If all you have is a hammer!
By L. Don Wilson, DMD
In some form, Abraham Kaplan, Bernard Baruch, Mark Twain, and Abraham Maslow have all been attributedEach day we face a series of problems with our patients that require solutions. Some problems are obvious, while others go easily unnoticed. What do you mean, unnoticed? I never miss a diagnosis, you may think. Are you sure?
What if the armamentarium in your operatory consisted of only forceps? Extractions would be your solution (hammer) to every dental problem (nail) that presented itself. But what if you added a high-speed handpiece, some basic instruments, and some type of filling material? Now you could see extractions and fillings. But what if you added an endodontics cabinet to your expanding armamentarium? You could start thinking about saving some of the teeth that you would otherwise extract.
Now, if you added a diode laser, such as the Precise by CAO or iLase by Biolase, or an all-tissue laser, such as the Waterlase iPlus, you could see all kinds of solutions. Soft-tissue problems, such as a frenectomy or a tongue-tie release, would magically become obvious to you because you have a solution to those problems. Osseous problems, such as a tooth that requires crown lengthening for improved cosmetics or to maintain biological width, now have an easy solution. The problems we face each day due to bacteria in periodontics and endodontics cases could be easily managed with laser technology.
Did you know that only 5% of general dentists routinely perform soft-tissue and osseous procedures, while fewer than 10% complete their own endodontics and periodontics therapy? We all face these problems every day, and yet 95% of dentists do not own a laser that would allow them to provide the solution. Hammer. Nail.
Today’s highly educated patients now demand and seek out laser technology. In 1998, we obtained our first laser for the practice and properly marketed that fact to the community. Our new-patient flow increased from 81 new patients per month to a five-year sustained average of 189 new patients per month! Most of these new patients came from the practices of other dentists who did not own a laser. Surveys show that dentists who own lasers produce 25% more than dentists who do not have lasers in their practices. The antonym for this “hammer-nail” mindset would be “there’s more than one way to skin a cat.”
According to Dr. Charles Blair, there are roughly 500 dental procedure codes. The doctor who does only 60 of the 500 is considered a “referodontist.” “Joe Average Dentist” does 90 procedures. The “decathlon dentist” does 120 or more of the 500 procedure codes (see www.practicebooster.com).
Add up the procedures you currently do in your practice. If that number is less than 120, you need to start your decathlon training today by investing in laser technology. Any general dentist can add $250,000 to his or her annual gross income by adding a laser to his or her practice to increase the number of procedures currently offered, new procedures not currently being performed, and through time-savings.
FIG. 1 — Preop view
All because of the addition of a laser, you have a solution to a lot of problems that were always present but you either didn’t see, didn’t choose to see, or you had to refer to the specialist down the street. That’s right; YOU now have the solution! It is no longer just a “hammer solution” to a “nail problem.”
FIG. 2 — Lesion completely ablated
If in the current economy, you find holes in your schedule or a decline in the bottom line, perhaps it is time to add a laser to your armamentarium. Remember, if all you have is a hammer, everything looks like a nail.
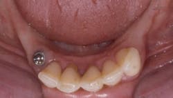
FIG. 3 — Frenectomy and lesion ablation postop
L. Don Wilson, DMD, holds standard and advanced proficiency certification, as well as educator status through the Academy of Laser Dentistry. Dr. Wilson’s original Signature Smile practice is located in Florence, Ala., and his second Signature Smile location is in Huntsville, Ala. You may reach him at [email protected] or call 256-76SMILE.
Past DE Issues




