HOW TO PROFIT FROM... Endodontics
We all care how we look and are perceived by others. The general public has never been more aware of the value of an attractive smile.
Stephen D. Poss, DDS
The glamorous smile is in. Cindy Crawford has one. So does Julia Roberts. President John F. Kennedy had one. Brad Pitt, Brooke Shields, Tiger Woods, and Michael Jordan each have one. As do Elizabeth Sullivan, Mike Anderson, Rebecca Weber, and Tom Davis.
If the last four names don`t sound familiar, it`s because they are not models, actors, politicians, or sports figures. They`re everyday people living everyday lives in small towns all across the country. But just because they don`t live in Hollywood or Las Vegas doesn`t mean they don`t care about having beautiful smiles. We all care about how we look and are perceived by others, and, thanks in large part to the poster icons mentioned above, the general public has never been more aware of the value of an attractive smile.
Unfortunately, many people don`t realize that, if they weren`t born with one, a beautiful smile still can be theirs. As dental professionals, we need to inform our patients and communities of the smile-enhancing opportunities that are available to them. Beautiful smiles are not reserved for those living in the spotlight, and "sophistication" is not a prerequisite for cosmetic enhancements. Modern dental patients want and deserve the best we have to offer them, whether they live in quiet, small towns or in fast-paced, big cities. No longer simply a matter of "fixing what`s broken," today`s dentistry is an opportunity for enhancing what Mother Nature didn`t get quite right.
I operate a successful esthetic practice in the small town of Smyrna, Tenn., which is situated about 35 miles southeast of Nashville. With a population of about 12,000, Smyrna is a predominantly blue-collar town dependent on several large manufacturing plants in the area. The average income for a family of four is around $24,000. Given the demographics, many might find the success of my practice surprising. Regardless of the size of the town in which you practice, however, success in cosmetic dentistry comes down to the desire and will to change, paired with the drive, passion, and patience to make it happen. Thankfully, today we have esthetic materials that make it all possible.
Narrowing your practice focus
Initially, I found myself drawn deeper into the practice of esthetic dentistry after attending courses by Dr. Bill Dickerson. He became my mentor and my inspiration for joining the esthetic revolution. With this inspiration behind me, I formed a game plan that would allow me to narrow my practice focus. The process took about three years to accomplish, and it never would have happened without the support, enthusiasm, and cooperation of my staff. It was a full-team effort from the beginning, and it remains a team effort today.
We worked on the changeover from a standard general practice to a cosmetic dentistry general practice by setting goals every six months. Once those goals were achieved, we re-evaluated our status and set new goals for the next six months. One of the first goals entailed eliminating those procedures I did not wish to continue, such as full and partial dentures, extractions, endodontics, and pediatric dentistry. We eliminated amalgam and converted to a metal-free practice. Other goals focused on marketing issues, staff and patient education, and equipment purchases.
One of the biggest frustrations I`ve observed is in doctors who attend courses and return to their offices and attempt to relate that information to their staff members. To avoid this problem and to keep my staff members involved and enthused, we all traveled to the Las Vegas Institute to learn about cosmetic dentistry. This way, when I returned from the training sessions excited about veneers, they also were excited because they had learned the same things. Including everyone in the process instills a sense of pride in what we do, and our enthusiasm is transferred to the patient.
Building a referral base
An important element in our success has been our external marketing efforts. Once I felt comfortable performing cosmetic procedures, I hit the road, so to speak, to get the word out about our practice. I visited the area`s dental specialists - orthodontists, periodontists, oral surgeons, and endodontists - and took them to lunch. Over lunch, I showed them pictures and discussed the latest things we were doing in cosmetic dentistry. The goal was to make them aware of our services and of the great strides that have been made in esthetic dentistry.
I have found that very few specialists are aware of what`s possible with esthetic dentistry. For example, I had placed a deep inlay for a patient, who later required a root canal on that tooth. Not realizing what it was, her endodontist removed the entire inlay, performed the root canal, and sent her to me for a full crown. All he needed to do was simply make an access opening to perform the root canal, and the restoration would have remained in place. After a number of other cases demonstrated a lack of understanding on the part of specialists, it became apparent that we needed to educate those in our community about esthetic dentistry.
I was able to create an excellent referral base simply by taking the time to introduce myself and my services to the specialists (there are about 15 specialty groups in the area, stretching from here to the southeastern part of Nashville). It took a significant amount of time and effort, but it had an enormous impact on my practice.
Another boost to my practice has been a local magazine. A reporter for the publication had heard about our services and approached me for an interview. She was working on an issue that was focusing on cosmetic surgery and wanted to include a section on dentistry. Now, she consistently uses me as a resource for a variety of articles.
Restorative materials reinvented
While amalgam fillings and full-coverage metal crowns once were considered state of the art, modern patients are looking for more esthetic restorative options. Few things are as gratifying as handing a mirror to a patient who has just received a beautiful new bridge or veneers and observing the satisfaction in his or her face. (I`ve never heard a patient say, "Oh, how beautiful" in reference to an amalgam filling or a gold crown.) My patients are not excited when they come into the office; they`re excited before they leave, and I consider that to be the ultimate compliment. Thanks to the newest generation of metal-free restorative systems, I don`t have to compromise on meeting my professional obligation of providing long-lasting restorations, paired with proper form and function.
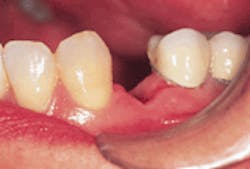
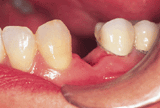
Recently, I treated a 41-year-old woman who had undergone endodontic treatment on tooth number 5. The tooth split, she had an existing crown on number 4, and mesial decay and a distal filling on number 6. I removed the split tooth and created a single-pontic, three-unit bridge using IPS Empress2 (Figures 1-2). The beauty of this system is that it enables us to use one material to create full-coverage restorations that are both durable and esthetic; we no longer need to be concerned about matching different materials in a single restoration. Previously, it was challenging to close up pontic spaces with the materials that were available. In fact, I would have used multiple products in this case. Although using more than one material usually yielded a successful result, it simply was not a comfortable way to practice. Now, we can use this single material for closing spaces, as well as creating veneers. We`ve entered a whole new realm of esthetic dentistry.
Practicing in a small town
It is easy to make assumptions about patients` desires based on outward appearances or insurance status. For example, a 70-year-old local farmer came to my office for treatment. He had 10 teeth that were chipped and worn. He requested esthetic, metal-free dentistry to restore his smile. He specifically explained that he did not want the dark "collars" associated with PFM restorations; he wanted a natural-looking, esthetic smile. His appearance suggested that he couldn`t afford a prophy, much less the esthetic smile enhancements he was requesting. By the time he left my office, however, we had decided on a 10-unit IPS Empress2 reconstruction, and he wrote a check for the full amount in advance.
Although this case is not the norm, it stands as an important lesson for those who don`t believe small-town cosmetic dentists can succeed. It all comes down to language and knowing the right questions to ask.
If a patient is unhappy with her smile, ask her what she`d change if she could, and use imaging to demonstrate how she would look with the smile enhancements. Then, setting aside financial issues, ask her if she has any concerns about the restorative process. Once you`ve dealt with those concerns, which typically are issues of pain and time expenditure, ask, "If we can fit this into a payment plan that`s comfortable for you, is this something you`d like to consider?" If the answer is "yes," find out how much per month she is comfortable paying, and find a plan that works for her.
The key is to create the value first and discuss the fee later. Generally, we all make purchases based on emotion, and later we find ways to justify them. People pay for what they want, regardless of their income. We find it helpful to work with a company that provides interest-free financing for a full year. We also offer a 5 percent discount for advance payment.
As you do more cases, you`ll find that word of your services will spread and your practice will continue to grow. For instance, we`ve treated quite a few patients who live several hours away, but come to us because they knew someone we had treated. One patient drove three-and-a-half hours each way to come to our practice. She drove past Chattanooga and Atlanta to come to Smyrna for her cosmetic dentistry. Obviously, those larger cities have some wonderful esthetic dentists, but she had a friend we had treated, so she insisted on coming here. In essence, our patients have become missionaries for our practice, spreading the word to their friends and acquaintances.
The will to succeed
To succeed in a dental practice with such a narrow focus, you must be totally committed. You must maintain organization in the services you provide and in your patient presentations. This is not something that you can simply jump into. It takes a tremendous amount of planning, desire, and staff support. But if esthetic dentistry is your passion, the long-term results will pay off in the end. There`s an old saying: "It took me 15 years to become an overnight success." My practice proves the point.
Figure 1: Before
Figure 2: After restoration


