Increasing orthodontic predictability and profitability while decreasing office visits
In today’s post–COVID-19 office environment, both dentists and patients have had to adjust their lives with regard to how they dispense and receive dental care. In orthodontics, some aspects remain the same as patients are still seeking quality care, but now they want it more quickly and with fewer office visits. Like many of my colleagues, I have been searching for technologies and materials that will help me meet that patient demand without sacrificing quality of care. It’s especially enticing when these new approaches can even improve patient outcomes.
In addition to happier patients and greater clinical predictability in my cases, my bottom line is also reaping the benefits. Fewer appointments for one patient translate to more available spots for new or returning patients. This is important for busy practices and those that are trying to catch up by scheduling patients who have not been able to visit due to the COVID-19 shutdown. Now more than ever, we rely on technologies that can help us accomplish these things.
When patients desire a shorter orthodontic experience, or anatomical issues delay tooth movement longer than is considered normal or productive, the in-office procedure known as micro-osteoperforation (MOPs) can accelerate the rate of orthodontic tooth movement by up to 62%.1 With a small perforation, or dimple as I call it, near the difficult tooth movement, MOPs stimulate the maximum biological response1 while remaining microinvasive and palatable to the patient. Our other option for shorter treatments and increased predictability is high-frequency vibration (HFV), our at-home treatment with VPro in which patients use the VPro device for just five minutes per day. This therapy has also been shown to reduce treatment time by up to 64%.2
In my practice, I’ve found that these two therapies combined with aligner therapy reduce treatment discomfort, increase case predictability, optimize aligner seating, and reduce the need for additional refinement aligners. Patient comfort is key to a good treatment experience and often helps with compliance and engagement in the treatment. Five minutes of “soft pulsation” per day has been shown to reduce orthodontic discomfort by releasing the pain receptors that reduce inflammatory pressure.
My patient’s story began at the temporomandibular disorders (TMD) specialist’s office. At age 16, she was evaluated for headaches and jaw pain. She presented with bilateral coronoid pain, pain when chewing that preceded decreased range of motion on opening, and intermittent jaw locking. She had occasional jaw clicking and popping. She also suffered from weekly frontal headaches. The patient wore braces from ages 11–14, during which time she suffered with TMD pain. She had no history of headaches, jaw pain, or any TMD symptoms prior to wearing braces. Generally, her muscle groups exhibited moderate to severe tenderness upon palpation, and imaging revealed posterior displacement of both condyles.
- An opportunity for better tracking
- Improved patient experience by causing less discomfort
- Shortened duration of treatment time with fewer office visits
A few weeks later, this appliance was delivered with instructions for wear time, cleaning, and advancing the screw mechanism. A VPro vibration device was also delivered with instructions to use it five minutes per day.
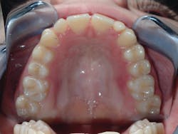
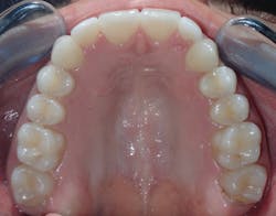
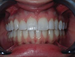
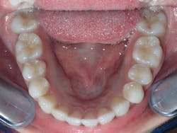
Within two weeks, the patient’s original symptoms began to decrease. With appropriate wear cycles and removal time of the expansion appliance, she achieved significant maxillary growth in just over eight months (figure 6). Now the patient had a transverse measurement of 34 mm between the upper first molars, which represents 7 mm of maxillary development, including a change in the palatal vault anatomy and a reduction in vault height (figure 7). The maxillary development released the mandible from its trapped position, which improved the relationship of the occlusion, condyle, disc, and musculature. As a result, she noAt that point, the foundation was developed, the patient was asymptomatic, and she was ready to transition to clear aligners. A digital scan was taken, and a clear aligner case was developed using an expansive technique to continue development of both arches. The patient did appropriate orofacial myofunctional therapy as well as the lingual frenum revision. She continued to use the VPro device for five minutes every day while wearing her aligners to ensure proper tracking and reduced discomfort. Clear aligners were used for 12 months and added another 3 mm of development to the maxillary arch.
This is just one of many patients who have benefited from having techniques from Propel Orthodontics incorporated into their treatment. The opportunity is significant whether we utilize VPro HFV or MOPs. Both techniques offer a reduction of treatment time and treatment visits, better tracking, and less discomfort at an affordable price. All of this combines to make a more profitable, predictable, and comfortable orthodontic treatment that improves both the health of the patient and the practice.
References
- Alikhani M, Raptis M, Zoldan B, et al. Effect of micro-osteoperforations on the rate of tooth movement. Am J Orthod Dentofacial Orthop. 2013;144(5):639-648. doi:10.1016/j.ajodo.2013.06.017
- Alansari S, Atique MI, Gomez JP, et al. The effects of brief daily vibration on clear aligner orthodontic treatment. J World Fed Orthod. 2019;7(4):134-140, doi:10.1016/j.ejwf.2018.10.002
BEN MIRAGLIA, DDS, a graduate of the State University of New York at Buffalo School of Dental Medicine, has practiced general dentistry for 26 years in Mt. Kisco, New York, including 16 years of interceptive orthodontics with a focus on early childhood growth and development. An international lecturer, he is on the Align Technology faculty, the American Academy of Physiological Medicine and Dentistry Board of Directors, the Northern Westchester Hospital President’s Council, and is vice president of clinical affairs for Airway Health Solutions. To learn more about expansive orthodontics, contact Dr. Miraglia at [email protected] or visit airwayhealthsolutions.com.
About the Author
Ben Miraglia, DDS
BEN MIRAGLIA, DDS, a graduate of the State University of New York at Buffalo School of Dental Medicine, has practiced general dentistry for 26 years in Mt. Kisco, New York, including 16 years of interceptive orthodontics with a focus on early childhood growth and development. An international lecturer, he is on the Align Technology faculty, the American Academy of Physiological Medicine and Dentistry Board of Directors, the Northern Westchester Hospital President’s Council, and is vice president of clinical affairs for Airway Health Solutions. To learn more about expansive orthodontics, contact Dr. Miraglia at [email protected] or visit airwayhealthsolutions.com.












