Community's choice: Before-and-after photo contest winner
by Kevin Winters, DDS
Editor's Note: Recently, the PennWell® Dental Group community site hosted a before-and-after photo contest for its members. There were 78 entries, and community members voted Oklahoma's Dr. Kevin Winters as the winner of the contest. Below, Dr. Winters talks about the case.
I encourage you to become a part of our dental community. While online, browse through the forums, blogs, photos, and videos posted by your colleagues. The site's membership count is steadily increasing, and is currently more than 1,500 members.
Membership is free. You can find PennWell's dental community atcommunity.pennwelldentalgroup.com.
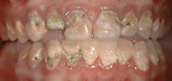
The case in this article was done a couple of years ago. It began as a story on the local NBC station. Both of the parents of this young girl were in prison and her aunt had been awarded custody of her. This girl had been emotionally, physically, and sexually abused — a life few people can imagine. When she came to me, her mouth was obviously a complete disaster. She was in so much pain she couldn't brush her teeth, which made her teeth deteriorate even more. Other kids made fun of her because of her teeth, and she had become a recluse who would not interact with other people. I could barely get her to talk to me during the first couple of appointments, and even then she only said yes or no.
We put her in with our hygienist for her perio problems. She had 16 root canals by Dr. Bob Augsberger in Tulsa, and then I did a full mouth bonded Empress rehab. Aurum Ceramics donated the ceramic work.
When the case was completed, what a difference, not only in her teeth obviously, but her personality as well! She was a new girl. Suddenly she had friends, and a charming personality. She spoke with us and even gave me a hug. She couldn't stop talking when she came in for her checkups.
This case reminded me that it's not about fixing teeth; it's about our ability to impact and change people's lives. Saying we can fix lives is one thing, but being able to do it and watch someone's life unfold is another.
Dr. Kevin Winters has transitioned his general practice in Claremore, Okla., into one that concentrates on esthetics and reconstruction. A DE contributing author, Dr. Winters is one of the original clinical instructors at the Las Vegas Institute. Reach him by e-mail at [email protected].



