Provisionals and profit
George Winn, DDS
The terms, "cosmetic dentistry" and "cosmetic dentists" often are batted around as if consideration of cosmetics in dentistry is something new. But dentists should always consider the cosmetic effect of their restorative services. For most patients, it's the primary factor when they seek restorative care, but good dentists know that function and form also are paramount.
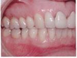
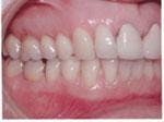
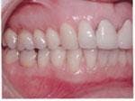
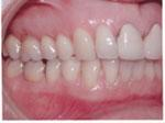
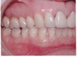
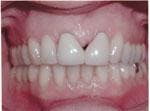
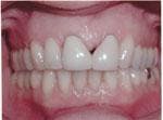
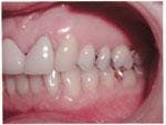
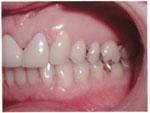
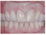
Fortunately, today's techniques and materials can fulfill even extreme patient needs. Occasionally, because of material failure, wear, and trauma, a past "cosmetic case" must be reopened. This article will describe such a case. The patient presented with a two-unit fixed "bridge." The left maxillary central incisor was missing and a full gold crown with a heat-treated plastic facing had been placed on the right central tooth. The same was on the maxillary left lateral in the shape of a central. The two crowns were attached to each other on the mesial. Figures 1, 2, and 3 show the patient as presented.
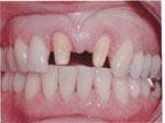
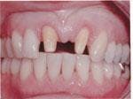
My first concern was the patient's periodontal condition. The attached gingivae appeared fine and the bone level was excellent. A mass of tissue between tooth 8 and 10 was present and was a concern. The questions were: Can restoration be done without periodontal surgery? How much tooth structure is present? Can two full, porcelain-fused-to-gold crowns be placed so that they appear proportionate with the adjacent teeth and give an aesthetically pleasing result?
Figures 4 and 5 were taken after the old crowns were removed. They show that a sufficient amount of tooth structure remained. At the time of the consultation appointment, I explained my concerns to the patient. She questioned whether her front teeth could be made to look more natural with no metal showing and if the "ugly, triangle-shaped dark space between the old crowns" could be eliminated. I explained that the use of provisionals would allow us to observe the soft-tissue responses. Provisionals also would give the patient an idea of what restorations would feel like and would enable her to see if the shape and color met her expectations. I also explained that provisionals could be modified before final restorations were prepared and cemented.
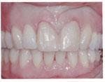
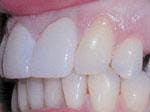
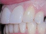
Figure 6 shows tooth 8 and tooth 10 after preparation for full crowns. Figure 7 displays provisionals of Luxatemp material made from wax-up, while figure 8 is a follow-up photo showing tissue response after five weeks of wearing the provisionals. Note the appearance of healthy tissue under the mesial contact area of the two crowns and the gingival margins. Thankfully, there was no need for perio surgery. The two teeth were restored with individual full crowns with over-contoured mesial surfaces, which allowed the patient to floss easily with great tissue response. Figures 9, 10, and 11 show the final restorations after several weeks in the mouth.
In most cosmetic cases I perform, the questions patients usually ask are, "What will the temporaries look like?" and "What will I have to wear until the final restorations are completed?"
Well contoured, nicely shaded, and strong provisionals reassure the patient. Patients have often told me of bad experiences with past temporaries, such as poor color, discomfort, and poorly fitting temporaries that fall off. Problems like these are often why patients delay getting the final restorations redone. One must consider the time and cost of providing quality provisionals. Well-done provisionals are absolutely necessary for the patient's welfare; they also are important to help dentists with case design and observation of tissue response. This case was very reversible in the provisional stage. The changes were easy, and the patient was grateful that I valued her input and that there were no costly remakes.
In the economics of cosmetic cases or any other restorative cases, one must factor in the fee for the provisional restorations along with the laboratory costs and the chairside time. The dentist's lab fee should also include time spent on trial wax-ups, making the final provisionals, and making shim templates to be used at the preparation appointment. The clear shims are used to determine the amount of tooth reduction and can also be used as the form for making the provisionals at chairside. Too often we have a tendency to hurry and not allow adequate time to make small changes, do minor shading, check occlusion, or polish the appliance before placement. One must educate the patient about the amount of discomfort they will experience with the provisionals, what foods to avoid, and cleaning instructions.
Laboratory technicians appreciate a model of the provisionals for reference, digital photos of shade guides of adjacent teeth prior to preparation, and the prepared teeth for the stump shades. Shade selection may not be perfect; however, with the shade guide next to the tooth in the photo, the lab technician has a definite comparison. Digital photography is a must in any dental office for shade selection, case consultation, patient records, "before and after" photos, and legal records. It's also a plus to have a complete set of photos on the computer when doing the patient's treatment plan. Digital camera use is efficient, economical, and easy. The discs are permanent and store nicely in the patient's record. Digital photography cuts time and costs by providing immediate photos for on-the-spot retakes. There's no waiting for slides, and no costs for slide film and developing. With careful selection of photos, the costs of printing pictures is minimal, while printing and disc costs are practically eliminated, since you can email photos to the lab. Dental assistants efficiently and easily perform all photos, disc preparation, and printing.
Our practice is located in a small, rural southern Minnesota town of less than 5,000. Even though we are out in the sticks, we still provide quality cosmetic care that profits our practice handsomely. After seeing how nice her upper anterior teeth looked and felt, she considered my fee more than fair.
This patient's attitude is typical of my patients. And it's extremely satisfying to provide this level of care within three fairly short and well-planned appointments.











