Attachment failure: The silent drain on clear aligner profitability
Key Highlights
- Attachments are vital for force application and tooth movement predictability in clear aligner therapy, with design and placement being crucial for success.
- Common challenges include ensuring accurate attachment rendering, maintaining retention, and facilitating easy removal without damaging the tooth surface.
- VOCO's Aligner Flow LC offers a flowable, strong, and esthetic solution that adapts well to attachment templates and bonds effectively to various restorative materials.
- The use of fluorescence under UVA light simplifies attachment removal and verification, improving efficiency and patient outcomes.
- Advances in bonding protocols and materials continue to refine attachment performance, reducing treatment times and increasing patient satisfaction.
The landscape of orthodontic therapy had a pivotal paradigm shift after the FDA’s approval of Invisalign in 1998. The first cases were subsequently sold into the US market in 1999. Since that time, the scope and opportunity within the clear aligner market has led to an explosion in competitively released products or brands.
While the bioscience of tooth movement is consistent, whether we are looking at traditional fixed brackets and wires, or removable clear aligners (force driven tooth/root movement, with leading edge resorption, and trailing edge apposition), some clear determinants of success stand with aligners. Putting case diagnosis, treatment plan design, and provider expertise aside, the two most critical factors toward success within an estimated timeline are patient compliance and attachment function. Regarding compliance, the doctor and the dental team will always strive to educate and encourage, but the variable will always be the patient. Attachment form and function, however, are totally under the control of the provider.
To take a step back, attachments are defined as tooth-colored projections or bumps that are bonded to the tooth surface in purpose-driven geometric shapes. They are made of composite resin, and are designed to provide anchorage, as well as prescribed force vectors when placed in contact with the clear aligner. Clear aligner manufacturers continue to refine attachment protocols through research, outcomes analysis, and big data. As an example, Align, by far the biggest player in the clear aligner market, is on its eighth generation of Invisalign attachment types (G8-optimized smart force attachments). Figure 1 shows several variations of attachment designs with their intended functions. One can quickly appreciate the detail and nuanced design of these attachments, and how force driven onto the facet surfaces by an aligner can promote the desired movement of a tooth. Similarly, if the precision of the proposed attachment type is not accurately rendered and transferred onto the target tooth, it stands to reason that movement predictability, treatment plan progress, and final outcomes would be compromised.1,2
In fact, one of the most frequently stated challenges by practitioners delivering clear aligner therapy is “predictable attachment management.” When attachment function is compromised, there is a direct negative correlation to ROI due to extended refinement and re-treatment times, which results in an unanticipated increase in overhead.3 We must also consider intangible costs resulting from reduced patient satisfaction, which inevitably affect the sphere of internal and external marketing, including referrals and reviews.
The challenges related to attachments can be summarized in the following three categories:
- Accuracy of rendering: In essence, does the attachment match the exact shape proposed by the design software, or are there voids, washed-out facets, flash, or other shortfalls?
- Retention and maintaining form: Does the attachment stay attached, or does it delaminate? How do we overcome the challenges of adhesion to surfaces other than enamel, including the myriads of modern ceramics used for restorations? Does it maintain its functional shape throughout the course of treatment? Do attachment facets wear and lose shape from the repeated removal and reinsertion of firm plastic aligners?
- Attachment removal: Is it easy to identify and grind away the attachment after treatment is complete? Is it easy to verify complete removal? Can removal occur without undue damage to the involved surface? Can the original tooth or restorative surface be polished to the original luster?
A new product was recently released on the market by VOCO: Aligner Flow LC. This nano-hybrid flowable composite with a fluorescent effect was developed in response to the challenges listed above. Paired with VOCO’s flagship universal adhesive, Futurabond U, this has become my go-to for placement of clear aligner attachments, with solutions for all instances including the bonding of attachments to silica-based ceramics (feldspathic/lithium disilicate/leucite), as well as the more complicated task of bonding to the ever-growing number of zirconia crowns, and even the occasional metallic crown. The benefits of Aligner Flow LC include:
- Optimal flow characteristics: Upon extrusion, it easily adapts to the nuances of the attachment template bubble. It has quick self-leveling behavior but stabilizes and does not flow out of the template bubbles when an entire quadrant of bubbles is prefilled and stored for rapid placement while the provider turns their attention to the teeth. It forms exact attachment profiles matching those designed by the aligner software. It provides the operator precise volume control to avoid overfills and unwanted flash.
- Strong physical characteristics: A perfect combination of flowable behavior coupled with packable composite strength, minimizing wear and tear and shape deformation of the attachment subjected to frequent aligner insertion and removal.
- Excellent esthetics: Available in three translucent shades (A1, A2, A3) with chameleon-like behavior, not only can the doctor dial in the best shade to make attachments as inconspicuous as possible, but the optical behavior of Aligner Flow LC also typically leads to acceptable results, even when shade selection is off. Easy identification and removal: Remaining resin can be identified and safely removed under UVA light based on the fluorescence, an especially useful attribute.
The flexibility that Futurabond U brings to the equation provides the doctor with the ability to choose between self-etching or phosphoric acid aided etching techniques for conditioning tooth structure when bonding attachments. Additionally, the presence of both silane and 10-MDP primers within the chemistry provides solutions for bonding to today’s most common crown and bridge materials, including e.max and zirconia.
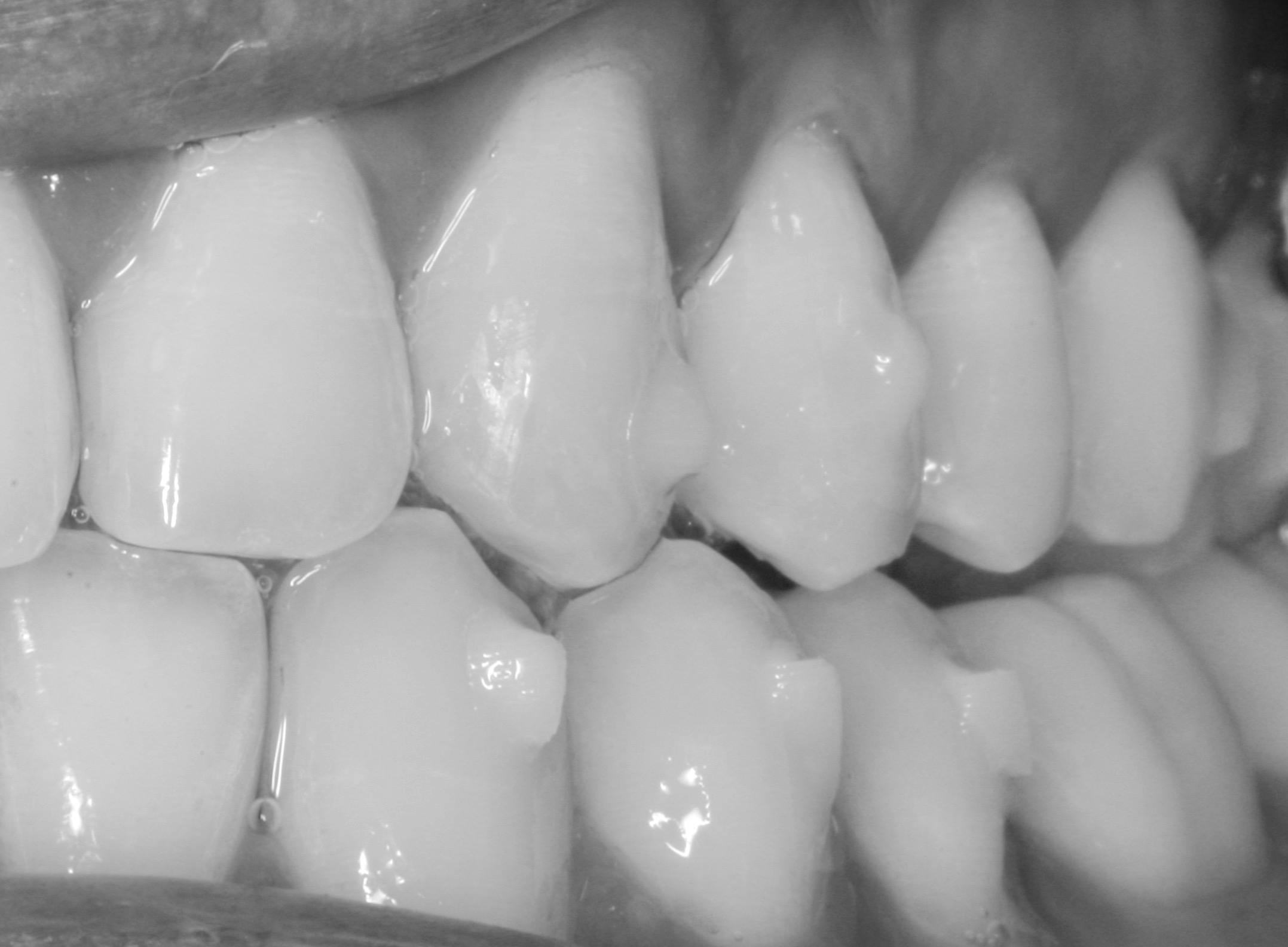
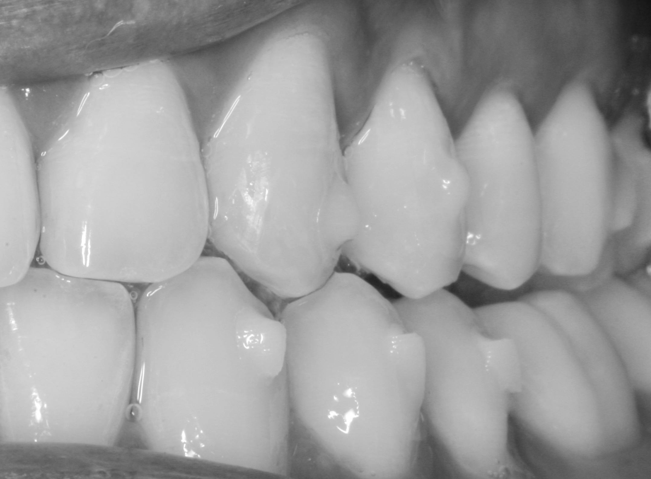
The images that follow chronicle the delivery of attachments for a patient case. Figure 2 demonstrates the perfect fill of the attachment bubbles with Aligner Flow LC without running out from the template despite gravity. Figure 3 shows placement of phosphoric etchant (Ultra-Etch by Ultradent Products) to condition beyond the anticipated coverage of the attachment profile. Figure 4 shows the application of Futurabond U adhesive to the involved attachment zones. Figure 5 shows the precise form and esthetics of the final attachments in place.
In conclusion, the discussed products and techniques provide a predictable and comprehensive solution for attachment delivery across all clear aligner platforms.
Editor's note: This article appeared in the September 2025 print edition of Dental Economics magazine. Dentists in North America are eligible for a complimentary print subscription. Sign up here.
References
- Krishna KR, Adarsh K, Krishna NM, et al. Attachment wear in different clear aligner therapy: a comparative study. J Pharm Bioallied Sci. 2024;16(Suppl 3):S2770–S2772. doi:10.4103/jpbs.jpbs_398_24
- Jedlin´ski M, Mazur M, Greco M, et al. Attachments for the orthodontic aligner treatment—state of the art—a comprehensive systematic review. Int J Environ Res Public Health. 2023;20(5):4481. doi:10.3390/ijerph20054481
- Demir GB. Understanding the effectiveness of attachments in clear aligner therapy: Navigating design, placement, material selection and biomechanics. Aust Orthod J. 2024;40:63–74. doi:10.2478/aoj-2024-0021
About the Author
Foroud Hakim, DDS, MBA
Dr. Hakim has lectured nationally on technology, esthetic dentistry, occlusion, and adhesive and composite dentistry. He is former vice chair of the Department of Integrated Reconstructive Dental Sciences at the University of the Pacific, Arthur A. Dugoni School of Dentistry, and a director in the university's Esthetic and Complex Care Clinic. He is in private practice in San Ramon, California. Contact him at [email protected] or [email protected].






