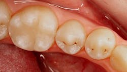
One of the most common decisions for restorative dentists comes during initial and recall examinations. This decision is a “yea” or “nay” on whether the clinician will diagnose the presence of caries in the pits and fissures of the patient’s dentition. Clinicians use visual cues in conjunction with a dental instrument, such as a dental explorer, to do so. Figure 1 shows a clinical case in which many of us would monitor tooth no. 20, and just as many of us would restore no. 20.
New dental explorers have tip sizes of approximately 30–40 μm. Over time and with many uses and sterilizations, the tip size can become as large as 150 μm, making the ability for caries detection using a dental explorer a futile task. My belief is that early detection and prevention of decay in pits and fissures is better for a patient in the long run. Pinpoint decay extending through the enamel layer of the occlusal table that balloons into a massive area of decay in the dentin is a regular finding in restorative dentistry.
These types of lesions cause clinicians to remove a substantial amount of healthy enamel to deroof and visualize the decay. If clinicians could identify and treat these types of lesions early, patients would have substantially more healthy tooth structure, which would increase the theoretical time before the next restorative intervention.
What I recommend for this task
I have found a device that is not only cost effective, but highly accurate and incredibly easy to use. The Ortek-ECD (electronic caries detection) from Ortek Therapeutics is an ingeniously simple device. Similar to how an apex locator functions for endodontic therapy, the Ortek-ECD uses conductivity of fluids present in teeth to complete (or not complete) an electrical circuit.
More from Dr. Neville Hatfield
Finding a workhorse endodontic system
Note to young dentists: In-person dental meetings still matter
Enamel is a solid and inherently nonconductive substance. When demineralization from the caries process extends through the dentinoenamel junction (DEJ) and into the dentin, which is porous, the fluid within the tooth completes the electrical circuit and will allow the Ortek-ECD to display a readout of conductivity. It is important to note that the Ortek-ECD is only indicated for teeth that have not been previously restored.
The display shows a number between 00–100, with 00 being no conductivity and a healthy tooth and 100 being a large carious lesion. The spectrum of numbers displayed allows the clinician to formulate their own treatment intervention schedule. What I mean by treatment intervention schedule is determining which levels would deem the administration of local anesthetic necessary.
Lower numbers indicate caries extending less into the dentin and allow decay to be removed without the need to administer local anesthetic. One of the benefits of the Ortek-ECD system is early decay identification. It allows for a conservative removal of tooth structure, followed by the application of a restorative material, all without anesthesia.
The question many readers may have is how accurate is the Ortek-ECD? A study conducted on extracted teeth and published in the Journal of Clinical Dentistry in 2019 showed a positive predictive value (PPV) of 96% and a negative predictive value (NPV) of 100%.1 For those of us who have not taken statistics in a long time, PPV and NPV refer to the following: a PPV of 96% means that in 96 out of 100 times, caries was present beyond the DEJ when the device listed it as being present. This means that in four out of 100 times caries was present and the device did not detect it. An NPV of 100% means that in all cases, when there was no caries detected by the device, there truly was no caries present beyond the DEJ. The Ortek-ECD is highly accurate and a reliable tool to add to your armamentarium.
The Ortek-ECD system removes many of the doubts in positively identifying the presence of caries in the pits and fissures of dentition. It is incredibly easy to use and to move from room to room, making it ideal for use in multiple operatories. After just a few patients we achieved a terrific ROI with the Ortek-ECD. Even the most financially conscious practice owners will have a hard time not investing in such a useful tool.
Do yourself a favor and research this system and see if it’s right for you and your practice. The Ortek-ECD has been a tremendous tool that I’ve added to my armamentarium, making my diagnoses quicker and more accurate when compared to more traditional instruments.
Editor's note: This article appeared in the November 2022 print edition of Dental Economics magazine. Dentists in North America are eligible for a complimentary print subscription. Sign up here.
Reference
- Chatterjee R, Acevedo AM, Kleinberg I. Comparison of the detection of early occlusal caries in extracted human permanent molar teeth by electrical conductance and biopsy means. J Clin Dent. 2019;30(2):1-5. PMID: 31310709
About the Author

Neville T. Hatfield, DMD
Neville T. Hatfield, DMD, graduated magna cum laude from the Boston University School of Dentistry. He completed a general practice residency at the Manhattan Veteran Affairs Hospital, where he provided interspecialty comprehensive prosthetic and surgical treatment to medically complex patients. When he is not treating patients in northern New Jersey, he enjoys lecturing about dental materials and products.
Updated April 7, 2023



