Creating financial treatment options with minimally invasive composite techniques
For more on this topic, go to www.dentaleconomics.com and search using the following key words: composites, financial treatment options, minimally invasive, composite techniques, adhesive revolution, Bruce LeBlanc.
During my years in dental practice, I have observed a radical shift in treatment options we can offer as a result of "The Adhesive Revolution." Predictability of adhesive products means restorations can be prescribed that no longer require extra tooth structure removal strictly for holding restorations in place. Instead, corrective restorations can be limited to the renewal of the defective areas, which leave more tooth structure for the future. With the increasing life expectancy of today's population, teeth may need to be restored multiple times during a lifetime. Today’s adhesive possiblities not only maximize tooth retention but also offer a variety of financial treatment options for patients. In this article, I explore the use of adhesive composite techniques for unique situations that can offer patients minimal tooth removal as well as a variety of financial options.
Most important to longevity of adhesive restorations is the proper selection and use of products. In the following case studies provided from our practice, I suggest options that met unique needs of the patients while preserving tooth structure and offering cost-effective treatment. Although many great products are available, I have listed the products I used for documentation purposes.
Case 1
This patient had a significant social event one week after we observed the condition. An upper 2nd bicuspid had split and was badly infected. Antibiotics to help get her through the event was not an option. The best solution was immediate removal of the tooth with proper debridement of the socket. Removal of the tooth, however, created a different problem because a space would then be obvious in the smile line and the upcoming social event involved important close-up photos. The need for immediate cosmetic replacement of the tooth pointed to either preparing adjacent teeth for a three-unit bridge or an adhesively bonded cosmetic pontic. Since the abutment teeth were sound with no indication for crowns, we suggested a more conservative, less costly immediate option, keeping open the possibility of replacement in the future with an implant and crown.
As the case photos show, the tooth was removed, the socket cleaned, and bleeding controlled. After the tooth was extracted, the crown portion was sectioned and reshaped to serve as the framework for a composite pontic. Preparation of the adjacent abutment teeth was limited to proximal slots to fit a metal reinforcment rod for increased strength. A diamond bur was sectioned to use as the supportive rod. A fourth-generation bonding agent (Optibond FL) was chosen for adhesion. A highly polishable nanofilled composite (Premise) in a single shade A2 was used to rebuild the pontic into the space around the supporting rod. A Demetron Demi portable LED was used to cure the materials. Polishing discs and points were used to create a high-luster finish. The introduction of nano particles to hybrid composites combines the best qualities of each: the strength of hybrid composites and the polishability of microfills. I have observed these products at recall appointments and noticed a self-polishing effect with gloss retained and stain retention minimized.
Case 2
This patient was in her mid 40s and had a pattern of wear on her anterior teeth with the most significant wear on the upper and lower incisors. The case was analyzed with diagnostic study models mounted with facebow transfer and centric relation registration. The patient had few posterior restorations, limited mostly to molars. We consulted with an orthodontist for treatment options involving tooth repositioning. A consult with the patient explained all treatment options and financial considerations. Because of financial considerations and a desire to minimize removal of tooth structure, the patient chose composite bonding to renew the worn areas. Bonding material was added to posterior teeth to open the bite as determined with the articulated study models. In the anterior region, which included the upper and lower cuspids to cuspids, no tooth removal was necessary. Teeth were roughened and then etched. Again, a fourth-generation, multi-bottle bonding agent was used for adhesion. Point 4 XL1 microhybrid was used to match the color of the teeth after bleaching. An LED curing light was used. Premise shade A1 was used to build the height of the posterior teeth to establish proper occlusal support. Key to these cases is proper postrestoration protection. The use of upper and lower retainers not only keep the teeth from wearing due to potential nighttime bruxism, but also maintain their position.
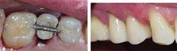
Case 3
This case involves routine maintenance dentistry that I consider the bread and butter of many practices. In this case, minimally invasive preparation and removal of decay and previous restorations retained the maximum amount of tooth structure. Rubber dam isolation was used to ensure protection of the prepared teeth from contamination by saliva during application. This is a critical step in creating predictable long-term results. Following preparation, a fourth-generation adhesive was used for adhesion and a nanofilled composite was used for its strength and polishability. For filling interproximal defects, Greater Curve matrix bands were used to create proper interproximal contours and contacts. Occlusal contacts were perfected with football-shaped polishing carbides by Axis Dental. The final restorations restored the defects cost-effectively while mimicking natural tooth in color and wear resistance.
Traditionally in dentistry, there has been a reluctance to use composite materials as an ideal long-term treatment option. Tooth sensitivity issues and marginal staining often put a damper on clinicians' confidence in obtaining long-term, predictable results. Proper selection of materials and application techniques produce restorations that resolve sensitivity issues and display esthetics that resemble natural teeth. Multiple treatment options can be presented to patients with the confidence that they will receive great value for their investment while maximizing remaining tooth structure for future needs. In general, direct resin restorations cost between 35% to 65% of lab-processed restorations, but they can often compete in longevity, which makes them a great value. When options are presented to patients, they appreciate having choices that solve a unique problem.
Summary
Confidence in adhesive products and techniques allows dentists to make more treatment options available to patients to solve their dental problems. As patients live and keep their natural teeth longer, treatment options that preserve tooth structure offer more options for future treatment. From the patient's perspective, treatment that can be completed in one visit, is conservative, and decreases their immediate cost is very attractive. A patient consultation format that includes photographs of their condition along with photographs of completed treatment of other patients with similar problems that have been resolved is an effective tool to build trust and assist patients in choosing their treatment plan.
In many practices, costs for revitalizing a tooth with direct composite bonding will be about one-third to two-thirds the cost of a comparable lab-processed restoration and, when done correctly, offer comparable service. Newer nanohybrid composites offer ease of color blending with a retained polish similar to microfills while combining the strength of traditional hybrids. Formulations will continue to evolve to optimize these properties.
Using products correctly by following the manufacturer's instructions ensures optimal results. Composite dentistry is a learned skill, and results improve and treatment time decreases as clinicians repeat treatment. Direct composite dentistry cna be very profitable for dentists as well as satisfying to patients who place great value on rejuvenating their teeth with materials that mimic natural teeth.
Dr. Bruce J. LeBlanc provides seminars nationally on adhesive dental techniques. His practice offers adhesive and cosmetic solutions that minimize tooth removal. He is a product consultant to dental manufacturers and has published internationally on his adhesive technique. He is course director and presenter for "Mastering Posterior Esthetics" at LSU School of Dentistry as well as presenter for the LSU Cosmetic Continuum. Dr. LeBlanc may be reached via e-mail at [email protected].




