A scenario for making only a single opposing denture
By Joseph J. Massad, DDS
Welcome back! This month's discussion will address situations where dentists are confronted by patients wearing complete upper and lower dentures and requesting a new lower or upper denture only rather than a new complete set. This question has been posed to me by numerous dentists over the last 30 years.
My answer remains the same: It is dependent upon the condition of the existing opposing prosthesis. When the existing prosthesis does not follow accepted standards of optimal occlusal plane, appropriate fit, and minimal tooth wear allowing proper interdigitation between a newly fabricated prosthesis and the older prosthesis, then fabricating a single arch is asking for problems no matter what we tell our patients or have them sign stating that we cannot guarantee success. We see a higher incidence of prosthetic failure and patient dissatisfaction when a new opposing removable appliance is made under compromised situations such as this. I understand that patients can be very adamant about their wishes; however, if we agree to treat a single arch, we may spend more adjustment time than the entire fabrication time and regret every minute of it.
I think we all know that if situations like this occur, it would be best to do the opposing denture at no fee rather than making a single-arch denture doomed for failure before we even started. There are too many variables that make this process unpredictable.
If we choose to treat a single arch instead of making both arches, it is important that we understand that the opposing prosthesis must have an appropriate plane of occlusion, fit, vertical spacing, and tooth substance (no excessive tooth wear) prior to contemplating the fabrication of the opposing appliance.
Now, let's take a look at a scenario where you would agree to make only a single opposing denture. You have a patient who has been with you for a number of years. She is a sweet, elderly patient who is now in an assisted-living care center. She comes to you one day indicating that her lower denture was lost. Financially she can't afford a new complete denture and would like to have only the lost denture remade.
In cases such as this, we have a few choices. Two questions to ask are: What is the patient's budget, and what is the condition of the existing prosthesis? If you can make both the maxillary and mandibular for the allotted budget, then go for it. However, if the budget is not sufficient to cover your cost and the present prosthesis meets the criteria following acceptable guidelines, then it is possible to consider making a single arch and with accuracy. I have outlined in this article a method that will allow the confident practitioner a roadmap to success while being time efficient.
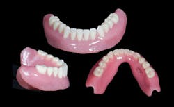
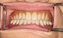
In the case described in this article, our patient lost her lower denture in an assisted-living center and presented with a well-fitting maxillary prosthesis with appropriate anterior-posterior inclination, acceptable vertical, and minimum wear on the prosthetic teeth. The figures below will take you through the steps performed to fabricate a single-arch denture opposing an existing previously placed denture. Please keep in mind that the Gothic arch tracing apparatus seen in the photos prevents rocking of the bases while making the centric record.
When we can reduce the variables (especially movement of the bases during record-making), our results become predictable. There are circumstances in which we need to consider making a single opposing prosthesis in order to satisfy our patients. As long as we follow accepted guidelines, this challenge can be met with success.
Until next month, I hope my pleasure in dentistry will also be yours.
Dr. Joseph Massad may be reached at (918) 749-5600 or at [email protected].












