Class V color-matching made easy
Class V, or cervical composite restorations, can be very difficult to color-match and blend into the tooth seamlessly. It is very important to provide a good color-match on these restorations for anterior teeth, especially in the smile zone. To achieve an excellent color-match, it is often necessary to use two or three shades of composite and blend them in a precise manner. The results often vary, leaving the dentist and patient less than satisfied. Over the years, many dentists, including myself, have wished for a composite material with just one shade that would offer excellent results each time.
Case study
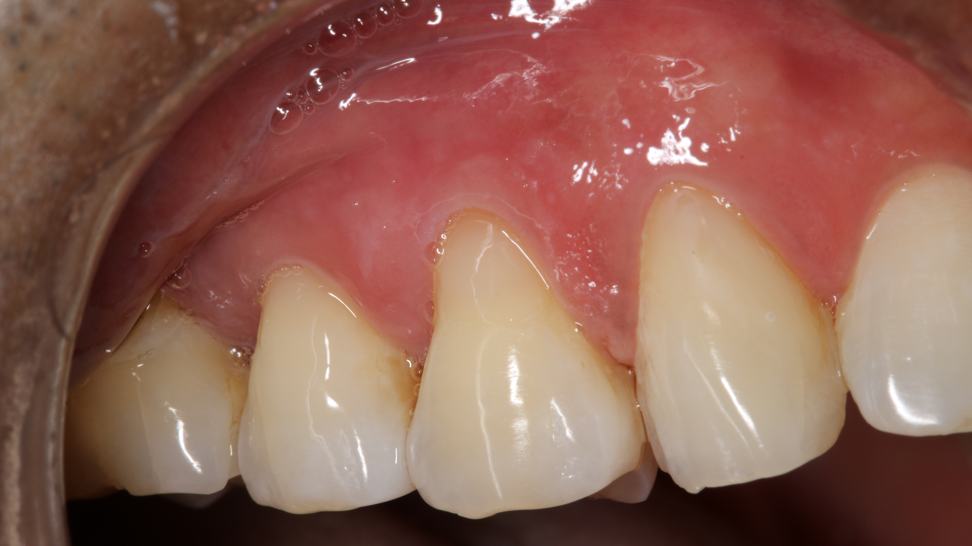
A 45-year-old male presented for three class V fillings. Teeth nos. 4 and 5 had cervical abrasions (or erosion), and no. 6 had a defective existing composite fillingThe teeth to be restored in this case had excellent gingival health, and the patient was in good health. The patient was anesthetized with one carpule (1.7 ml) of lidocaine with 1:100,000 epinephrine.
The composite material will appear too white or high in value at first, but after light curing, the composite blends into the color of the natural teeth. A thin interproximal carver was used to carefully seal the gingival margins of the restorations and follow the contour of the natural tooth. This process is made easier by the handling properties of the composite material, which stays in place and doesn’t slump. The material was thoroughly light cured on all three restorations (figure 3).
Conclusion
From the one- and one-and-a-half year postoperative images, we can analyze the longevity performance of the restorations. The restorations have proven to be color-stable and retain their polish and structural integrity (figures 5 and 6).References
- Fahl N Jr. A solution for everyday direct restorative challenges. Mastering composite artistry to create anterior masterpieces—part 1. J Cosmet Dent. 2010;26(3):56-68. https://www.yumpu.com/en/document/read/45395958/mastering-composite-artistry-to-create-anterior-masterpieces-part-1
- Miyasaki MA. OMNICHROMA from Tokuyama Dental. One-shade universal composite redefines clinical versatility. Decis Dent. 2019;5(8):42.
- Peyton JH. Show your work: restoring large class III cavities with a one-shade composite. Dental Town. December 2019. https://www.dentaltown.com/magazine/articles/7843/show-your-work-restoring-large-class-iii-cavities-with-a-one-shade-composite
- Peyton JH. Class V (cervical) restorations that just blend into the tooth using OMNICHROMA. Dentistry Today. December 1, 2019. https://www.dentistrytoday.com/k2/item/5743-class-v-cervical-restorations-that-just-blend-into-the-tooth-using-omnichroma
- Finlay S. Conservative esthetics using direct resin. Inside Dent. 2010;6(5):96-101.
- Peyton JH. Finishing and polishing techniques: direct composite resin restorations. Pract Proced Aesthet Dent. 2004;16(4):293-298.
JAMES H. PEYTON, DDS, FAACD, is a 1982 graduate of the University of California, Los Angeles, School of Dentistry, where he is a part-time clinical instructor. He maintains a private practice in Bakersfield, California. He lectures at the Esthetic Professionals Education Center in Tarzana, California, and is a part-time clinical instructor at the Fahl Institute in Curitiba, Brazil. He is an American Academy of Cosmetic Dentistry examiner and a contributing editor for the Journal of Cosmetic Dentistry.
About the Author

James H. Peyton, DDS, FAACD
JAMES H. PEYTON, DDS, FAACD, is a 1982 graduate of the University of California, Los Angeles, School of Dentistry, where he is a part-time clinical instructor. He maintains a private practice in Bakersfield, California. He lectures at the Esthetic Professionals Education Center in Tarzana, California, and is a part-time clinical instructor at the Fahl Institute in Curitiba, Brazil. He is an American Academy of Cosmetic Dentistry examiner and a contributing editor for the Journal of Cosmetic Dentistry.






