The financial importance of interproximal relief for your patients and your practice
Being both dedicated dental care professionals and capable small-business owners, many dentists come to know the operating expenses of their business like the back of their hand. Your mileage may vary, but you probably know the costs of expenses both large and small for your office. You can give an average ballpark monthly figure for employee wages, rent, supplies, and so on. But let me ask you what may sound like a strange question: How much money do you lose by not properly adjusting tight proximal contacts?
If this seems like a silly question, consider it from the patient's perspective. Those tight contacts translate to an intense, uncomfortable feeling of pressure in the mouth. This discomfort often makes the difference between the patient readily identifying the crown as a part of their own mouth, or seeing it as an annoying foreign object that has to be lived with. Worse yet, if the overly tight contacts prevent complete marginal seating, bacterial accumulation under the crown all but guarantees it will break or need to be replaced significantly sooner than it otherwise would.
READ MORE |"Pearls" Enhanced: Joshua Austin, DDS, FAGD, demonstrates interproximal reduction with the ContacEZ IPR Strip System (VIDEO)
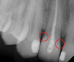
The majority of patients have two primary concerns with any indirect restorative procedure: (1) is it worth the sizable financial investment, and (2) how comfortable or painful will it be? With unadjusted proximal contacts, this procedure has failed on both counts. Based on the 2013 Survey of Dental Fees from the American Dental Association,1 the patient has spent roughly between $800 and $1,400 on a restoration that is short-lived, uncomfortable, and necessitates further treatment and discomfort (figure 1).
Figure 1: Incomplete marginal seating due to overly tight proximal contacts.
A myopic practitioner may think at this point: Patient outcome aside, my office would still be in the black on that crown placement. To be sure, after tangible costs such as supplies and wages, the dentist's books would seem to show a net positive. Our more shrewd and experienced colleagues, however, will recognize what this dentist does not: few things imperil your finances as quickly as dissatisfied patients.
For example, our hypothetical patient whose crown has decayed may never set foot in that dental office again. After all, he or she may not know the exact cause behind the failure of that crown, but the patient does know he or she has not received the quality of dental care that was expected. While no money leaves the practice at the current time, the loss of a patient means the loss of all future earnings from that patient. Estimates for the average lifetime value of an individual dental patient vary significantly, but it is safe to assume that this lost patient equates to thousands of dollars in lost revenue.
READ MORE | ContacEZ's Hygienist Strip removes stains from interproximal surfaces
This uninformed dentist could count himself lucky, though, if his future losses were limited to a single patient. In the age of social media and review websites, the opinions of your current patients often make all the difference in your efforts to win over prospective patients. Whether it is a one-star review on your Yelp, Google+, or Facebook pages, or just good old-fashioned word-of-mouth to friends and family members, a single lost patient can rapidly become many lost patients.
If all of this sounds overly grim, then the important question is: How much does it cost to ensure ideal proximal contacts?
Given the doom and gloom of the revenue-loss scenario discussed earlier, it is vital to adjust proximal contacts and ensure complete marginal seating with any crown. The brief coverage this topic receives in dental school curricula may lead many to believe that the best method of proximal contact adjustment still involves slowly and tediously marking the crown, removing it from the mouth, guesstimating grinding with a rotary instrument, and repeating. This is imprecise, time-consuming, and inconvenient. The widespread reliance on this method is often the reason why proximal contacts are left improperly adjusted.
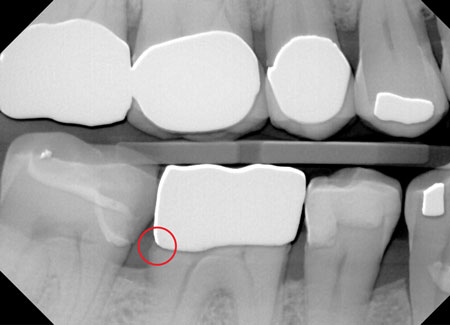
Figure 2: Proximal contact adjustment is simpler than ever and vital to the care patients expect.
When restoring interproximal relief-the natural, comfortable, passive contact or microscopic clearance between teeth-there is fortunately an easier and far more accurate way to adjust proximal contacts. Using a thin (0.06 mm or less), single-handed, single-sided diamond strip, we can perform necessary adjustments intraorally and without articulating films and rotary instruments. After placing the crown on the prepared tooth and noting the contact intensity and marginal fit, the diamond strip is simply passed buccolingually through both the mesial and distal interproximal spaces until equal light resistance is felt (figure 2). This ensures complete marginal seating and a far more satisfying patient experience.
In terms of cost, then, the best news is how affordable this method is for your practice. The best options are autoclavable, reusable, and can be bought in bulk for only a handful of dollars per strip, costing just over one dollar per use. On top of that, the ability to work intraorally means a big savings on chair time. With the proper technique, adjusting proximal contacts can take just a few minutes and cost less than a bottle of water.
Figure 3: Perfect proximal contacts and complete marginal seating help ensure happy patients who return to your practice.
Ultimately, the best interests of both the dental professional and cost-conscious small-business owner in all of us are perfectly aligned. As is often the case, the optimal strategy to ensure the success of your practice is to provide the best care and experience to each patient. With ideal proximal contact adjustment, this truth is particularly clear. The choice to make is whether your proximal contact adjustments will cost you a minute or two and some pocket change, or potentially cost you a patient and thousands of dollars (figure 3).
Reference
1. 2013 Survey of Dental Fees. American Dental Association website. http://success.ada.org/en/practice/operations/financial-management/2013-survey-of-dental-fees. Published 2013. Accessed September 6, 2016.
Daniel S. Kim, DDS, FAGD, is in private practice in Vancouver, Washington. He lectures in dental scientific sessions, seminars, and study clubs. He is a former part-time faculty member at Yonsei University Dental School and visiting professor at Korea University Medical School in South Korea. He can be reached at [email protected].



