countries? We have surveyed dentists in North America relative to their use of amalgam. Those Clinicians Report Foundation surveys show that amalgam is used by about 60% percent of dentists at least some of the time. What is some of the time? Data from Tom Limoli Jr. at Limoli and Associates, experts in coding and third-party payers, shows that amalgam accounts for about 10% of direct dental restorations.
In which situations is amalgam better than composite? It is better in patients with high caries activity, deep box forms of class II restorations where access is nearly impossible, patients with bruxism, and others. In my considered opinion, amalgam is still a viable, long-lasting material for some patients and is now proven to serve longer than composite.
Metal-framework removable partial dentures versus flexible partials
There has been a significant movement away from metal-framework partial dentures to flexible removable partial dentures (figure 1). Some estimates show up to 60% of removable partial dentures are now flexible (Darryl Withrow, Glidewell Labs). Are they better than those with a metal framework? The answer is debatable. In some situations, they can be good, while in others they are inferior. Patients love them because of their flexibility.
In which situations might a flexible partial be better? Figure 2 shows the well-known Kennedy classification for removable partial dentures. Classes I and II are not highly indicated for flexible partial dentures because of the obvious lever arm rocking distally. Class III with teeth supporting the occlusion and the partial only filling the missing areas are the major indications for flexible partials. Some feel they are the only indications. Class IV allows easy anterior rocking of the partial and dislodgement when chewing. It is my opinion that when metal-based removable partial dentures are fabricated well, they are still superior to flexible ones in most situations.
Periodontal treatment: Surgical or conservative?
Periodontal disease is still one of the major challenges for dental treatment. It can be attenuated but seldom cured. Many estimates, supporting my own observations, state that 35% or more of adults have ongoing periodontal disease. It is well known among dentists that conservative treatment of moderate periodontal disease can be accomplished either by conventional periodontal surgery or by conservative treatments with excellent patient compliance.
Which would you prefer for your own mouth? The only significant challenge for conservative treatment is that you must have educated, conscientious dental hygienists to ensure patient compliance with the conservative procedures. If compliance is good, the result is like the more aggressive periodontal surgery procedures. Here are some conservative procedures for periodontal treatment:
- Education about periodontal disease
- Frequent oral hygiene instruction
- Tongue cleaning once or twice daily
- Frequent (two- or three-month) scaling and root planing
- Subsystemic antibiotics for at least nine months
- Alternating oral rinses, changed frequently
- Local antibiotics delivered to nonresponding pocket areas after two or three months of points 1–6
- Providing a periodontal removable partial denture if applicable
- Use of lasers, which are growing in acceptance. Examples are Biolase, Fotana, and Solea.
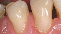
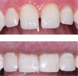
Resin class IV direct restorations versus ceramic crowns or veneers
Often, a patient breaks off a significant-sized piece of tooth structure on an anterior tooth or has large diastemas that disfigure the smile. The immediate thought is to place a ceramic crown or veneer on the tooth. But is that the best treatment for the patient? The pulp can be large in a young patient. The tooth must last until the patient’s average life expectancy of about 80 years. Some crowns serve for many years, but usually they must be replaced eventually, necessitating removal of even more tooth structure.
Would it not be better to place a composite resin restoration on the tooth? That procedure poses little threat to the dental pulp. It allows retention of much more tooth structure than a crown prep, and it costs less than a crown. Well-done composite restorations can easily match tooth color, while an anterior crown is difficult to match to surrounding tooth structure. A crown can always be done years later allowing the resin restoration to serve in the interim. According to our surveys, the most popular products for this procedure are Filtek Supreme Ultra, TPH Spectra, and Harmonize. These and numerous others provide excellent color match and at least several years of service (figure 3).
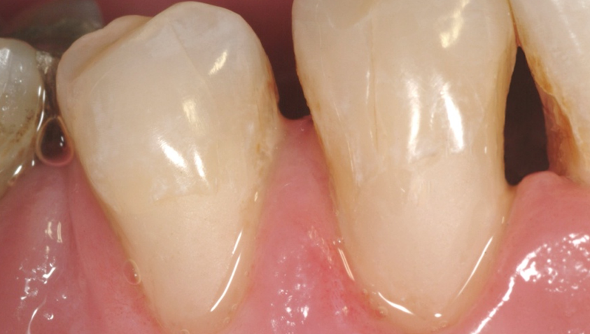
Glass ionomer restorations versus composite restorations
Glass ionomer restorative materials were invented many years ago. They have been used for numerous situations primarily because of their cariostatic properties. Most North American dentists use composite instead of glass ionomer even for patients with high caries activity.
Is composite the most appropriate material? The answer is a simple no! Although composite has better color and wear resistance, it has little or no caries-preventive properties despite the extravagant claims of some dental manufacturers. Recent modifications of glass ionomer have made these products—e.g., Equia Forte and Ketac Universal—stronger, easier to use, less soluble, and with high fluoride release. Use of this material in high-caries-prone patients, such as teenagers and elderly patients, is highly advisable. As has long been advocated, glass ionomers may be used internally with composite on the external to provide better color and wear resistance (figure 4).
Summary
Everything new is not necessarily better. Use your clinical judgment and experience augmented with research from the literature to make your clinical decisions.
Author’s note: The following educational materials from Practical Clinical Courses offer further resources on this topic.
One-hour videos:
- Making Foolproof Class II Composites (Item #V3501)
- The New Glass Ionomers Really Work! (Item #V3514)
Two-day hands-on course in Utah:
- Restorative Dentistry 2: Fixed Prosthodontics with Dr. Gordon Christensen
For more information, visit pccdental.com or call (800) 223-6569.
Editor's note: This article appeared in the October 2022 print edition of Dental Economics magazine. Dentists in North America are eligible for a complimentary print subscription. Sign up here.
About the Author

Gordon J. Christensen, DDS, PhD, MSD
Gordon J. Christensen, DDS, PhD, MSD, is founder and CEO of Practical Clinical Courses and cofounder of Clinicians Report. His wife, Rella Christensen, PhD, is the cofounder. PCC is an international dental continuing education organization founded in 1981. Dr. Christensen is a practicing prosthodontist in Provo, Utah.




