The clinical and practice benefits of a single-shade composite system
The last few years, I have focused on improving my direct composite skills. I have spent countless hours taking hands-on courses, and I have a lot of composite in my office. I have full kits, partial kits, stains and tints, and a complete array of microfill, hybrid, and nanofill composite resin—more than I need. While there is something comforting about having many shades, opacities, and strengths of composite available for every possible indication, nothing is more wasteful than having to toss away unused, expired dental material.
Single-shade composite resin systems have been gaining popularity, as they work universally for many indications and significantly reduce the need for an expansive inventory. Moreover, there are many formulations available to suit the handling, viscosity, and polishing preferences of the dentist. The goal of the single-shade systems that are commercially available is the same: a universal system that can be used for most clinical scenarios. While there are a few single-shade composite systems available, the focus of this article will be to describe the technology that is specific to the Omnichroma line of products from Tokuyama Dental. Omnichroma was the first true single-shade composite that became commercially available.
Pearls for Your Practice: Omnichroma Flow by Tokuyama
How it works
Traditional composite systems utilize chemical color technology; dyes are incorporated into composite to match or closely resemble a standard shade guide. Another practical use of chemical color technology in dentistry is for composite manufacturers to create their own shade guide, based on their specific line of composite that can be used for selection and tooth restoration. Regardless of the shade guide used for these materials, multiple shades must be made to accommodate the majority of clinical scenarios. Many factors can affect the shade and stability of the color of composite resins, including light curing,1 diet,2 and toothbrushing.3
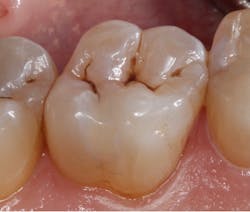
The Omnichroma line of composite uses Smart Chromatic Technology that differs from chemical color technology. This technology must be different for a single shade of composite to be used universally for most clinical indications. This technology is called structural color.4 Structural color technology utilizes the color from the surrounding environment (in the case of dentistry, the prepared tooth structure) to create its final color. Structural color technology is naturally occurring; examples include the wings of butterflies5 and the feathers of peacocks.6 In dentistry, this composite system reflects the color of the adjacent tooth structure, and as a result, the color of the restoration matches the adjacent tooth structure.7
Handling
Single-shade composite systems are available in a variety of formulations. While the condensability, viscosity, and polishability are subjective and based on clinician preference, there are systems that offer variety for dentists. Omnichroma and its complementary Omnichroma Blocker are uniformly suprananofilled, sculptable composites that tend to have a creamy consistency, favorable physical properties, and high polishability. These are available in syringes or individual preloaded tip (PLT).
There has been a recent addition to the Omnichroma product family: Omnichroma Flow and its supporting Omnichroma Blocker Flow for special situations. These are flowable, syringeable composite restoratives that offer similar physical properties as Omnichroma/Omnichroma Blocker that can be placed in 2 mm increments for direct restorations. For dentists who are seeking an injectable composite resin system that can be used as a universal composite, Omnichroma Flow and Omnichroma Blocker Flow offer a suitable solution.
Indications
Benefits
There are obvious clinical benefits, including creating restorations that are esthetic and highly polishable. An additional benefit of structural color technology is that in restorations placed with the Omnichroma line of composites, the apparent color of the restoration will change as tooth color changes. These changes can be age-related tooth color changes or caused by tooth bleaching procedures. This will reduce the necessity of restoration replacement due to color changes over time, while also improving clinician confidence, esthetic outcomes, and patient satisfaction.
There are also a few financial benefits to the dental practice:
Reduced overhead costs. Minimizing the inventory of composite used in the practice will help keep costs down, while maintaining or improving the quality of the restorations placed. This will additionally reduce the likelihood of needing to dispose of unused, expired materials. The use of a simplified composite system in clinical practice has indirect cost-saving benefits, including reduced staff time to organize and maintain inventory and for ordering materials.
Reduced waste and working capital. When using a single-shade composite system, clinicians don’t need to have high working capital to stock many shades. When placing layered composite restorations using a syringe system, multiple shades of composite are dispensed during a procedure, and any unused dispensed material is tossed. Moreover, PLTs are intended to be single use; any unused material should be disposed. Using an injectable system, such as Omnichroma Flow and Omnichroma Blocker Flow, would further reduce any wasted material.
Improved productivity. Utilizing simplified composite systems will allow the dentist to virtually eliminate shade-selecting procedures. Patient satisfaction is improved and the need for replacement due to shade mismatch (whether noted immediately post-op or over time) is significantly reduced. In addition, sophisticated layering composite techniques are very time-consuming and require exceptional clinical skills. Using a single-shade composite system greatly simplifies clinical protocols and reduces the amount of time required to produce esthetic restorations.
Summary
Using a single-shade composite system offers multiple clinical and practical benefits. The Omnichroma line of products from Tokuyama Dental utilizes technology where the ultimate shade of the composite is determined by adjacent tooth structure. This material can successfully match any shade of tooth on the VITA shade guide. Omnichroma and Omnichroma Flow offer similar physical and optical properties, but they come in different flowability and handling to meet dentists’ handling preferences. Like its predecessor, Omnichroma, Omnichroma Flow is layered incrementally and can be used on its own for any direct restorative indication. For instances where additional opacity or subsurface block-out are needed, Omnichroma Blocker or Omnichroma Blocker Flow are indicated to be used in conjunction with the primary products, Omnichroma and Omnichroma Flow. Â
Editor's note: This article appeared in the September 2021 print edition of Dental Economics.
References
- Domingos PA, Garcia PP, de Oliveira AL, Palma-Dibb RG. Composite resin color stability; influence of light sources and immersion media. J Appl Oral Sci. 2011;19(3):204-211. doi:10.1590/s1678-77572011000300005
- Bezerra Dias H, Teixeira Carrera E, Nara de Souza Rastelli A. The influence of pH and chemical composition of beverages on color stability of a nanofilled composite resin. Gen Dent. 2016;64(6):e21-e27.
- Lai G, Zhao L, Wang J, Kunzelmann KH. Surface properties and color stability of dental flowable composites influenced by simulated toothbrushing. Dent Mater J. 2018;37(5):717-724. doi:10.4012/dmj.2017-233
- Paravina RD, Westland S, Kimura M, Powers JM, Imai FH. Color interaction of dental materials: blending effect of layered composites. Dent Mater. 2006;22(10):903-908. doi:10.1016/j.dental.2005.11.018
- Thayer RC, Allen FI, Patel NH. Structural color in Junonia butterflies evolves by tuning scale lamina thickness. ELife. 2020;9:e52187. doi:10.7554/eLife.52187
- Freyer P, Wilts BD, Stavenga DG. Reflections on iridescent neck and breast feathers of the peacock, Pavo cristatus. Interface Focus. 2019;9(1):20180043. doi:10.1098/rsfs.2018.0043
- Chen F, Toida Y, Islam R, et al. Evaluation of a shade matching of a novel supra-nano filled esthetic resin composite employing structural color using simplified simulated clinical cavities. J Esthet Restor Dent. 2020. Published online: November 14, 2020. doi:10.1111/jerd.12671
Pamela Maragliano-Muniz, DMD, is the chief editor of Dental Economics. Based in Salem, Massachusetts, Dr. Maragliano-Muniz began her clinical career as a dental hygienist. She went on to attend Tufts University School of Dental Medicine, where she earned her doctorate in dental medicine. She then attended the University of California, Los Angeles, School of Dental Medicine, where she became board-certified in prosthodontics. Dr. Maragliano-Muniz owns a private practice, Salem Dental Arts, and lectures on a variety of clinical topics. You may contact her at [email protected].Â




