Efficient & Predictable Crown and Bridge
by Craig Callen, DDS
We have all heard about the five-minute crown preparation, and we wonder how anyone could provide quality service to the patient so fast. Well, not all crowns can be prepped in five minutes, but many can if you have the proper systems in place and have an eye for detail.
After 24 years in practice and thousands of crown preps, I think I am pretty efficient and productive. I have a practice that collects in the top 5 percent, and I work 27 hours a week with six weeks off each year. The practice is in a blue-collar area, and the fees do not approach those of my big-city colleagues.
How do we maintain our productivity and efficiency? We use the following systems and procedures:
1 Our patients accept many of our recommendations. With the use of intraoral and digital cameras, CAESY Enterprise (our networked patient education system), a great staff, and flexible financing, we have a high acceptance rate.We also "plant seeds," as Dr. Earl Estep would say. So, when a patient comes in with a broken tooth, he or she already knows a crown is needed because we warned the patient ahead of time.
2 Scheduling. If you are not already doing so, you need to schedule in 10-minute increments, as well as schedule both doctor and assistant time. Many dentists still schedule in 15-minute units, or only schedule doctor time, which is inefficient and a waste of time.3 Multiple units. Always try to provide multiple units at the same time to cut down on overall time. If you are going to crown #3 because of a broken cusp, and #2 has a huge amalgam, ask the patient about crowning this one as well to prevent another fracture. It never hurts to ask. How many extra fries does McDonald's sell each year by asking after every order, "Would you like fries with that hamburger?"4 Room set-up. The treatment room is fully set up with a tub/tray system. We don't have to get up to retrieve an instrument or supply item. We even have the lab slip already filled out and ready to go to the operatory. You can't believe how much time this saves and how much miscommunication is avoided. You can write the shade and any special instructions down right away while they are fresh in your mind.5 Adequate anesthesia. Don't skimp on the anesthetic. I want my patient numb before I start. Try new Septocain for a great anesthetic. Nitrous oxide is a big help with anxious patients who might otherwise take more time to treat. We don't charge extra for nitrous oxide, so no one feels discouraged about using it.6 Electric handpieces. If you haven't tried them, run out and get one. The amount of torque and the feeling of precision they provide are well worth the investment and a huge time saver. We use NSK's system, but there are several other great systems. The built-in light saves even more time with increased visibility.7 New burs. For single units, I use disposable diamonds from Parkell. For multiple units, I use Two Stripers from Premier. When I'm through, I throw them away. I've seen dentists spend an extra 10 minutes on a crown prep that looked terrible because they were too cheap to get a new diamond.I prepare almost all of my crowns with three burs. A 770.8 coarse diamond is used for most of the preparation. I "bury" the bur into the tooth for adequate reduction. It has a slight taper for proper shape of the preparation. It also has a blunt, slightly rounded end that is good for chamfer and shoulder preparations. I use a football-shaped diamond #23 from Premier to give adequate reduction on the occlusal of the tooth. It cuts a nice "V"-shaped groove. Finally, I may use a fine tapered diamond #252c from Premier to open up the preparation at the contact areas or if I need a slight feather-edge interproximal because of a deep old restoration or decay. I tend to avoid feather edges when possible because it is more difficult for the lab to read and certainly can't be used on the buccal with porcelain over the metal.
8 Magnification. I use 3.5 power telescopic lenses from SurgiTel. I am a firm believer in magnification. Without it, you can't adequately see what you are doing and it slows you down. You can't deliver top-quality service without magnification. It also is good for your posture and prevents back and neck problems.9 Adequate reduction. The number-one complaint of dental labs is inadequate reduction on preparations. As dentists, we are concerned about getting too close to the pulp. The lab is concerned about covering metal with opaque and porcelain, or having adequate thickness for the all-ceramic restorations.For this reason, most of my PFM crowns are made with gold. Not only is gold thinner, but it is easier to mask the color for a nice looking crown. First, cut depth grooves on the occlusal and buccal, then connect the grooves to ensure adequate reduction. Once you cut to depth, go counterclockwise and prepare along the junction of the dentin and enamel. One cut should be all you need. Don't forget to taper the occlusal or incisal third lingually to avoid opaque showing in the top third. Then, I clean up my margins and verify my clearance.
10 Great, trained assistants. Delegate whatever is legal in your state to your well-trained auxiliaries, including topical placements, pre-op impressions, bites, opposing impressions, shade taking, and temporary fabrication.11 Combine procedures. Prepare the crown when you do the root canal. The patient is already numb and would much rather get it over with. This will really boost your profit margin and productivity. How much extra time does it really take to prepare a tooth once you have finished the root canal? Also, try to schedule by quadrant, half-mouth, or full-mouth. This alone will skyrocket your production.12 Prepare the tooth before the build-up. If you need a build-up, prepare the crown first, or at least do the occlusal reduction. Why build up something to just cut it down again? That would be a waste of time and materials. In dental school, we were taught to do an amalgam build-up, then bring the patient back in to prep the crown. What a huge waste of time!Once you have prepared the tooth and verified adequate reduction, put the handpiece down. I think many dentists spend as much time tinkering with the tooth after it is prepped as they spend on the actual preparation. We always coat all vital teeth with Gluma desensitizer to reduce postop sensitivity.
13 Posts and build-ups. I gave up metal posts years ago. I now use fiber posts from Jeneric Pentron, bonded with Panavia cement. I save more teeth than ever with bonded posts, with fewer fractures.I usually do not post molars because often it is adequate to place a composite build-up. Consider some of the dual-cure composites for posts and build-ups. Make sure the bonding agent is compatible with the composite. Look at Premier's CompCore AF Dual-Cure. It comes in an automix dispensing gun, is easy to use, and the introductory kit includes a system-compatible adhesive.
14 Easy-to-read impressions. For retraction, I may use cord, Kerr Expasyl, or electrosurgery. If I have bleeding, I use Cut Rol from KISCO that stops bleeding instantly. Most of the time, I avoid placing my margins subgingivally. For porcelain, it is not necessary or desirable. For posterior crowns, I try to stop right at the gingival crest when using porcelain-to-gold crowns. Impressions are usually with Discus Dental's Splash! in a putty/wash. I use the putty/wash with triple trays using the metal frame from Clinician's Choice. If necessary, I will use Dr. Jeffery Hoos' H&H impression technique of a light body wash in a stiff material.If you can't clearly read the margins, neither can your lab. Take another impression. If we need to take a bite, I use a closed-bite technique with MegaBite, again from Discus Dental. For full-arch impressions, we use palateless trays called Originate from Axis Dental. These trays lock in the impression material without adhesives and are more comfortable for the patient.
15 Well-fitting temporaries. Without excellent temporaries, you're in big trouble. This is probably the biggest source of problems dentists have when trying to seat a case. You end up with sensitive teeth, gingival recession or overgrowth, heavy contacts, heavy occlusion, or all of the above. We use Luxatemp from DMG for our custom temporaries. They look great, don't wear, and are easy to adjust and add to with flowable composite. My assistant takes a pre-op impression with the Vanilla Bite material from Discus. It sets up quickly and makes a firm mold for the temporary.For bigger cases and long-term temps, we use lab-fabricated temporaries from Glidewell Labs. They look excellent and save you a ton of time. If I send away for long-term lab-fabricated temps, I charge an extra fee. If we have any feeling the temporary may come off, we give the patients a pack of take-home Temp Bond and show them how to use it. We give this to any patient traveling out of town before the seating appointment.
16 Postop instructions. Our PracticeWorks computer software program will automatically print out instructions for the patient after we prepare a crown. These instructions tell the patient what to expect in terms of sensitivity and the occasional loose temporary. This cuts down on phone calls. The instructions also let them know that most often, the reason we crowned the tooth was because of a large filling with decay and that there is always the chance the nerve may become sensitive enough to require root canal treatment (they also are told this at the consultation appointment). We also always follow up our treatment with a postop phone call later that evening or early the next day. This will avoid many potential problems with their temporaries or sensitive teeth. It also happens to be a wonderful way to build trust with the patient.17 A great lab with great communication. Part of what makes a lab great is the ability to communicate in a nonthreatening way to the doctor. My lab does not hesitate to call me if there is a clearance issue or if they want to suggest a new material. This saves valuable chair time and makes you look good. I really believe a great lab can make a good dentist look great.If you do your part right, you should be able to seat your crowns in just a few minutes. If you are having a consistent problem, talk to your lab to see how they can help compensate. For instance, if the contacts are always too tight, let them know to back off a little. Send them as much information as possible, including pictures, drawings and models of your well-made and adjusted temporaries to help them with the case. Don't forget to call and tell them when a case went well. They like to hear good things, too. For more than 15 years, I have worked with Knight Dental Studio in Oldsmar, Fla. They do a great job for a reasonable price.
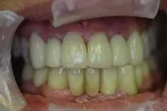
18 Seating the case. We try to seat cases without anesthesia, but don't hesitate to numb a patient if they are sensitive. My assistant removes the temporary, cleans the cement off, and cleans the tooth with Peridex. She may then put another coat of Gluma on the tooth if there is any sensitivity. I really believe that many crowns are not adequately seated before the dentist starts adjusting the occlusion.One of my preceptors in school was known as Dr. Blue Dye because his favorite thing to do was paint the inner surface of the crowns with blue dye over and over to ensure a proper seating. That fanatical attitude did instill in me the necessity of ensuring my crowns are properly seated. Look at the sharp edges of your preps. They tend to get missed in the pouring of the stone and lead to a crown hanging up. Look at the dye spacer on the models to see if it has rubbed off anywhere. If necessary, I use Occlude spray to check the fit. Once it is seated, we adjust the bite and cement. I love Vitremer and RelyX Unicem from 3M ESPE. A well-trained assistant can do most of the crown seating for you.
While many of my crowns take more than five minutes to prepare, I am able to efficiently and consistently produce a crown that will fit well and look great using the systems I have written about here. Crown and bridge can be a great service to the patient and a profitable procedure for the practice, if you get it right the first time. If you have to remake one or if it just takes too long, you have lost any hopes of a fair profit. Learn to delegate and use some common-sense systems to streamline your procedures. Just think how much more treatment you could provide every day, week, month, and year if you could reduce your preparation time from 60 minutes to 40 minutes! It all adds up.


